Tinción de May-Grünwald Giemsa
La tinción de May-Grünwald Giemsa (MGG) es una técnica de tinción derivada del método de Romanowsky que se utiliza principalmente para el coloreo de muestras de frotis sanguíneos o extendidos de médula ósea. Como el resto de las coloraciones basadas en la técnica de Romanowsky, la técnica MGG permite diferenciar cualitativa y cuantitativamente los principales elementos formes de la sangre.
En los laboratorios clínicos de hematología resulta especialmente útil para la demostración de alteraciones en el número, proporción y morfología de las células sanguíneas. También puede ser adaptada para su utilización como una técnica de tinción clásica para cortes histológicos.
Principio de la coloración
Como su nombre lo indica, la técnica combina las técnicas de coloración desarrolladas por May-Grünwald y Giemsa. Estas técnicas a su vez se basan en el empleo de dos soluciones colorantes:
- La solución de May-Grünwald, que contiene el colorante aniónico eosina y el colorante catiónico azul de metileno ambos disueltos en metanol
- La solución de Giemsa, que contiene eosina, azul de metileno y una serie de productos de la oxidación de este último tales como el azur A, el azur B, el violeta de metilo y el azul de metilo.
Todos estos colorantes se encuentran en estado no ionizado mientras se mantienen en solución de alcohol metílico, pero al añadir agua se ionizan y se unen selectivamente a los constituyentes celulares precipitando como sales insolubles.
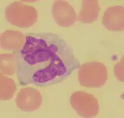
Los componentes celulares de naturaleza aniónica (ácida) se unen selectivamente a los tintes catiónicos tiñéndose en variados tonos de azul. Estos componentes son llamados basófilos: (ADN, mitocondrias, ribosomas y citoplasma de células ricas en ARN).
Los componentes celulares de naturaleza catiónica (básicos) se unen selectivamente al tinte ácido eosina, tiñéndose en variados tonos de naranja y rojo. A estos elementos se los denomina acidófilos o eosinófilos. Este es el caso de la hemoglobina, y de las proteínas contenidas en las granulaciones de los granulocitos eosinófilos.
Los componentes celulares que tienen afinidad por ambos tipos de colorantes se denominan neutrófilos y se tiñen en variados tonos de violeta.
Resultado:
- Los núcleos aparecen en colores que van del color azul al púrpura-negro.
- Los citoplasmas de las células maduras aparecen de un color violeta muy pálido o marrón muy pálido.
- Los glóbulos rojos, ricos en hemoglobina aparecen de colores entre rosados y beige.
- Los gránulos de los neutrófilos aparecen de colores entre violeta y marrón.
- Los gránulos de los eosinófilos aparecen de color naranja.
- Los gránulos de los basófilos de color entre azul y negro.
- Los gránulos de los linfocitos grandes aparecen de color púrpura.
- Las células con gran producción de ARN (como linfocitos productores de inmunoglobulinas y células inmaduras) presentan un citoplasma de color azul intenso.
Cabe destacar que las coloraciones finales obtenidas son muy dependientes del pH de las soluciones de tinción y de las soluciones de lavado, por lo que los tonos pueden variar bastante, teniendo un aspecto más verdoso cuando el pH final obtenido es cercano a 5 y un tono rojizo cuando el pH final es cercano a 9. Para evitar estos efectos se suelen utilizar soluciones amortiguadoras de pH neutro para preparar las soluciones de tinción y las soluciones de lavado.
Particularidades
Dos tipos de comportamiento tintorial coexisten en esta coloración: Por un lado está el comportamiento ortocromático, en este caso el tinte conserva el color cuando se fija al componente celular. Este es el caso del eosinato de metileno, aquí el color naranja de la eosina se conserva y el color del azul de metileno se conserva.
Por otro lado está el comportamiento metacromático, en este caso el tinte cambia de color una vez unido al componente celular. Es lo que ocurre con los derivados del azul de metileno. Los azure A y B originalmente de intenso color azul se convierten en púrpuras cuando se unen a los componentes celulares azurófilos.
Las diluciones de las soluciones de tinción y los lavados deberían hacerse con una solución tamponada a pH 7,2-7,3 (pH próximo al fisiológico) para no perturbar las afinidades de tinción de los constituyentes celulares.
Técnica
EL procedimiento descrito a continuación es simplemente a título informativo. Debe ser adaptado de acuerdo a las especificaciones del fabricante de los colorantes y a los resultados obtenidos.
Resumen del protocolo de tinción de Giemsa: - desparafinar los cortes si es necesario y rehidratarlos - incubar con solución de May-Grunwald durante 5-7 min - lavar con PBS - incubar con solución de Giemsa durante 10-15 min - lavar con PBS e incubar en PBS durante 5 min - aclarar con agua y secar al aire - aclarar con xileno o similar y montar
Fijación
El primer paso es fijar las células sanguíneas presentes en el frotis. La fijación es un proceso fisicoquímico que altera las propiedades químicas de las proteínas que forman las células, para que luego resistan el proceso de teñido preservando la estructura que tenían cuando estaban vivas. En la técnica de May-Grünwald/Giemsa la fijación la hace el metanol de la solución de May-Grünwald. Para fijar se colocan los vidrios con los frotis horizontalmente en una parrilla o en una caja de coloración y se vierten unas 20 gotas de solución sobre cada uno hasta que los frotis queden completamente cubiertos. Se mantienen así durante 2 o 3 minutos para que el metanol fije las células.
Tinción con May-Grünwald
Simultáneamente al proceso de fijación, tanto el azul de metileno como la eosina habrán permeado todos los compartimientos celulares, pero los colorantes no se podrán unir a sus respectivas estructuras afines hasta que la solución se convierta en polar, esto se consigue agregando lentamente agua, permitiendo así que los colorantes precipiten selectivamente.
Lavado y rehidratación
La solución de Giemsa es mucho más polar que la solución de May-Grünwald, y para permitir que actúe correctamente es conveniente que el preparado se encuentre convenientemente rehidratado, luego de haber añadido el agua a la primera solución se lavan los vidrios con un chorro de agua tamponada y luego se cubren con la misma solución de lavado durante un minuto, para permitir una correcta rehidratación.
Tinción con Giemsa
La solución de Giemsa es inestable una vez diluida en agua, por lo que conviene prepararla inmediatamente antes de su uso, usualmente se prepara haciendo una dilución 1:10 de la solución comercial en agua destilada tamponada con fosfatos a pH 7,2. Se cubren los portaobjetos con la solución de Giemsa recién preparada y se dejan teñir por espacio de 15 a 20 minutos, transcurridos los cuales se retira el colorante se lavan los portaobjetos con la solución tamponada y se dejan escurrir en posición vertical hasta que estén completamente secos.
Observación
Se hace en microscopio óptico de gran aumento con objetivo de inmersión en aceite, esto permite ver detalles de la cromatina de los núcleos y dilucidar correctamente las estructuras observadas.
| Granulocitos | Granulocito basófilo | Monocito | Linfocito |
|---|---|---|---|
![]() |
![]() |
![]() |
![]() |
Bibliografía
- ARP, ed. (1992). Métodos Histotecnológicos. Instituto de patología de las Fuerzas Armadas de los EEUU (AFIP).



