Sustancia innominada
| Sustancia innominada | ||
|---|---|---|
|
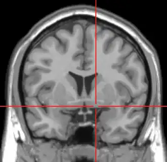
Corte coronal de IRM que muestra la ubicación de la sustancia innominada con la cruz roja. | ||
| Nombre y clasificación | ||
| Latín | Substantia innominata | |
| TA | A14.1.09.426 | |
|
| ||
La sustancia innominada, también sustancia innominada de Meynert —substantia innominata en latín— es una serie de capas del cerebro humano compuestas en parte de materia gris y en parte de materia blanca, que se encuentra debajo de la parte anterior del tálamo y del núcleo lentiforme. Se incluye como parte de la sustancia perforada anterior —llamada así por su apariencia—. Forma parte de las estructuras basales del cerebro anterior e incluye el núcleo basal. Una parte de la sustancia innominada, por debajo del globo pálido, se considera parte de la amígdala extendida.[1]
Capas

Consta de tres capas, superior, media e inferior.
- La capa superior se denomina ansa lenticularis, y sus fibras, derivadas de la lámina medular del núcleo lenticular, discurren medialmente para terminar en el tálamo y la región subtalámica, mientras que se dice que otras terminan en el tegmento y el núcleo rojo.
- La capa intermedia consta de células nerviosas y fibras nerviosas; las fibras entran desde el lóbulo parietal a través de la cápsula externa, mientras que otras se dice que lo conectan con el fascículo longitudinal medial.
- La capa inferior forma la parte principal del tallo inferior del tálamo y conecta este cuerpo con el lóbulo temporal y la ínsula.
Sistema estriatopalidal
A finales del siglo XX, tras la mejora de la obtención de imágenes mediante la tinción, se reclasificó como parte del sistema estriato palidal, que está formado por el estriado dorsal y el pallidum dorsal, y el estriado ventral y el pallidum ventral.[2][3]
Referencias
- Este artículo incorpora texto de dominio público de la página 837 de la 20ª edición de Gray's Anatomy (1918)
- ↑ «BrainInfo». braininfo.rprc.washington.edu.
- ↑ «BrainInfo». braininfo.rprc.washington.edu.
- ↑ «BrainInfo». braininfo.rprc.washington.edu.