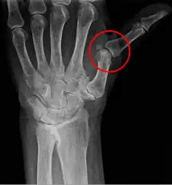
Subluxación

Una subluxación es un desplazamiento de una articulación por estiramiento de tejidos blandos. Este tipo de trastornos aprisionan nervios, desencadenando múltiples problemas físicos, reduciendo la movilidad articular, pues afectan directamente la biomecánica corporal. Cuando se aprisiona un nervio queda comprometida la funcionalidad articular asociada al mismo. Por tal razón las subluxaciones tienen un efecto dominó en perjuicio de la salud y el bienestar general del individuo.
Se produce por causas diversas, por ejemplo: malas posturas, movilizaciones inapropiadas, golpes, sobre esfuerzos musculares, etc. La zona del cuerpo que más a menudo se ve perjudicada por esta patología es la columna vertebral, viéndose afectado el sistema nervioso así como el eje de sustentación y así mismo toda la estabilidad estructural del cuerpo.
Las subluxaciones siempre desencadenan múltiples trastornos, muy dolorosos y con tendencia a complicarse. Algunas condiciones de salud que predisponen para este padecimiento son mala alimentación, trastornos del sueño, malas prácticas deportivas, sedentarismo físico, patologías físicas, estrés e inclusive el medio ambiente puede influir.
Una rama terapéutica que se ocupa de restaurar la normalidad a los tejidos es la fisioterapia.
Véase también