Sinostosis radiocubital congénita
| Sinostosis radiocubital congénita | ||
|---|---|---|
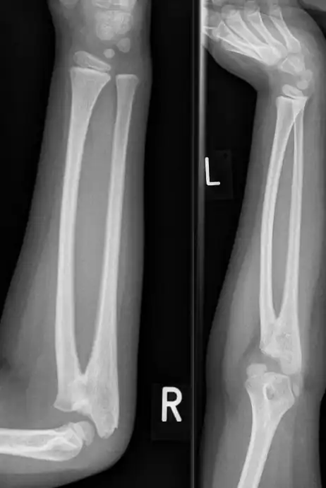
![]() Sinostosis radiocubital en un niño de 7 años. | ||
| Especialidad | genética médica | |
| Complicaciones | Rango de movimiento bajo generalizado del antebrazo y codo, resultando en algunas ocasiones en dolor | |
| Inicio habitual | Nacimiento | |
| Duración | De por vida (pero se puede corregir cirurgicamente) | |
| Causas | Falla de diferenciación entre los huesos radio y ulna | |
| Factores de riesgo | Historia familiar de sinostosis radioulnar, padecer de una anormalidad cromosomal. | |
| Diagnóstico | Radiografía | |
| Prevención | Ninguna | |
| Tratamiento | Cirugía correctiva | |
| Pronóstico | Bueno/Medio | |
| Frecuencia | Muy infrecuente, solo 350 casos han sido descritos en la literatura médica. | |
| Tasa de letalidad | Baja | |
| Sinónimos | ||
| Fusión radiocubital | ||
La sinostosis radiocubital congénita es una malformación congénita de los huesos del antebrazo, la cual se caracteriza por la fusión ósea anormal del radio y el cúbito.[1] Puede presentarse al nacimiento de forma congénita o a partir de una lesión traumática.
Signos y síntomas
Esta condición se caracteriza por, aparte de la fusión radiocubital, un rango de moción de pronación y de supinación del antebrazo disminuido. En la mayoría de los casos, se comienza a sentir dolor afectando al brazo en la adolescencia.[2]
No suele presentarse dolor, a menos que provoque la subluxación de la cabeza del radio. Puede asociarse a la dislocación de la cabeza del radio, lo que limita el movimiento de extensión del codo.[3]
Causas
Esta condición es causada por una falla de diferenciación por parte del radio y el cúbito durante la vida fetal. Es decir, los huesos mencionados no se separan por completo durante la gestación y se encuentran fusionados al nacer.[4]
La causa exacta de esta condición es desconocida, pero se han descrito casos familiares en donde se hereda bajo un patrón autosómico dominante, por lo cual los hijos de un paciente afectado tienen un 50% de probabilidad de heredar la condición. También se ha descrito como parte de los varios síntomas que causan algunos síndromes genéticos y cromosomales, como lo son el síndrome XYYY, síndrome XXXYY, síndrome de Apert, síndrome de Carpenter, artrogriposis, síndrome de Treacher Collins,y síndrome de Klinefelter. Al asociarse a la trombocitopenia amegacariocítica congénita, suele verse causada por cambios en el gen HOXA11. También se ha descripto como una de las manifestaciones del síndrome del espectro alcohólico fetal.
Hay casos en los que la sinostosis radiocubital se adquiere después de una fractura ósea, por lo general en aquellas donde el hueso se fractura en múltiples fragmentos. A esto se le conoce como sinostosis radiocubital adquirida o sinostosis radiocubital post-traumática.[5]
Tipos
Hay dos tipos de sinostosis radiocubital:[6]
Tipo 1: consiste en una fusión de 2 a 6 cm del área entre el radius y la cubital, la cabeza del radius (final del radius en el codo) está ausente.
Tipo 2: la fusión es de más de 6 cm; se presenta una dislocación de la cabeza del radio.
Prevalencia
Esta condición es infrecuente entre la población general del planeta, tan solo 350 casos de esta condición han sido descritos en la literatura médica.[7][8] Se estima que es bilateral en un 60% de los casos, y que afecta con mayor frecuencia a los varones.
Tratamiento
Esta malformación se puede corregir quirúrgicamente por medio de una osteotomía correctiva del antebrazo, con altos índices de fracaso en el tratamiento de las de tipo adquirido por una lesión traumática.[9]
Referencias
- ↑ Tsai, Jeffrey (1 de septiembre de 2017). «Congenital radioulnar synostosis». Radiology Case Reports (en inglés) 12 (3): 552-554. ISSN 1930-0433. doi:10.1016/j.radcr.2017.03.011. Consultado el 22 de junio de 2022.
- ↑ «Congenital radioulnar synostosis». NORD (National Organization for Rare Disorders) (en inglés estadounidense). Consultado el 22 de junio de 2022.
- ↑ «What is radioulnar synostosis? | Nicklaus Children's Hospital». www.nicklauschildrens.org. Consultado el 22 de junio de 2022.
- ↑ «Congenital Radial Ulnar Synostosis - Hand - Orthobullets». www.orthobullets.com. Consultado el 22 de junio de 2022.
- ↑ Pfanner, S.; Bigazzi, P.; Casini, C.; De Angelis, C.; Ceruso, M. (8 de febrero de 2016). «Surgical Treatment of Posttraumatic Radioulnar Synostosis». Case Reports in Orthopedics (en inglés) 2016: e5956304. ISSN 2090-6749. doi:10.1155/2016/5956304. Consultado el 22 de junio de 2022.
- ↑ «Congenital radioulnar synostosis - About the Disease - Genetic and Rare Diseases Information Center». rarediseases.info.nih.gov (en inglés). Consultado el 22 de junio de 2022.
- ↑ Radioulnar Synostosis: Practice Essentials, Pathophysiology, Etiology. 2 de junio de 2022. Consultado el 22 de junio de 2022.
- ↑ «A Rare Case of Congenital Radioulnar Synostosis». Consultant360 (en inglés). 24 de noviembre de 2021. Consultado el 22 de junio de 2022.
- ↑ Philadelphia, The Children's Hospital of (24 de septiembre de 2018). «Skylar’s Story: Surgical Correction of Congenital Radioulnar Synostosis». www.chop.edu. Consultado el 22 de junio de 2022.
