Síndrome del niño sacudido
| Síndrome del niño sacudido | ||
|---|---|---|
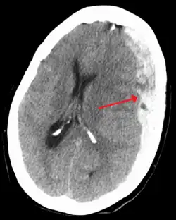
![]() Hematoma subdural (flecha), sangrado entre la duramadre de las meninges y el cerebro, se produce con frecuencia en SBS | ||
| Especialidad | pediatría | |
| eMedicine | lista de temas | |
El síndrome del niño sacudido, también conocido como síndrome del niño zarandeado o agitado o síndrome del bebé sacudido (SBS) es una constelación de hallazgos médicos (a menudo designada como la "tríada"): hematoma subdural, hemorragia retinal, y edema cerebral, por la que los facultativos, de acuerdo con los conocimientos médicos actuales, deducen maltrato infantil causado por sacudidas violentas, sacudidas muy peligrosas debido a que el cerebro del bebé o niño pequeño aún no ocupa toda la caja craneal. En la mayoría de los casos no hay signos visibles de lesión externa. El síndrome del niño sacudido es un subconjunto de una forma de maltrato infantil más amplia llamada trauma cerebral abusivo o trauma cerebral por maltrato.[1] El CDC, Centers for Disease Control and Prevention, de los Estados Unidos, identifica SBS como "una lesión en el cráneo o contenidos intracraneales de un bebé o niño pequeño (< 5 años de edad) debido a un impacto contundente y/o sacudida violenta".[2]
La Fiscalía General de la Corona de Inglaterra y Gales recomendó en 2011 que se evitara el término síndrome de bebé sacudido y se usará en su lugar el término traumatismo craneal no accidental (NAHI, por sus siglas en inglés).[3] En el 2009, la Academia Americana de Pediatría recomendó el uso del término Traumatismo Craneal Abusivo para sustituir SBS.[4][5]
El SBS es a menudo fatal y puede causar graves daños cerebrales, con resultado de discapacidad de por vida. La tasa de mortalidad estimada entre niños con SBS varía del 15% al 38%; la media es de 20%–25%. Más de la mitad de muertes relacionadas con maltrato infantil se deben supuestamente al síndrome del niño sacudido.[6] Consecuencias no fatales de SBS incluyen diversos grados de deterioro visual (incluyendo ceguera), deterioro motor (p.ej. parálisis cerebral) y Deterioro cognitivo.[7]
Señales y síntomas
Lesiones características asociadas con SBS incluyen hemorragia retinal, fracturas múltiples de los huesos largos, y hematomas subdurales (hemorragia cerebral).[8] Estas señales se han desarrollado con los años como las señales aceptadas y reconocidas de maltrato infantil y síndrome del bebé sacudido. Los profesionales médicos sospechan firmemente de sacudida como causa de lesiones cuando el bebé o niño pequeño presenta hemorragia retinal, fracturas, lesiones de tejidos blandos o hematoma subdural, que no pueden ser explicados por trauma accidental u otras afecciones médicas.[9]
La mayoría de los casos ocurren en niños lactantes, los cuales tienen una desproporción exagerada entre el gran tamaño de la cabeza con respecto al resto del cuerpo, y un tono muscular insuficiente en los músculos del cuello, que no los permite soportar el peso y las oscilaciones de la cabeza. Como consecuencia de todo ello, tras la sacudida, se producen una serie de trastornos hipóxicos debidos a la dificultad respiratoria, que van a provocar alteraciones del centro respiratorio troncoencefálico, con frecuencia un edema cerebral, y hemorragias subdurales, con pequeñas contusiones parenquimatosas y múltiples hemorragias axiales adicionales.[10]
Hemorragia retinal ocurre en torno al 85% de los casos de SBS; el tipo de hemorragia retinal es muy característico de esta afección, lo que hace su observación muy útil para establecer el diagnóstico.[11] Si bien hay muchas otras causas de hemorragia retinal aparte del SBS, hay habitualmente resultados adicionales (oculares y/o sistémicos) que hacen evidente los diagnósticos alternativos.[falta cita]
Fracturas de las vértebras, huesos largos y costillas también pueden asociarse con SBS.[12] El dr. John Caffey informó en 1972 de que avulsiones metafisiarias (pequeños fragmentos de hueso se habían desgarrado donde el periostio y el hueso cortical están fuertemente ligados) y "huesos en los lados proximal y distal de una articulación individual están afectados, especialmente en la rodilla".[13]
Resultados añadidos de SBS son lesión axonal difusa, privación de oxígeno y edema cerebral,[14] que puede elevar la presión dentro del cráneo y dañar tejidos cerebrales delicados. Las víctimas de SBS pueden mostrar irritabilidad, crecimiento insuficiente, alteraciones en patrones de alimentación, letargia, vómitos, convulsiones, protuberancia o tensión en las fontanelas (los puntos blandos en la cabeza de un bebé), aumento del tamaño de la cabeza, respiración alterada, y pupilas dilatadas.[10][15][16]
Se trata de un amplio conjunto de signos y síntomas que pueden variar de leves a severos y de inespecíficos a obvios. La resonancia magnética puede ser útil para diagnosticar las hemorragias retinianas.[17] El médico debe sospechar maltrato infantil ante la presencia de estos signos y la incapacidad para explicarlos por medio de traumatismos accidentales u otras condiciones médicas.[10][16]
Factores de riesgo
Los cuidadores en riesgo de convertirse en maltratadores a menudo tienen unas expectativas poco realistas del niño y pueden manifestar una "inversión de papeles" al esperar que el niño cumpla las necesidades del cuidador.[18] El abuso de drogas y la tensión emocional, resultado por ejemplo de problemas económicos, son otros factores de riesgo para la agresión e impulsividad en cuidadores.[18] Tanto hombres como mujeres pueden infligir SBS.[18] Si bien se creía anteriormente que SBS era un suceso aislado, la evidencia de maltrato infantil anterior es un hallazgo común en casos de SBS.[18] Se calcula que en un 33–40% de los casos, hay presente evidencia de lesiones craneales anteriores, tal como antiguos sangrados intracraneales.
Mecanismo
Se trata de un lactante con llanto incontrolado, inconsolable, al que una persona sostiene por el tórax y lo sacude bruscamente, con lo que se produce un mecanismo de aceleración-desaceleración de la cabeza que conduce por una parte a fracturas paravertebrales de las costillas, a hemorragias intracraneales y a lesiones oculares.
La lesión rotacional es especialmente dañina y es probable que suceda en traumas por sacudida.[19] El tipo de lesiones provocadas por sacudidas no suelen estar causadas por caídas e impactos propios de un juego normal, que son principalmente fuerzas lineales.[19] Se ha sugerido que el mecanismo de anomalías oculares está relacionado con tracción vítreoretinal, con movimientos del vítreo que contribuyen al desarrollo de las características hemorragias retinales, si bien esto ha sido cuestionado.[20] Estos hallazgos oculares tienen correlación con anomalías intracraneales.[21]
Fuerza
Se ha dado una larga controversia sobre la cantidad de fuerza necesaria para producir el daño cerebral observado en el síndrome del niño sacudido. Si bien hay un amplio acuerdo, incluso entre escépticos, de que sacudir a un bebé es peligroso y puede resultar fatal,[22][23][24] la cantidad de fuerza necesaria para causar lesión continúa siendo desconocida.
Un análisis biomecánico publicado en 2005 informaba de que una "sacudida enérgica puede lesionar gravemente o matar a un bebé, esto se debe a que la columna cervical se lesionaría gravemente y no a que hematomas subdurales serían causados por grandes aceleraciones rotacionales de la cabeza... una cabeza infantil sometida a los niveles de velocidad y aceleración rotacional invocados en la literatura del SBS experimentaría fuerzas sobre el cuello infantil que exceden con mucho los límites para un fallo estructural de la columna cervical. Más aún, una lesión por sacudida de la columna cervical puede ocurrir a niveles de velocidad y aceleración de la cabeza mucho más bajos que los comunicados para el SBS." [25] Otros autores se mostraron críticos con el análisis matemático de Bandak, mostrando preocupación sobre las cálculos usados por el autor y concluyendo que "A la vista de los errores numéricos en las estimaciones de fuerza cervical de Bandak, cuestionamos el tenor decidido de las conclusiones de Bandak en el sentido de que las lesiones cervicales ocurrirían en todos los sucesos de sacudida."[26] Otros autores críticos con el modelo propuesto por Bandak concluyen que "el análogo mecánico propuesto en el artículo puede no ser enteramente apropiado cuando se usa para modelar el movimiento de la cabeza y cuello de niños cuando un bebé es sacudido."[27] Bandak respondió a las críticas en una carta al editor publicada en Forensic Science International en febrero del 2006.[28]
Diagnóstico
Tríada
Los hallazgos de SBS suelen indicarse como "tríada".[29] El proceso de inferir sacudida violenta o por maltrato de los resultados clínicos de SBS ha sido también indicado como hipótesis.[30][31]
En el 2000, Rob Parish, Director Adjunto del Centro Nacional de Síndrome del Bebé Sacudido, resumió la tríada como sigue:
A menudo denominada como la “tríada”, el consenso continúa siendo que un conjunto de:
(1) daño cerebral, manifestado por inflamación cerebral grave y/o lesión axonal traumática difusa;
(2) derrame bajo las membranas que cubren el cerebro, generalmente, derrame subdural y/o subaracnoideo;
(3) derrame en las capas de la retina, a menudo acompañado de otro daño ocular, cuando se ve en niños pequeños o bebés, es prácticamente diágnóstico de sacudida severa de la cabeza por latigazo.[32]

El SBS puede ser mal diagnosticado o subdiagnosticado, y los cuidadores pueden mentir o no ser conscientes de los mecanismos de la lesión.[18] Normalmente, no hay signos visibles de la afección.[18] El examen de un oftalmólogo a menudo resulta fundamental en el diagnóstico de síndrome de bebé sacudido, ya que formas particulares de derrame ocular son muy características.[33] Imágenes por resonancia magnética también pueden mostrar sangrado retinal;[17] Puntualmente esto puede resultar útil si un examen del oftalmológo se retrasa o no está disponible.[cita requerida] Afecciones que deben ser descartadas incluyen hidrocefalia, síndrome de muerte súbita del lactante (SMLS), trastorno convulsivo, y enfermedades infecciosas o congénitas como meningitis y trastornos metabólicos.[19][34] Se utilizan exploración por TAC e imágenes por resonancia magnética para diagnosticar la afección.[18] Afecciones que pueden acompañar SBS incluyen fracturas óseas, lesión de la vértebras cervicales (en el cuello), hemorragia retinal, hemorragia cerebral o atrofia, hidrocefalia, y papiledema (hinchazón del disco óptico).[14]
Se han sugerido los términos traumatismo craneal no accidental o lesión cerebral traumática infligida en lugar de "SBS".[35]
Diagnóstico diferencial
Deficiencia de vitamina C
Algunos autores han sugerido que ciertos casos de presunto síndrome de bebé sacudido pueden producirse por una deficiencia de vitamina C[36][37][38] Esta controvertida hipótesis se basa en una especulativa afección marginal, casi escorbútica o en falta de repleción de nutrientes esenciales y un nivel de histaminas potencialmente elevado. Sin embargo, los síntomas consistentes con aumento del nivel de histaminas, tales como baja presión sanguínea y síntomas alérgicos, no se asocian normalmente con escorbuto como una deficiencia de vitamina C clínicamente significativa. Una revisión de la literatura de esa hipótesis en la revista Pediatrics International concluyó lo siguiente: "De la información disponible en la literatura, concluyó que no existía evidencia convincente para concluir que la carencia de vitamina C pueda ser considerada la causa del síndrome de bebé sacudido."[39]
Los defensores de tales hipótesis cuestionan a menudo la adecuación de niveles de nutrientes tisulares, especialmente vitamina C,[40][41] para los niños enfermos o convalecientes, con infecciones bacterianas, mayores necesidades individuales, los que sufren de problemas ambientales (p.ej. alergias), y quizás estrés transitorio relacionado con vacunaciones.[42] Dado que los pacientes que presentan un posible SBS constituirían solo el grupo de niños más gravemente afectado por carencias nutricionales, se esperaría un número más amplio de individuos observados con síntomas más suaves. En el momento de esta redacción, escorbuto infantil en los Estados Unidos es prácticamente inexistente.[43] No se ha informado de ningún caso de escorbuto que imite el SBS o el síndrome de muerte súbita del lactante, y habitualmente el escorbuto acontece más tarde en la infancia, raras veces causa muerte o hemorragia intracraneal, y está acompañado de otros cambios de los huesos y la piel y siempre un historial alimenticio inusualmente deficiente.[44][45]
Hemofilia
Prácticamente todas las enfermedades que provocan problemas de coagulación de la sangre, por poco frecuentes que sean, pueden provocar confusión con el diagnóstico de SBS, por lo que se recomienda un análisis hematológico y la colaboración entre oftalmólogos, pediatras y hematólogos, para descartar esa posibilidad.[46]
Enfermedad de Von Willebrand
La enfermedad de von Willebrand, o EvW, una anomalía en la coagulación de carácter hereditario de von Willebrand (EvW) debida a una deficiencia cualitativa o cuantitativa del factor de von Willebrand (FvW), una proteína multimérica requerida para la adhesión plaquetaria, puede provacar lesiones que se confundan con el SBS. Hay cuatro tipos de EvW. El dr. Michael Lapostata, patólogo jefe del Vanderbilt University Hospital, ha publicado sobre el tema, ha participado como perito y afirma que en los hospitales se debe hacer pruebas de hemofilia antes de diagnosticar SBS.[47]
Meningitis
La meningitis causa una inflamación de las capas exteriores del cerebro y las membranas de la médula espinal. Ciertas características de esta infección viral pueden ser confundidas con algunos síntomas de SBS.[48]
Osteogénesis imperfecta
La osteogénesis imperfecta es una enfermedad genética que afecta la síntesis de colágeno tipo I, lo que produce huesos frágiles con fracturas frecuentes, con síntomas clínicos que aparecen en variadas formas. Un equipo de seis médicos españoles describe el caso de un bebé de 3 meses con encefalopatía aguda con convulsiones, hematoma subdural y hemorragias retinales, así como fracturas en las costillas. Se diagnosticó osteogénesis imperfecta confirmada por un estudio del colágeno en los fibroblastos de la piel. La actitud de los padres y la existencia de OI hizo pensar que no había habido daño premeditado.[49]
Ahogo disfágico
Si un bebé sufre un episodio de atragantamiento -mientras se alimenta o tiene algo en la boca- puede sufrir una obstrucción de las vías respiratorias, apnea, cambio de color en la piel, del tono muscular, lo que puede provocar pánico en sus cuidadores y maniobras de reanimación improvisadas. P. D. Barnes et al. describen el caso de un niño de 4 meses ingresado en urgencias tras ser encontrado sin respiración ni pulso por los servicios médicos de emergencias. El bebé desarrolló coagulopatía intravascular diseminada y murió. El TAC y la resonancia magnética mostraron hemorragia subdural, subaracnoide y retinal, además de encefalopatía hipóxica isquémica. Se diagnosticó lesión no accidental con SBS. La autopsia reveló cambios difusos anóxicos del sistema nervioso central además de las hemorragias asociadas con SBS. Si bien no se pudo descartar lesión no accidental, la autopsia proporcionó evidencias de que la lesión del bebé podía ser el resultado de un suceso crítico provocado por ahogo disfágico, tal como relataron sus cuidadores.[50]
Problemas durante la gestación
Problemas durante la gestación que afecten a la madre y al feto, el proceso del parto, prematuridad y déficits nutricionales pueden acelerar patologías esqueléticas y hemorrágicas que también pueden imitar SBS, incluso antes del parto.[51]
Hematomas espontáneos
El estudio de la anatomía cerebral y la hematología de los recién nacidos ha experimentado importantes avances en los últimos años. Algunos neuropatólogos creen que los hematomas subdurales de capa fina vistos a menudo en niños muy pequeños podrían representar una filtración desde la duramadre inmadura -que es muy diferente de la de los adultos, o incluso de la de los bebés- más que una clara hemorragia desde las venas puentes. "Cambios de presión, congestión, y hemorragia intradural podrían ser responsables del hallazgo común de pequeños volúmenes de SDH (hemorragia subdural) después del parto o potencialmente en los primeros meses de vida postnatal mientras la anatomía de la duramadre permanece inmadura".[52] Un estudio del 2008 usando escáneres más potentes que los anteriores (de 1,5 T de fuerza de campo magnético) encontró hemorragias subdurales de capa fina en casi la mitad de los recién nacidos asintomáticos. "Confirmamos los informes de que SDH (hemorragia subdural) ocurre en neonatos asintomáticos tras el parto. La incidencia de SDH (46%) es significativamente más alta en nuestro estudio que en informes previos."[53]
Hemorragias recurrentes de lesiones previas
Resangrado o hemorragias recurrentes después de una posible lesión en el momento del parto o incluso anterior han sido propuestas como explicación del síndrome del bebé sacudido. Una lesión desapercibida al principio empezaría a sangrar de nuevo de modo natural o por un leve golpe o sacudida. Según Ronald Uscinski, neurocirujano en la facultad de medicina de la George Washington University, a menudo contratado por las defensas en casos de SBS "el resangrado puede ocurrir con un trauma mínimo o sin él. Pueden ocurrir espontáneamente." En tal caso los hematomas subdurales observados en el TAC serían crónicos y no agudos. Un reciente estudio de bebés y fetos muertos por lesiones del parto o enfermedades (y que no podían haber sido sacudidos porque nunca dejaron el hospital) reveló que muchos de ellos tenían hematomas subdurales, que más tarde podrían haber sido confundidas con señales de maltrato si hubieran vivido. [cita requerida]
Caídas accidentales
Los pediatras reconocen que un gran número de niños sufren caídas cada día y suponen que solo un pequeño número de caídas de corta distancia, quizás "una en un millón", producen lesiones serias o a veces fatales. En una población infantil numerosa, podemos asumir que caídas graves ocurren cada día. La mayoría de los padres buscarán asistencia médica para sus hijos sólo en caso de caídas accidentales graves o de apariencia muy peligrosa. Estas caídas pueden provocar lesiones graves. Puede ocurrir que un pequeño conjunto de caídas accidentales dentro de un gran denominador de caídas accidentales produzca daño cerebral grave, aunque sea resultado de mecanismos inocentes y accidentales. En 1997 los doctores Greenes y Schutzman observaron en un estudio que entre niños trasladados a emergencias tras caídas de menos de tres pies (91,44 centímetros) aproximadamete el 18% sufría trauma intracraneal grave o fractura de cráneo.[54]
Tratamiento
El tratamiento implica monitorizar la presión intracraneal (la presión dentro del cráneo), drenar el fluido desde los ventrículos cerebrales, y, si está presente un hematoma intracraneal, drenar la sangre acumulada.[14]
Pronóstico
El pronóstico depende de la gravedad y puede variar desde una recuperación total hasta una discapacidad grave hasta muerte cuando la lesión es muy grave.[14] Un tercio de esos pacientes mueren, otro tercio sobrevive con una importante afección neurológica, y sólo una tercera parte sobrevive en buen estado. Los deterioros neurológicos más frecuentes son incapacidad de aprendizaje, trastornos convulsivos, incapacidades del habla, hidrocefalia, parálisis cerebral, y trastornos de la vista.[19]
Epidemiología
Los niños muy pequeños se hallan en un riesgo especialmente alta del maltrato que causa el SBS, dada la gran diferencia de tamaño entre un niño y un adulto.[18] El SBS es más frecuente en niños menores a dos años, pero también puede darse en menores de hasta cinco años.[18]
Historia
En 1968, el neurocirujano Ayub Ommaya llevó a cabo un experimento con monos rhesus a los que ató a una silla y sometió a una rápida aceleración y brusca deceleración, para compararlo con los efectos del "latigazo" en los accidentes de coche. El experimento concluyó que el "latigazo" podía producir conmoción cerebral y lesión cerebral, incluyendo hemorragia en la superficie del cerebro. Ommya advirtió contra la aplicación a humanos de conclusiones extraídas en experimentos con monos.[55]
En 1971, el neurocirujano Norman Guthkelch teorizó que la lesión por latigazo podría explicar hemorragias subdurales y edemas cerebrales en el caso de niños hospitalizados por crisis neurológicas, sin signos de lesiones externas, debido al desgarro de las venas del espacio subdural. El síndrome fue descrito por primera vez por el radiólogo pediátrico John Caffey en 1972 como una forma de maltrato físico infantil debido a traumatismos intracraneales que conllevan un grupo de alteraciones clínico-patológicas bien definidas, acompañado o no de signos externos de maltrato.[56]
Cuando esa idea se difundió entre la comunidad científica, los doctores empezaron a considerar que los hematomas subdurales eran siempre el resultado de un trauma.
En 1987, la neurocirujano residente Duhaime de la universidad de Pensilvania y varios ingenieros biomecánicos intentaron validar la hipótesis del SBS midiendo la fuerza de una sacudida y comparándola con el umbral aceptado de lesión cerebral. Adultos voluntarios sacudiendo modelos infantiles provistos de sensores fueron incapaces de alcanzar el umbral de aceleración angular que se suponía necesaria para causar hematomas subdurales, lesión axonal difusa, o coma en niños pequeños. Aunque este temprano experimento fue rudimentario, indicó que la fuerza generada por sacudida a un niño estaba muy por debajo de los criterios establecidos para traumatismo craneal y sólo era una quincuagésima parte de la fuerza generada por impacto. «Nuestra conclusión es que el síndrome del bebé sacudido, al menos en su forma más aguda, no es causado habitualmente sólo por sacudida. Si bien la sacudida puede ser, de hecho, parte del proceso, es más probable que tales niños pequeños sufran un impacto contundente. La hipótesis más común es que un niño es sacudido, después lanzado en o contra una cuna u otra superficie.»[57]
En el 2004, la neuropatóloga J. F. Gedders y el patólogo forense J. Plunkett publicaron un artículo destacando que en el campo del SBS la posibilidad de experimentación científica y pruebas controladas no existe, es decir, no se puede sacudir a un grupo de bebés para observar si desarrollan hemorragias subdurales; por lo tanto, en su opinión, los criterios para establecer diagnósticos de sacudida carecían de «evidencia científica para llegar a una conclusión firme en la mayor parte de aspectos de causa, diagnóstico, tratamiento, o cualquier otro asunto».[58][59]
En 2005, el ingeniero biomecánico Faris Bandak dirigió un análisis de los niveles de velocidad rotacional y aceleración de la cabeza para sus efectos lesivos en la cabeza y cuello del bebé. Las fuerzas resultantes se compararon con datos experimentales de los límites de fallo estructural de las cervicales en varios modelos de animales así como en modelos de cadáveres de humanos neonatos. Determinaron que una cabeza infantil sometida a los niveles de velocidad rotacional y aceleración mencionados en la literatura anterior sobre SBS, sufriría fuerzas en el cuello muy superiores a las que podría aguantar sin lesionarse. Más aún, lesiones de las cervicales por sacudidas ocurrirían con niveles de velocidad y aceleración muy inferiores a los dados para el SBS.[60]
En diciembre de 2011, la Corte Suprema en Londres decidió que Jayden Al Alas Wray, muerta a los cuatro meses de edad, considerada víctima de SBS, como demostraba la clásica tríada de lesiones así como fracturas en múltiples puntos de su cuerpo, había muerto en realidad por una grave deficiencia de vitamina D (raquitismo), por lo que absolvió a sus padres y les devolvió el cuidado de su otra hija, que se hallaba al cuidado de los servicios sociales.[61]
En 2012, el doctor Norman Guthkelch publicó un artículo en el que proponía el uso del término "hemorragia retino-dural infantil con lesión externa mínima" en lugar de "síndrome de bebé sacudido" o denominaciones similares, argumentando que el nombre de un síndrome debía basarse en sus características físicas y evitar así connotaciones tanto de causa, "sacudida", como de intención, "por maltrato". «Esto nos permitiría investigar las causas sin que parezca que asumimos que ya conocemos la respuesta.»[62][63]
En 2015 más de treinta expertos del mundo de la medicina, las leyes y la lucha contra el maltrato infantil publicaron una "Carta Abierta sobre el Síndrome del Bebé Sacudida y los Tribunales", en la que afirmaban que existía un serio desacuerdo entre los expertos sobre la realidad del síndrome y pedían a los jueces prudencia antes de tomar medidas draconianas y que la diversidad de opinión de los expertos fuera debidamente representada antes los tribunales.[64]
Aspectos jurídicos
El 1 de agosto de 1998, la revista The Lancet publicó una editorial en la que pedía precaución contra diagnósticos prematuros y la sobrediagnosticación de este síndrome. "Ninguna imagen ni investigación clínica puede diferenciar con certeza entre lesión accidental e injuria infligida."[65][66]
Desde 1972 se han producido cientos de condenas al año contra padres y cuidadores por sacudir violentamente a bebés o niños pequeños. Sin embargo, en la última década nueva investigación científica ha puesto en cuestión los fundamentos científicos del SBS y numerosas condenas han sido revisadas en países como Gran Bretaña, Canadá, Estados Unidos, Alemania, Suecia...[cita requerida]
En el 2015, la profesora de derecho Deborah Tuerkheimer publicó su libro "Flawed Convictions, "Shaken Baby Syndrom" and the Intertie of Injustice", en que analizaba la historia judicial del síndrome, destacando que, a diferencia de lo que ocurre en otro tipo de casos, las condenas descansaban sólo sobre el testimonio de los peritos médicos, y examinando lo que pasa cuando "la certeza médica subyacente a unos procesamientos basados en la ciencia se disipa".[67]
En al menos el 30% de los casos, el diagnóstico es relativamente claro, porque hay evidencia previa de maltrato. Para la mayoría de los casos restantes, la causa en mucho más confusa, en parte porque otras posibles explicaciones son igualmente controvertidas y ambiguas. Como consecuencia, SBD es básicamente un diagnóstico de exclusión e implica descartar enfermedades raras que los médicos pueden no haber visto nunca.[68]
En julio del 2005, el Tribunal de Apelación del Reino Unido atendió cuatro apelaciones de condenas por SBS: se descartó un caso, se rebajó la sentencia en otro, y confirmó dos condenas.[69] El tribunal consideró que la clásica tríada de hemorragia retinal, hematoma subdural, y encefalopatía aguda no constituyen el 100% de un diagnóstico de SBS y que el historial clínico también es importante. El fallo del tribunal confirmó el concepto de SBS pero descartó un caso y rebajó otro de asesinato a homicidio.[69] En sus propias palabras: "Si bien un fuerte indicador de TCNA [traumatismo craneal no accidental] en sí mismo no creemos posible declarar que debe conducir automática y necesariamente a un diagnóstico de TCNA. Todas las circunstancias, incluyendo el cuadro clínico, deben ser tomadas en cuenta."[70]
El 6 de enero del 2011, el Crown Prosecution Service, el Servicio de la Fiscalía de la Corona de Gran Bretaña y Gales publicó una guía actualizada para los fiscales que tratasen con Traumatismo Craneal No Accidental que implicase niños, antes conocido como "Síndrome del Bebé Sacudido". En esta guía se afirmaba: "Cuando se encuentren las tres lesiones intracraneales fundamentales para un caso de TCNI, el fiscal siempre considerará todas las circunstancias particulares y la evidencia de cada caso antes de llegar a una decisión". La guía deja claro que es improbable que se pueda justificar un homicidio o intento de asesinato o delito de agresión cuando la única evidencia disponible es la tríada de lesiones."[71][66]
El tribunal invalidó la "hipótesis unificada" propuesta por la patóloga británica J. F. Geddes y sus colegas como un mecanismo alternativo para las hemorragias subdural y retinal encontrados en presuntos casos de SBS.[69] La hipótesis unificada propone que la hemorragia no era causado por la rotura de venas subdurales o retinales sino más bien por hipoxia, presión intracraneal elevada y presión elevada en los vasos sanguíneos del cerebro.[69] El tribunal informó de que "la hipótesis unificado ya no se (podía) considerar como una causa creíble o alternativa de la tríada de lesiones": hemorragia subdural, derrame retinal y encefalopatía debidos a hipoxemia (poco oxígeno en la sangre) encontrados en SBS.[69]
El 31 de enero del 2008, El Tribuna de Apelaciones de Wisconsin concedió a Audrey A. Edmunds un nuevo juicio basado en "opiniones médicas competentes y creíbles para determinar si existe realmente una duda razonable sobre la culpa de Edmunds." Expresamente, el tribunal encontró que "Edmunds presenta evidencia que no había sido descubierta hasta después de su condena, en forma de testimonio médico experto, de que un debate significativo y legítimo se ha desarrollado en los últimos diez años sobre si se puede lesionar mortalmente a un niño pequeño sólo mediante sacudida, si un niño pequeño puede sufrir un traumatismo craneoencefálico y, sin embargo, experimentar un significativo período de lucidez previo a la muerte, y si otras causas pueden imitar los síntomas vistos tradicionalmente como indicadores del síndrome del bebé sacudido o síndrome de sacudida e impacto."[72][73]
En febrero de 2011, The New York Times Magazine publicó un extenso artículo sobre el SBS y sobre polémicas condenas, revisiones y disputas de los peritos y expertos médicos en los tribunales relacionadas con ese síndrome,[74] centrándose en las dificultades para defenderse de una emigrante peruana, Trudy Eliana Muñoz Rueda, y en la victoria legal de Audrey A. Edmunds, recogiendo argumentos a favor y en contra de la comunidad científica.
En 2008, a petición del jefe patólogo forense de la provincia, la fiscalía de Ontario, Canadá, comenzó una revisión de 48 sentencias condenatorias por síndrome de bebé sacudido. Según el comité creado para la ocasión: "Los resultados de algunos estudios han impugnado la presunción de que la tríada represente una prueba concluyente de sacudida manual. El diagnóstico de SBS se ha convertido en el foco de controversia y debate significativos."[75]
El 20 de marzo del 2015, The Washington Post empezó a publicar una larga serie de artículos sobre las discusiones científicas y los problemas legales alrededor de este síndrome en los Estados Unidos. El artículo fue producto de un estudio de un año de duración, en colaboración con periodistas del Medill Justice Project, de la Northwestern University, se utilizaron registros de los tribunales y relatos de los medios de comunicación para rastrear las disposiciones de unos 1800 casos en el país desde 2001 que aparentemente implicaban sacudida. También obtuvieron información del National Registry of Exonerations de la University of Michigan Law School y de las blogeras especializadas en el tema Sue Luttner y Susan Anthony. Se revisaron expedientes de tribunales en más de 800 condados de los EE. UU. abarcando el 75 por ciento de la población nacional. En varias docenas de casos desestimados, los periodistas examinaron miles de páginas y grabaciones policiales, incluyendo informes médicos y autopsias. Se realizaron entrevistas con familiares, abogados, acusados en prisión y médicos de ambos lados del debate científico. El periódico también encargó un estudio a una firma de ingeniería en las afueras de Detroit, Design Research Engineering, para comparar la aceleración entre caídas y sacudidas.[76]
Uno de los argumentos más usados por los abogados de la defensa en juicios de este tipo es poner en duda la identificación del agresor. Con el estudio de más y más casos, se descubrió que es posible que un niño padezca una lesión cerebral y permanezca consciente. El niño puede estar letárgico o irritable, puede dejar de comer o dormir de modo normal durante horas o días, mientras la hemorragia subdural u otras lesiones se agravan, para terminar en crisis agudas. Al no poder certificar el momento de la lesión, aunque los médicos estén seguros de que ha existido maltrato, existe el riesgo de condenar a un inocente y no al verdadero culpable. John Leventhal, pediatra profesor de Yale con gran experiencia en el estudio del maltrato infantil, afirmó para el New York Times: "La policía quiere que determinemos el momento dentro de una a tres horas. Pero a veces solo podemos determinar el momento dentro de días".[cita requerida]
La drª Waney Squier, una de las neuropatólogas pediátricas con más experiencia de Gran Bretaña, perito en numerosos casos judiciales de maltrato infantil y que hasta entonces había seguido la opinión general, llegó a la conclusión de que el lazo causal entre la presunta sacudida y la patología observada no tenía base científica. En 2011 afirmó que creía que "la mitad o más de los que han sido llevados a juicio por SBS han sido erróneamente condenados". Antes de esto, la drª Squier había sido asesora por parte de la acusación en varios casos de SBS, entre ellos el de Lorraine Harris. Su declaración sirvió para que Harris fuera condenada por el supuesto asesinato de su bebé Patrick. No se le permitió acudir a su entierro, el bebé al que dio a luz mientras esperaba sentencia fue entregado en adopción, su pareja la abandonó y sus padres murieron mientras ella estaba en prisión. Pero en la vista de apelación de 2005, la doctora se había convencido de que sus criterios para determinar la existencia de SBS habían sido erróneos. El artículo de J.F.Gedders y J. Plunkett la llevó a investigar por su cuenta y llegó a conclusions similiares. Su cambio de criterio provocó violentas críticas por parte de otros doctores, abogados y oficiales de policía, que insinuaban que sus testimonios y declaraciones ayudaban a los maltratadores. Ella argumentó que "algunos patólogos desean permanecer en una zona de comodidad sin desafíos de una teoría anticuada" y "a algunos jueces no les gusta el hecho de que nuevos descubrimientos científicos vuelvan las condenas más complejas y a la policía no le gusta porque puede impedirles conseguir la condena que desean". En 2010 recibió una carta de la Human Tissue Authority, ya que la policía londinense había manifestado algunas dudas sobre el modo en que trataba o almacenaba sin permiso tejidos humanos utilizados en autopsias, pero no se tomó ninguna medida ya que los procedimientos del Hospital John Radcliffe en Oxford, donde ella realizaba su labor, eran muy rigurosos y todo estaba bajo control. Más tarde tuvo que afrontar un consejo de órdenes provionales del General Medical Council con la intención de "proteger al público y a la profesión de doctores peligrosos", este consejo puede limitar el registro profesional de doctores mientras se esté investigando alguna queja. Sin embargo, la audiencia fue desestimada apenas empezada. Muchos doctores, compañeros de trabajo y profesores de su facultad, declararon la naturaleza "escrupulosamente honrada" de sus métodos.[77] A pesar de las críticas y del riesgo profesional que corría, la drª Squier ha seguido haciendo declaraciones drásticas: "Ahora creo que el SBS no existe", la teoría sobre el síndrome es "anticuada, obsoleta y peligrosa". En marzo de 2016, el Medical Practitioners Tribunal Service, el brazo disciplinario del General Medical Counsil, apartó a la dr.ª Squier de la práctica médica al encontrarla culpabe de "confundir a los tribunales en 6 casos en que niños murieron". Sus defensores lo consideran una "caza de brujas" organizada por los defensores de la hipótesis del SBS, que defienden sus tesis atacando personalmente la reputación de los doctores con opiniones contrarias. Por esta condena, su nombre queda suprimido del registro médico, sin embargo, este mismo año la Dra. ha recibido el premio Champion of Justice que concede la Innocence Network, dedicada a ayudar a exonerar a víctimas de errores judiciales.[78][79][80][81][82][83][84][85][86]
En 2012, El dr. A. Norman Guthkelch, el neurocirujano al que a menudo se le atribuye el "descubrimiento del SBS,[87] publicó un artículo "tras cuarenta años de consideración," que es duramente crítico con las acusaciones de bebé sacudido basadas simplemente en la tríada de lesiones.[31] De nuevo, en el 2012, el dr. Guthkelch declaró en una entrevista, "creo que necesitamos empezar de nuevo por el principio y realizar una evaluación más completa de esos casos fatales, y apostaría . . . a que vamos a encontrar en cada caso -o al menos en la gran mayoría de los casos, que el niño tenía otra enfermedad grave de algún tipo que había pasado desapercibida hasta que fue demasiado tarde."[88] Más aún, en 2015, el dr. Guthkelch llegó a afirmar que, "yo estaba en contra de definir aquello como un síndrome en primer lugar. Ir y decir cada vez que lo ves, es un crimen... Se convirtió en un módo fácil de ir a la cárcel."[89]
Por el contrario, a Teri Covington, que dirige el National Center for Child Death Review Policy and Practice (Centro Nacional para la Política y Práctica de Revisión de la Muerte Infantil), le preocupa que tal preocupación haya llevado a un número creciente de casos de maltrato infantil en los que no se castiga al maltratador.[87]
Adultos
Se ha informado de casos de un síndrome similar en adultos.[90]
Referencias
- ↑ Christian, CW; Block, R; Committee on Child Abuse and, Neglect; American Academy of, Pediatrics (May 2009). «Abusive head trauma in infants and children.». Pediatrics 123 (5): 1409-11. PMID 19403508. doi:10.1542/peds.2009-0408.
- ↑ Parks, SE, Annest JL, Hill HA, and Karch DL (2012). Pediatric Abusive Head Trauma: Recommended Definitions for Public Health Surveillance and Research. Archivado desde el original el 8 de diciembre de 2014.
- ↑ «Non Accidental Head Injury Cases (NAHI, formerly referred to as Shaken Baby Syndrome Prosecution Approach». Archivado desde el original el 6 de diciembre de 2013. Consultado el 7 de octubre de 2015.
- ↑ «Abusive Head Trauma: A New Name for Shaken Baby Syndrome». Archivado desde el original el 3 de noviembre de 2014. Consultado el 7 de octubre de 2015.
- ↑ Menos niños de EE. UU. mueren de traumatismo craneal abusivo, según los CDC
- ↑ «Incidence of Pediatric Abusive Head Trauma». A Train Education. Consultado el 28 de octubre de 2014.
- ↑ Zhang, Yawei (2008). Encyclopedia of Global Health, Volume 1. SAGE Publications. p. 382.
- ↑ «NINDS Shaken Baby Syndrome information page». National Institute of Neurological Disorders and Stroke. 14 de febrero de 2014. Archivado desde el original el 29 de mayo de 2014.
- ↑ B.G.Brogdon,Tor Shwayder,Jamie Elifritz Child Abuse and its Mimics in Skin and Bone
- ↑ a b c «Cuadernos de Medicina Forense - El síndrome del niño sacudido». Consultado el 2009.
- ↑ Levin AV (November 2010). «Retinal hemorrhage in abusive head trauma». Pediatrics 126 (5): 961-70. PMID 20921069. doi:10.1542/peds.2010-1220.
- ↑ Kempe CH, Silverman FN, Steele BF, Droegemueller W, Silver HK (July 1962). «The battered-child syndrome». JAMA 181: 17-24. PMID 14455086. doi:10.1001/jama.1962.03050270019004.
- ↑ Caffey, John (agosto de 1972). «On the theory and Practice of Shaking Infants». American Journal of Diseases of Children (124(2)): 161-169.
- ↑ a b c d e «Shaken Baby Syndrome». Journal of Forensic Nursing. Consultado el 27 de abril de 2011.
- ↑ Types of brain injury: Shaken baby syndrome. Brain Injury Association of America. Retrieved on September 24, 2007.
- ↑ a b «Copia archivada». Archivado desde el original el 3 de marzo de 2016. Consultado el 4 de enero de 2009.
- ↑ a b http://www.ncbi.nlm.nih.gov/pubmed/23568702
- ↑ a b c d e f g h i American Academy of Pediatrics: Committee on Child Abuse and Neglect (July 2001). «Shaken baby syndrome: rotational cranial injuries-technical report». Pediatrics 108 (1): 206-10. PMID 11433079. doi:10.1542/peds.108.1.206.
- ↑ a b c d Oral R (August 2003). «Intentional head trauma in infants: Shaken baby syndrome» (Archived). Virtual Children's Hospital. Archivado desde el original el 14 de febrero de 2005. Consultado el 9 de octubre de 2006.
- ↑ Vitreoretinal traction is a major factor in causing the haemorrhagic retinopathy of abusive head injury? – No Eye, Clarke M.P.
- ↑ Post Mortem Findings
- ↑ The Royal College of Pathologists. Report Of A Meeting On The Pathology Of Traumatic Head Injury In Children. Archivado desde el original el 2 de junio de 2013.
- ↑ Findley KA, Barnes PD, Moran DA, Squier W (30 de abril de 2012). «Shaken Baby Syndrome, Abusive Head Trauma, and Actual Innocence: Getting It Right». Houston Journal of Health Law and Policy.
- ↑ Squier W. «"Shaken Baby Syndrome" and Forensic Pathology». Forensic Science , Medicine and Pathology 10 (2): 248-250. doi:10.1007/s12024-014-9533-z.
- ↑ Bandak FA (2005). Shaken Baby Syndrome: A biomechanical analysis of injury mechanisms 151. pp. 71-79.
- ↑ Margulies S; Prange M; Myers BS et al. (December 2006). «Shaken baby syndrome: a flawed biomechanical analysis». Forensic Science International 164 (2–3): 278-9; author reply 282-3. PMID 16436323. doi:10.1016/j.forsciint.2005.12.018.
- ↑ Rangarajan N, Shams T (December 2006). «Re: shaken baby syndrome: a biomechanics analysis of injury mechanisms». Forensic Science International 164 (2–3): 280-1; author reply 282-3. PMID 16497461. doi:10.1016/j.forsciint.2005.12.017.
- ↑ Bandak F (December 2006). «Response to the Letter to the Editor». Forensic Science International 157 (1): 282-3. doi:10.1016/j.forsciint.2006.01.001. which refers to
Margulies S; Prange M; Myers BS et al. (December 2006). «Shaken baby syndrome: a flawed biomechanical analysis». Forensic Science International 164 (2–3): 278-9; author reply 282-3. PMID 16436323. doi:10.1016/j.forsciint.2005.12.018. - ↑ http://link.springer.com/article/10.1007/s12024-014-9540-0 “Shaken baby syndrome” and forensic pathology Forensic Science, Medicine, and Pathology June 2014, Volume 10, Issue 2, pp 253-255
- ↑ «‘Shaken Baby Syndrome’ – a response by Dr Waney Squier Family Law Week 2010». Archivado desde el original el 26 de octubre de 2014. Consultado el 9 de octubre de 2015.
- ↑ a b http://globalwrong.files.wordpress.com/2013/01/guthkelch-an-preface-to-narang-hous-j-health-law-poly-2012.pdf
- ↑ 'Executive Summary of the Third National Conference on Shaken Baby Syndrome' Archivado el 23 de enero de 2015 en Wayback Machine., p. 2
- ↑ «Shaken Baby Syndrome Resources». American Academy of Ophthalmology. Archivado desde el original el 1 de octubre de 2006.
- ↑ Togioka BM, Arnold MA, Bathurst MA, etal (2009). «Retinal hemorrhages and shaken baby syndrome: an evidence-based review». J Emerg Med 37: 98-106. doi:10.1016/j.jemermed.2008.06.022.
- ↑ Minns RA, Busuttil A (March 2004). «Patterns of presentation of the shaken baby syndrome: Four types of inflicted brain injury predominate». BMJ 328 (7442): 766. PMC 381336. PMID 15044297. doi:10.1136/bmj.328.7442.766.
- ↑ Clemetson CAB (July 2004). «Capillary Fragility as a Cause of Substantial Hemorrhage in Infants» (PDF). Medical Hypotheses and Research 1 (2/3): 121-129. Archivado desde el original el 4 de marzo de 2009. Consultado el 19 de mayo de 2009.
- ↑ Johnston, C.S. (1996). «Chapter 10) The Antihistamine Action of Ascorbic Acid». Ascorbic Acid; Biochemistry and Biomedical Cell Biology 25. Plenum Press. p. 189. ISBN 978-0-306-45148-5.
- ↑ Majno G, Palade GE, Schoefl GI (December 1961). «STUDIES ON INFLAMMATION : II. The Site of Action of Histamine and Serotonin along the Vascular Tree: A Topographic Study». The Journal of Biophysical and Biochemical Cytology 11 (3): 607-26. PMC 2225127. PMID 14468625. doi:10.1083/jcb.11.3.607.
- ↑ Fung EL, Nelson EA (December 2004). «Could Vitamin C deficiency have a role in shaken baby syndrome?». Pediatrics International 46 (6): 753-5. PMID 15660885. doi:10.1111/j.1442-200x.2004.01977.x.
- ↑ Dettman G (March 1978). «Factor "X", sub-clinical scurvy and S.I.D.S. Historical. Part 1». The Australasian Nurses Journal 7 (7): 2-5. PMID 418769.
- ↑ Kalokerinos A, Dettman G (July 1976). «Sudden death in infancy syndrome in Western Australia». The Medical Journal of Australia 2 (1): 31-2. PMID 979792.
- ↑ Institute of Medicine (IOM) (1991). «Chapter 6) Evidence Concerning Pertussis Vaccines and Other Illnesses and Conditions -- Protracted Inconsolable Crying and Screaming». Adverse Effects of Pertussis and Rubella Vaccines. The National Academies Press. p. 165. ISBN 0-309-04499-5.
- ↑ Lee RV (1983). «Scurvy: a contemporary historical perspective». Connecticut Medicine 47 (10): 629-32, 703-4. PMID 6354581.
- ↑ Weinstein M, Babyn Phil, Zlotkin S (2001). «An Orange a Day Keeps the Doctor Away: Scurvy in the Year 2000». Pediatrics 108 (3): e55. PMID 11533373. doi:10.1542/peds.108.3.e55.
- ↑ Rajakumar K (2001). «Infantile Scurvy: A Historical Perspective». Pediatrics 108 (4): e76. PMID 11581484. doi:10.1542/peds.108.4.e76.
- ↑ Pinto, F. C.; et al. (dec 2003). «hemophilia and child abuse as possible causes of epidural hematoma: case report». arquivos de neuro-psiquiatria (61(4)): 1023-5.
- ↑ Laposata, Mixhael (2005). «Shaken Baby Syndrome Case Study» (pdf) (en inglés). truthinjustice. Archivado desde el original el 4 de marzo de 2016. Consultado el 13 de octubre de 2015.
- ↑ Carrega-Woodby, Christina (7 de junio de 2015). «Dad jailed for infant's death insists meningitis, not shaken baby syndrome, killed daughter». New York Daily News.
- ↑ CabrerizodeDiago, R (2005). «Shaken baby syndrome and osteogeneis imperfecta». revistadeneurología.
- ↑ Barnes, Patrick D.; et al. (2010). «Infant acute life-threatening event--dysphagic choking versus nonaccidental injury». PubMed.gov: 5.
- ↑ Looney CB; Smith JK; Merck LH et al. (February 2007). «Intracranial hemorrhage in asymptomatic neonates: prevalence on MR images and relationship to obstetric and neonatal risk factors». Radiology 242 (2): 535-41. PMID 17179400. doi:10.1148/radiol.2422060133.
- ↑ Squier, Waney; Mack, Julie (9 de febrero de 2009). «The neuropathology of infant subdural haemorrhage». Forensic Science International 187: 6-13. doi:10.1016/j.forsciint.2009.02.005.
- ↑ Rooks, Veronica; et al. (3 de abril de 2008). «Prevalence and Evolution of Intracranial Hemorrhage in Asymptomatic term infants». American Journal of Neuroradiology 28: 1082-1089. doi:10.3174/ajnr.A1004.
- ↑ Greenes, D.S.; Schutzman, S.A. (sept de 1997). «Infants with isolated skull fracture: what are their clinical characteristics, and do they require hospitalization?». Annals of emergency medicine (30(3)): 253-9.
- ↑ Yamell, P.; Ommaya, A. K. (enero de 1969). «Experimental cerebral concussion in the rhesus monkey». Bulletin of the New York Academy of Medicine. 45(1): 39-45.
- ↑ American Academy of Pediatrics: Committee on Child Abuse and Neglect (July de 2001). «Shaken baby syndrome: Rotational cranial injuries. Technical report». Pediatrics 108 (1): 206-10. PMID 11433079.
- ↑ Duhaime, Ann-Christine; et al. (1987). «The shaken baby syndrome: a clinical, pathological, and biomechanical study». Journal of Neurosurgery 112 (2): 409-415.
- ↑ Geddes, J.F.; Plunkett, J. (27-IV-2004). «The evidence base for shaken baby syndrome; We need to question the diagnostic criteria». British Medical Journal (328(7442)): 719-720.
- ↑ Julio (15 de abril de 2020). «sabersobresbs: la base de evidencias para el síndrome del bebé sacudido». sabersobresbs. Consultado el 19 de abril de 2020.
- ↑ Bandak, Faris A. (30 de mayo de 2005). «Shaken baby syndrome: a biomechanics analysis of injury mechanims». Forensic Science International 151 (1): 71-79. doi:10.1016/j.forsciint.2005.02.033. Consultado el Shaken baby syndrome: a biomechanics analysis of injury mechanims.
- ↑ Borland, Sophie (29 de enero de 2012). «Is a rise in rickets being mistaked for chil abuse? Parents being wrongly accused because of vitamin D deficiency». Daily Mail.
- ↑ Guthkelch, Norman (2012). «Problems of Infant Retino-Dural Hemorraghe with Minimal External Injury». Houston Journal of Health Law & Policy 12: 201-208.
- ↑ Julio (15 de abril de 2020). «sabersobresbs: Problemas de hemorragia retino-dural infantil con lesión externa mínima». sabersobresbs. Consultado el 24 de abril de 2020.
- ↑ Wrenall, Lynne; Bache, Bill; Pragnell, Charles; Cohen, Marta (2015). «Carta Abierta sobre el Síndrome del Bebé Sacudido y los Tribunales: Una premisa falsa y defectuosa». carta al editor. revista electrónica de autopsias. Archivado desde el original el 8 de abril de 2016. Consultado el 7 de marzo de 2016.
- ↑ Editorial (1/VIII/1998). «Shaken babies». The Lancet 352 (9125): 335.
- ↑ a b Julio (15 de abril de 2020). «sabersobresbs: La Fiscalía de la Corona publica una orientación sobre casos de traumatismo craneal no accidentar que impliquen a niños». sabersobresbs. Consultado el 24 de abril de 2020.
- ↑ Tuerkheimer, Deborah (2014). Flawed Convictions; the "Shaken Baby Syndrome" and the Inertie of the Injustice. Oxfor University Press. p. 17-27. ISBN http://www.thelancet.com/pdfs/journals/lancet/PIIS0140-6736%2898%2921031-2.pdf
|isbn=incorrecto (ayuda). - ↑ Svalavitz, Maia (17 de enero de 2012). «The Shaky Science of Shaken Baby Syndrom». Time.com. Healthlandtime.com.
- ↑ a b c d e De Leeuw M, Jacobs W (2007). «Shaken baby syndrome: The classical clinical triad is still valid in recent court rulings». Critical Care 11 (Supplement 2): 416. doi:10.1186/cc5576. Archivado desde el original el 15 de junio de 2011. Consultado el 9 de octubre de 2015.
- ↑ «Shaken baby convictions overturned». Special Reports (Guardian Unlimited). 21 de julio de 2005. Consultado el 15 de octubre de 2006.
- ↑ Crown Prosecution Service. «CPS published guidance to Non-Accidental Head Injury cases involving infants» (en inglés). gobierno del Reino Unido. Archivado desde el original el 18 de noviembre de 2016. Consultado el 16 de octubre de 2015.
- ↑ «Court of Appeals decision - State of Wisconsin v. Audrey A. Edmonds». Wisconsin Court Opinions (Findlaw). 31 de enero de 2008. Consultado el 25 de septiembre de 2009.
- ↑ «Keith A. Findley Co‐Director, Wisconsin Innocence Project Clinical Professor, University of Wisconsin Law School Litigating Postconviction Challenges to Shaken Baby Syndrome Convictions». Archivado desde el original el 15 de diciembre de 2014. Consultado el 11 de octubre de 2015.
- ↑ Bazelon, Emily (2--2-2011). «Shaken-Baby Syndrome Faces New Questions in Court». The New York Times Magazine.
- ↑ Ebbs, Donald A.; Pollanen, Michel; et al. (4 de marzo de 2011). «Shaken Baby Death Review». informe para el fiscal general de Ontario.
- ↑ Scroeder, Lauryn; et al. (20 de marzo de 2015). «The unsettled science of shaken baby syndrome». The Washington Post.
- ↑ Levin, Angela (1 de mayo de 2011). «At least half of all parents tried over shaken baby syndrome have been wrongly convicted, experter warns». Daily Mail.
- ↑ Campbell, Denis (21 de marzo de 2016). «Doctor who denies shaken baby syndrome struck off». The Guardian.
- ↑ Booth, Robert (11 de marzo de 2016). «Doctor who doubted shaken baby syndrome mislead courts, panel rules». The Guardian.
- ↑ Squier, Wayne (25 de abril de 2014). «Sacudiendo el "Síndrome del Bebé Sacudido"». project syndicat.
- ↑ Armstrong, Sue; Squier, Waney (10 de octubre de 2010). «Conversations with Pathologist. Waney Squier, full transcript». Conversations with Pathologist (en inglés). Pathological Society of Great Britain and Ireland. Archivado desde el original el 15 de septiembre de 2016. Consultado el 23 de agosto de 2016.
- ↑ Julio (15 de abril de 2020). «sabersobresbs: Entrevista con Waney Squier». sabersobresbs. Consultado el 24 de abril de 2020.
- ↑ Squier, Waney (Junio/2011). «The triad of retinal haemorrhage, subdural haemorrhage and encephalopathy in an infant unassociated with evidence of physical injury is not the result of shaking, but is most likely to have been caused by a natural disease». Journal of Primary Health Care 3 (2): 159-161.
- ↑ Julio (15 de abril de 2020). «sabersobresbs: Opinión de la doctora Waney Squier». sabersobresbs. Consultado el 24 de abril de 2020.
- ↑ Squier, Waney (9/04/201o). «'Shaken baby Syndrome'. A response by Dr Waney Squier». Family Law Week. Archivado desde el original el 26 de octubre de 2014. Consultado el 9 de octubre de 2015.
- ↑ Julio (15 de abril de 2020). «sabersobresbs: respuesta de la drª. Waney Squier». sabersobresbs. Consultado el 24 de abril de 2020.
- ↑ a b http://www.npr.org/2011/06/29/137471992/rethinking-shaken-baby-syndrome
- ↑ http://onsbs.com/2014/08/20/conversations-with-dr-a-norman-guthkelch/
- ↑ «The Nanny Murder Trial: Retro Report Voices: The Lawyer». New York Times. Consultado el 14 de septiembre de 2015.
- ↑ Carrigan, T D. «Domestic Violence: The Shaken Adult Syndrome». Journal of Accident and Emergency Medicine. Consultado el 26 de septiembre de 2013.
