Calcinosis estriopalidodentada bilateral
| Síndrome de Fahr | ||
|---|---|---|
![]() | ||
| Especialidad | neurología | |
| Sinónimos | ||
| BSPDC; Ferrocalcinosis cerebrovascular; Calcificación idiopática de los ganglios basales; PFBC; Calcificación cerebral familiar primaria | ||
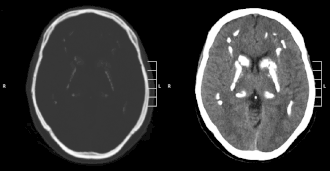
Descrito por primera vez en 1951, el síndrome de Fahr también conocido como ferrocalcinosis cerebro vascular, calcinosis de los núcleos del cerebro es una enfermedad que se presenta por calcificaciones masivas de núcleos de masa gris central, sin haber anomalía alguna en el metabolismo del calcio. Paralelamente, aparecen signos neurodegenerativos.

El inicio de los signos neurodegenerativos aparece de los 30 a 40 años de edad, aunque han sido descritos casos juveniles. Estos signos son variados:
- Síndrome parkinsoniano
- Problemas de la marcha
- Ataxia cerebelosa
- Demencia[1]
La constatación de las calcificaciones de la masa gris central es frecuente en muchas enfermedades. Cerca del 1 por ciento de los escáneres cerebrales muestran la presencia de calcificaciones de núcleos de masa gris central sobre todo después de los 60 años.[cita requerida] Esta constatación no se acompaña de un aumento de patología neurológia en estas personas.
Referencias
- ↑ Rissardo, JamirPitton; Fornari Caprara, AnaLetícia; Freitas Silveira, JulianaOliveira (2019). «Fahr's disease presenting with pure dementia: A case report and literature review». Apollo Medicine (en inglés) 16 (4): 236. ISSN 0976-0016. doi:10.4103/am.am_54_19. Consultado el 25 de octubre de 2021.
Enlaces externos
- NINDS [1], parte del National Institutes of Health Bethesda, Maryland.
- Imágenes del síndrome de Fahr (MedPix) Archivado el 27 de septiembre de 2007 en Wayback Machine.
- Organización Nacional de Desórdenes Raros (NORD)
- Instituto Nacional de Gerontología (NIA)
- Instituto Nacional de Salud Mental (NIMH)
- En RARe SOURCE
