Resección transuretral
| Resección transuretral | ||
|---|---|---|
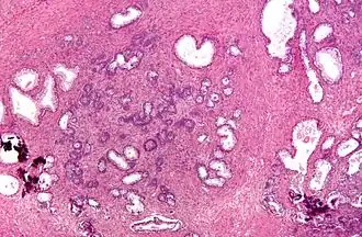
![]() Micrografía de una resección transuretral de la próstata (TURP), mostrando ―a la izquierda del centro de la imagen― una BPH (hiperplasia nodular de la próstata). | ||
La resección transuretral (RTU) es una intervención quirúrgica urológica que consiste en la extirpación de tejidos enfermos de uretra, próstata y vejiga accediendo a ellos a través de la luz uretral con un aparato endoscópico llamado resectoscopio.
Existen múltiples enfermedades que pueden ser intervenidas mediante resección transuretral, siendo las más habituales la hiperplasia benigna de próstata (cuando se quiere tratar la obstrucción urinaria que produce a la vejiga, en la porción prostática de la uretra) o los tumores vesicales (cuando se quiere extirpar o biopsiar una lesión tumoral situada en la mucosa vesical). Otros trastornos tratables con esta intervención son las neoplasias uretrales, el cáncer de próstata, los abscesos prostáticos, el ureterocele o la endometriosis vesical.

Para la resección trasuretral se emplea un resectoscopio o resector; un aparato complejo dotado de una cámara endoscópica, un asa metálica de resección que usa distintas energías (la más empleada es la corriente eléctrica), y un canal de irrigación y drenaje de líquido usado para permitir la visión y trasmitir la energía.

Las primeras resecciones transuretrales modernas fueron realizadas en los años treinta y cuarenta, en los Estados Unidos, con las innovaciones de McCarthy.[1] Utilizaban sistemas solo de irrigación (sin drenaje), con corriente eléctrica monopolar. El líquido conductor era agua destilada, sin embargo, como el agua produce hemólisis, posteriormente se popularizó el uso de líquidos no hemolíticos como el manitol, el sorbitol o la glicina. En los años sesenta se introdujo el sistema de irrigación y aspiración continuas (resector de Iglesias) y posteriormente se introdujeron nuevos refinamientos como la energía eléctrica bipolar, la energía láser, las asas de electrovaporización (vapotrode) y el uso de suero fisiológico (solución de cloruro sódico) como líquido irrigante.
Actualmente es una técnica quirúrgica de ámbito universal en la práctica de la urología, que se realiza con distintos tipos de anestesia (local, locorregional o general) y con estancias hospitalarias cortas o incluso sin hospitalización (cirugía mayor ambulatoria).
No obstante, es una técnica quirúrgica con algunas complicaciones potenciales, como las infecciones urinarias, la hemorragia, la perforación de los órganos intervenidos (uretra, vejiga) o la absorción masiva del líquido de irrigación ―síndrome de la RTU (resección transuretral), hiponatremia dilucional―.[2]
Diferencia entre resección transuretral bipolar y monopolar
| RTU MONOPOLAR[3] | RTU BIPOLAR[4] |
|---|---|
| Líquido de irrigación:
Solución de azúcar (manitol, glicina, solución de Purisole o sorbitol)
Aumenta el riesgo de quemaduras por placas en mal estado o mal instaladas |
Líquido de irrigación:
Solución de Na Cl (sal), lactato de Ringer.
Presenta menor adherencia de fragmentos |
Una revisión del 2019 de 59 estudios, que incluyeron a 8924 hombres con síntomas urinarios debido a hiperplasia prostática benigna, encontró que la RTUP bipolar y monopolar probablemente dan como resultado mejoras comparables en los síntomas urinarios, así como una función eréctil similar. También hallo que la incidencia de incontinencia urinaria y la necesidad de retratamiento son comparables. La cirugía bipolar probablemente reduce el riesgo de síndrome de RTU y la necesidad de transfusión de sangre.[5]
Referencias
- ↑ Fair, W. R. (1991): "Transurethral prostatic electroresection", en Glenn, J. F.: Urologic surgery, pág. 538-572. Filadelfia: J. B. Lippincott Company, cuarta edición, 1991.
- ↑ Fitzpatrick J. M. (2007): "Minimally invasive and endoscopic management of benign prostatic hyperplasia", en Wein: Campbell-Walsh urology. Saunders, novena edición, 2007.
- ↑ Mamoulakis, Charalampos; Trompetter, Marleen; de la Rosette, Jean (2009-01). «Bipolar transurethral resection of the prostate: the ‘golden standard’ reclaims its leading position». Current Opinion in Urology 19 (1): 26-32. ISSN 0963-0643. doi:10.1097/mou.0b013e328320a61a. Consultado el 26 de octubre de 2020.
- ↑ Rosette, Jean J.M.C.H. de la; Rassweiler, Jens J. (2008-09). «Bipolar TURP Treatment for BPH Refractory to Medication: The Past, Present, and Future Surgical Reference Standard». Journal of Endourology 22 (9): 2111-2112. ISSN 0892-7790. doi:10.1089/end.2008.9733. Consultado el 26 de octubre de 2020.
- ↑ Jung, Jae Hung; McCutcheon, Karen Ann; Borofsky, Michael; Young, Shamar; Golzarian, Jafar; Reddy, Balaji; Shin, Tae Young; Kim, Myung Ha et al. (19 de diciembre de 2020). «Prostatic arterial embolization for the treatment of lower urinary tract symptoms in men with benign prostatic hyperplasia». Cochrane Database of Systematic Reviews. ISSN 1465-1858. doi:10.1002/14651858.cd012867.pub2. Consultado el 15 de marzo de 2021.
