Quiste branquial
| Quiste branquial | ||
|---|---|---|
![]() Fistulografía: la flecha amarilla indica el trayecto del contraste que rellena la fístula | ||
| Especialidad | genética médica | |
| Tratamiento | Escisión quirúrgica | |
| Sinónimos | ||
|
Branquioma, Quiste branquiógeno | ||
El quiste branquial es un trastorno congénito, caracterizado por la aparición de un nódulo o masa en el cuello de forma ovalada, movible y aparece justo por debajo de la piel entre el músculo esternocleidomastoideo y la faringe. En la mayoría de los casos tiene su origen en el segundo arco branquial y por esa razón aparece en la cara lateral del cuello. Por lo general su aparición es en la edad preescolar después de una infección del tracto respiratorio superior. El diagnóstico se realizará mediante palpación del quiste y exámenes complementarios (TC o PAAF). El tratamiento es la extirpación completa quirúrgica, pues no se reduce con medicamentos.[1]
Patogenia
Los quistes branquiales aparecen por un desarrollo anormal del aparato faríngeo embrionario por falla de la completa obliteración del segundo arco branquial.[2] Suelen ser quistes cerrados, aunque en ocasiones pueden venir acompañados de una fístula, es decir, un conducto que abre cerca de la amígdala del mismo lado o en la piel del cuello.[3] Los quistes branquiales son estructuras benignas y solo en raras ocasiones se asocian a alguna forma de cáncer.
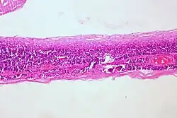
Anatomía patológica
.jpg)
Son lesiones benignas de crecimiento lento y están bien delimitadas. Su diámetro suele oscilar entre los 2 o 5 centímetros. La mayoría están revestidos por epitelio cilíndrico estratificado escamoso o seudoestratificado. Es característico la presencia de tejido linfoide con centros germinales prominentes en las paredes fibrosas del quiste. Respecto al contenido del mismo puede ser claro y acuoso o mucinoso, asimismo podría contener células descamadas y restos celulares granulares.[4]
Cuadro clínico
La mayoría de los quistes branquiales cursan sin sintomatología, es decir, no suelen ser dolorosos ni tienden a interrumpir la movilidad del cuello ni la deglución. Ocasionalmente se pueden infectar, especialmente si persiste una fístula. La masa es esférica, alargada y móvil en la cara lateral del cuello, justo por debajo de la mandíbula, en cualquier punto a lo largo del músculo esternocleidomastoideo, más comúnmente entre el tercio medio y el tercio inferior del músculo.[3]
En los casos que aparezca una fístula, se ven pequeños hoyuelos o depresiones en la piel en cualquier lado del cuello o justo debajo de la clavícula con líquido que puede drenar del hoyuelo.[5]
Diagnóstico
El diagnóstico comenzará con la palpación cervical del quiste, que mostrará una consistencia elástica y móvil. En el caso de que el paciente haya sufrido procesos infecciosos previos la tumoración será más dura debido a la fibrosis.[6]
La TC y la punción-aspiración con aguja fina (PAAF) son las exploraciones complementarias más útiles. En aquellos supuestos en los que exista una fístula externa, la realización de una fistulografía con contraste resultará conveniente para mostrar el recorrido fistuloso.[6]
Tratamiento
El tratamiento de un quiste branquial consiste en la resección quirúrgica y completa del quiste, aunque se han dado casos en los que un tratamiento combinado de antibióticos y cortisona, han hecho reducir y desaparecer el quiste. Aunque son quistes por lo general benignos, el quiste tiende a ser confundido con un tumor maligno de las glándulas salivales, por lo que en ocasiones se indica una aspiración de su contenido con una aguja fina. El manejo quirúrgico requiere la escisión del quiste, así como sus conductos y ramificaciones, de existir. No es probable ver recurrencias después de la operación. Con frecuencia se indican antibióticos, en especial si hay signos de una infección. La función tiroidea no se ve afectada por un quiste branquial.
Véase también
Enlaces externos
Referencias
- ↑ Jorge Basterra Alegría Otorrinolaringología y Patología Cervicofacial (en español). Publicado por Elsevier España, 2004; pág 400. ISBN 84-458-1328-5
- ↑ Altuna Mariezkurrena Xavier y col. Quiste branquial. A propósito de dos casos (en español). Gac Med Bilbao 2005; 102(4):92-94. Consultado el 24 de febrero de 2009.
- ↑ a b Keith L. Moore, T. V. N. Persaud, Concepcion Martinez Alvarez EMBRIOLOGIA CLINICA (en español). Publicado por Elsevier España, 2004; pág 212. ISBN 84-8174-725-4
- ↑ Kumar, Vinay; Abbas, Abul K.; Aster, Jon C. (2020). «16». Robbins & Cotran. Pathologic Basis of Disease [Robbins y Cotran. Patología estructural y funcional] (en inglés) (10.ª edición). Elsevier. p. 745. ISBN 9780323531139.
- ↑ por MedlinePlus (octubre de 2007). «Quiste branquiógeno». Enciclopedia médica en español. Consultado el 24 de febrero de 2009.
- ↑ a b Basterra Alegría, Jorge (2015). «46». Otorrinolaringología y patología cervicofacial (2.ª edición). Elsevier. pp. 341-346. ISBN 9788445825969.
