Pseudoquiste pancreático

Pseudoquiste pancreático se conoce como al proceso que se desarrollan dentro del páncreas o sobre el mismo y dentro de los cuales, se albergan colecciones de secreciones pancreáticas o materia semisólida producto de la destrucción tisular.[1] La Clasificación de Atlanta para pancreatitis aguda describe como pseudoquiste pancreático a la colección de fluidos pancreático a nivel peripancreático y/o intraparenquimatoso(2), usualmente después de cuatro semanas(1). A diferencia de los quistes verdaderos, no se encuentran contenidos en un saco cerrado cubierto por epitelio, sino que están rodeados únicamente por capas de tejido fibroso(1)(3). El pseudoquiste pancreático puede drenar las secreciones al conducto pancreático primario, o incluso a secundarios, por “ductos” formados a través del parénquima del páncreas(2).
Etiología
Los pseudoquistes pancreáticos pueden ser causado por variedad de procesos, sin embargo, la causa más común son las pancreatitis, siendo las crónicas más frecuentes que las agudas y aún más frecuentes las causadas por abuso de bebidas alcohólicas(2)(3). Otras causas que pueden desencadenar un pseudoquiste son(3): •Trauma •Obstrucción de los conductos pancreáticos por litos, agregación de proteínas o fibrosis del tejido adyacente •Necrosis del parénquima pancreático •Obstrucción de la vía biliar
Factores de riesgo
- Pancreatitis crónica
- Antecedentes de enfermedades de la vía biliar
- Trauma
- Alcoholismo
Clínica
La clínica de un pseudoquiste puede variar mucho de un paciente a otro y existen casos en los que el mismo puede pasar desapercibido hasta su hallazgo incidental. No obstante, como se menciona anteriormente, la causa más frecuente de este proceso son las pancreatitis, y es por esta razón que las manifestaciones clínicas pueden ser realmente similares a las de dicho proceso. En estos pacientes los sintomáticos más frecuentes son dolor abdominal, náuseas, vómitos y anorexia. Es común encontrar masas en el abdomen que podrían ser resultado de la pancreatitis(2)(3).
Diagnóstico
El diagnóstico de esta entidad requiere empezar por una buena historia clínica donde se describan las características del dolor, antecedentes de pancreatitis, uso de alcohol y antecedentes traumáticos que hayan podido lesionar el páncreas. Debe pensarse en la posibilidad de pesudoquistes pancreáticos ante la persistencia de un dolor abdominal persistente o una masa abdominal posterior a un episodio de pancreatitis(2). No obstante, muchas de estas lesiones, representan hallazgos incidentales al realizar estudios de imagen, en ocasiones, estudiando otras patologías(2)(3).
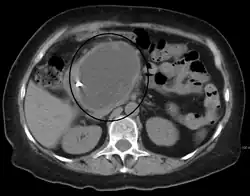
TAC
Características tomográficas
- Engrosamiento de las paredes
- Colección de líquidos
- Formación cercana o dentro del páncreas
- Redondeado
Cuando existen características tomográficas de pseudoquistosis pancreática en conjunto con antecedentes de pancreatitis alcohólica, pancreatitis crónica o trauma abdominal, no es necesario realizar la confirmación del diagnóstico por otros medios(3). Es importante recalcar que un TAC no permite realizar una diferenciación franca entre un pseudoquiste y una lesión quística pancreática(3).
Ultrasonografía
Características ultrasonográficas
- Forma ovalada o redondeada
- Bordes definidos y suaves
- Estructura ecoica
La sensibilidad de este estudio se puede ver afectada por acumulación de gases en estructuras adyacentes debido a obstrucción intestinal.
Ultrasonografía endoscópica
Es de gran ayuda para guiar el stent a la hora de drenar un pseudoquiste e incluso puede tomar muestras de las colecciones por medio de aspiración por aguja fina(3). El método por excelencia para confirmar este diagnóstico es el ultrasonido endoscópico, el cual nos permite diferenciar un pseudoquiste pancreático de otras lesiones quísticas.
Laboratorios
Los indicadores sanguíneos de daño hepático o pancreático como la amilasa, no son de gran utilidad debido a que no muestran niveles característicos para esta patología. Por otra parte, los niveles altos de amilasas y lipasas en contraste con un nivel bajo de antígeno carcinoembrionario (CEA) y de antígeno carbohidrato (CA-125) presentan una utilidad moderada a la hora de diferenciar un pseudoquiste de un quiste mucinoso pancreático(3).
Clasificación
La escala de D’Egidio y Schein clasifica los pseudoquistes pancreático en tres tipos según la etiología de fondo, la anatomía ductal y la comunicación o no del conducto pancreático con el quiste(2)(6)
- Tipo 1: pseudouistes agudos postnecrosis, que se presentan después de un episodio de pancreatitis aguda. Se asocian a anatomía ductal normal y no suelen comunicarse con el conducto pancreático.
- Tipo 2: ocurren después de un episodio de pancreatitis. Generalmente hay comunicación entre el conducto y el pseudoquiste
- Tipo 3: ocurren después de pancreatitis crónica y están asociados a un conducto escrecho que se comunica con el pseudoquiste. Se les conoce también como quistes de retención.
La importancia de esta clasificación radica en la selección del abordaje terapéutico(2).
Diagnósticos diferenciales
Las manifestaciones iniciales (dolor abdominal, náuseas, vómitos y anorexia) son bastante comunes en otras patologías. Es por esto que existe gran variedad de patologías en las que podríamos pensar a la hora de realizar el diagnóstico, entre ellas:
- Úlcera péptica
- Obstrucción intestinal
- Colelitiasis
- Neoplasias quísticas del páncreas
Tratamiento
En cuanto al manejo de esta entidad, debe tenerse claro que va depender de las manifestaciones y de la clasificación de la misma. Muchas guías han establecido que los quistes de más de 6 cm de diámetro deben de ser drenados debido a su menor índice de resolución espontánea. No obstante, se considera que hay factores como el dolor, la posibilidad de obstrucción intestinal, biliar o gástrica, infecciones y/o sangrado e incluso la presencia de ascitis, que son más importantes a la hora de decidir el curso de acción(2). En pacientes asintomáticos, se ha descrito la posibilidad de resolución espontánea con soporte de medidas terapéuticas conservadoras, entre las cuales podemos mencionar el uso de analgésicos y/o antieméticos acompañados de una dieta baja en grasas. Se recomienda drenar el pseudoquiste en aquellos casos en que persisten síntomas como dolor y fiebre o con datos de ascitis y/o efusión pleural, los pacientes que presentan infección, hemorragias o crecimiento del quiste en imágenes seriadas, cuando hay riesgo de obstrucción intestinal o compresión de estructuras como grandes vasos, se recomienda drenar el quiste ya sea de forma quirúrgica, endoscópica o percutánea(3).
Drenaje percutáneo
Esta alternativa a las cirugías es muy segura y exitosa drenando pseudoquistes, sin embargo presenta alto riesgo de infección y está contraindicado en aquellos pacientes que presenten material sanguinolento o sólido o que tengan un ducto pancreático estrecho.
Drenaje endoscópico
Esta técnica se ha convertido en la primera elección debido a que es menos invasiva que la cirugía, no requiere de un drenaje externo y presenta un alto porcentaje de éxito a largo plazo.
Drenaje quirúrgico
Se logra al formar una comunicación entre el ducto pancreático y el estómago o el intestino delgado. Se reserva generalmente para aquellos pacientes en los que los procedimientos anteriores han fallado o que no los toleran por alguna circunstancia. Tiene una tasa de éxito muy similar a la variante endoscópica, teniendo como diferencia que acarrea una mayor morbilidad.
Bibliografía
Referencias
- Acute Pancreatitis Classification Working Group. (2012). Classification of acute pancreatitis—2012: revision of the Atlanta classification and definitions by international consensus. Gut Journal (62), 102-111.
- Gutiérrez, S. R. (2014). Pseudoquiste pancreático. Revista Médica de Costa Rica y Centroamérica (610), 313-316.
- DynaMed. (14 de julio de 2015). EBSCO Industries Inc. Recuperado el 26 de octubre de 2015, de DynaMed: https://web.b.ebscohost.com/dynamed/detail?sid=950e7533-1e29-441a-bfa3-354e55a43f61%40sessionmgr110&vid=4&hid=105&bdata=JnNpdGU9ZHluYW1lZC1saXZlJnNjb3BlPXNpdGU%3d#AN=114770&db=dme (enlace roto disponible en Internet Archive; véase el historial, la primera versión y la última).
- Sarr, M. G. (2012). 2012 Revision of the Atlanta Classi cation of acute pancreatitis . POLSKIE ARCHIWUM MEDYCYNY WEWNĘTRZNEJ (123), 118-124.
- García, J. I., & Muñoz, J. E. (2009). Quistes de páncreas. Revista española de enfermedades digestivas , 101 (6), 438.
- Iglesias, M. J. (2008). Comportamiento del pseudoquiste pancreático en el Hospital Universitario General Calixto García Iñiguez. La Habana: Instituto Superior de Ciencias Médicas de la Habana.
- Zerem, E., Imamović, G., & Omerović, S. (2012). What is the optimal treatment for pancreatic pseudocysts? . Scandinavian Journal of Gastroenterology (47), 124-125.
Referencias
- ↑ (5)