Nevo azul
| Nevo azul | ||
|---|---|---|
|
| ||
| Especialidad |
oncología dermatología | |
Un nevo azul[1] (también llamado nevo cerúleo, nevo de Jadassohn) es una pequeña mancha o pápula pigmentada adquirida, de bordes definidos, que está constituida por acúmulos de células névicas cargadas de melanina. De naturaleza benigna y consistencia firme, se diferencia del nevo melanocítico, más común (lunar), por ser de color gris o azul oscuro, debido a su localización dérmica. Pueden localizarse en cualquier zona del cuerpo, aunque es más frecuente en dorso de manos y pies.[2]
Epidemiología
Aparecen con igual frecuencia en ambos sexos, pero algo más tarde (al final de la adolescencia) que los nevos melanocíticos.
Cuadro clínico
Es de aparición gradual y asintomática. Suele tener menos de 10 milímetros de diámetro y en ocasiones presenta una pigmentación en diana (más claro en el centro). Suele permanecer sin cambios a lo largo de la vida del individuo, aunque a veces remiten espontáneamente.
Diagnóstico diferencial
Debe hacerse un diagnóstico correcto, diferenciándolo de otras lesiones dérmicas similares como el dermatofibroma o el tumor glómico.
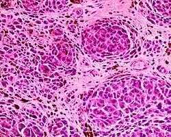
-
Imagen histológica de un nevo azul celular (2x) -
Nevo azul -
Nevo azul epitelioide (10x) -
Forma maligna de un nevo azul. Todos los cortes histológicos están en la tinción hematoxilina-eosina.
Tratamiento
Al igual que los lunares comunes solo precisan ser extirpados si se produce en ellos algún cambio sugestivo de malignización.
Referencias
- ↑ Real Academia Nacional de Medicina. «nevo azul». dtme.ranm.es. Consultado el 17 de febrero de 2023.
- ↑ A. Osioa; M. Battistella: Le nævus bleu et ses variantes. Blue naevi and variants. Annales de Dermatologie et de Vénéréologie, Volume 139, Issue 10, October 2012, Pages 677–680
Bibliografía
- Fitzpatrick TB, Johnson RA. (1994, 2ª ed.). Atlas de Dermatología Clínica. Mc. Graw-Hill. Interamericana, Madrid. ISBN 968-25-2046-0.