Alveolitis alérgica extrínseca

Alveolitis alérgica extrínseca

Esta es una fotomicrografía a gran aumento de una biopsia pulmonar (tinción hematoxilina-eosina). Muestra una moderada expansión de los tabiques alveolares (intersticio) debida a linfocitos. Una célula gigante multinucleada, vista dentro del intersticio a la derecha de la imagen medio camino hacia abajo, es una pista importante hacia el diagnóstico.
Especialidad neumología
Síntomas Disnea , fiebre, escalofríos, tos, fatiga, pérdida de peso.
Tipos Aguda, Subaguda, Crónica o Fibrótica vs. No Fibrótica
Causas Variedad de antígenos respirables que se encuentran en la agricultura, el procesamiento de alimentos, el manejo de animales y diferentes entornos laborales
Tratamiento Evitar exposición a antígenos y en algunos casos corticoides

La alveolitis alérgica o neumonitis por hipersensibilidad, es un síndrome que comprende un grupo de enfermedades, caracterizado por la respuesta pulmonar a la inhalación repetida de una variedad de polvos orgánicos u hongos, causando una respuesta inmunitaria. Existen tres formas clínicas: aguda, subaguda y crónica.[1][2]

Causas de la alveolitis alérgica extrínseca

La alveolitis alérgica extrínseca (AAE), también llamada neumonitis por hipersensibilidad, son un conjunto de enfermedades pulmonares difusas en las que la reacción inmunitaria y la respuesta de los tejidos, ocurren en el bronquiolo terminal, alvéolo o intersticio pulmonar, respetando las vías aéreas de mayor calibre. La AAE cursa con inflamación de estas estructuras junto con la formación de granulomas y pueden evolucionar hacia la fibrosis pulmonar. No pertenecen a las neumonitis por hipersensibilidad el asma bronquial desencadenado por hipersensibilidad a sustancias orgánicas.

En la mayoría de los casos la AAE es una enfermedad profesional o está relacionada con el ambiente en el que se desenvuelve el enfermo. Los trabajadores expuestos a las sustancias que provocan neumonitis por hipersensibilidad tras su exposición realizan actividades en las industrias de cinco clases de productos principales como:

  1. Proteínas séricas y excrementos: excrementos de aves, proteínas de la orina de ratas, abonos para setas (Termoactinomyces, bacterias y protozoos).
  2. Paja y cereales: caña de azúcar, corcho, serrín y heno enmohecidos, esparto, cebada y malta enmohecidos, trigo y otros cereales, polvo de grano de café, techos de paja (todos ellos contaminados por hongos).
  3. Maderas: pulpa de madera enmohecida (Alternaria), corteza de arce húmeda.
  4. Alimentos y pieles: mohos de queso, harina de pescado, polvo de las pieles de astracán y zorro.
  5. Enzimas industriales, sistemas de aire acondicionado e isocianatos: detergentes enzimáticos (Bacillus subtilis), polvo de pimentón (Mucor), aerosoles de agua contaminada (hongos), partículas de acondicionadores y humidificadores (Actinomyces), espuma, adhesivos y pinturas (isocianatos), sulfato de cobre.

En la patogenia de la enfermedad interviene reacciones de hipersensibilidad tipo III (fenómeno Arthus) y reacción tipo IV. Las lesiones de la AAE son el resultado de múltiples eventos inmunitarios y no inmunitarios. Los macrófagos alveolares pueden ser activados directamente por inmunocomplejos, por componentes del complemento y por productos derivados de la inflamación tisular. Los linfocitos T sensibilizados producen linfocinas que activan al macrófago y aumentan la formación de granulomas. Es importante la asociación de la enfermedad con el sistema HLA por lo que existe un componente hereditario de predisposición a padecer la enfermedad aumento de la prevalencia del HLA-B12, HLA-BW40 y HLA-DRW3.

Causas de las principales neumonitis por hipersensibilidad o alveolitis alérgica extrínseca
Enfermedad Origen del antígeno Antígeno
Pulmón del cuidador de aves Paloma, cotorra, periquito Proteínas séricas, excrementos, epitelios
Suberosis Polvo del corcho Penicilium frecuentans
Bagazosis Caña de azúcar Termoactinomyces sarachi y Termoactinomyces vulgaris
Pulmón del granjero Heno enmohecido Micropolyspora faeni, Termoactinomyces vulgaris, Aspergillus fumigatus y Aspergillus flauvus
Pulmón del cuidador de setas Abono Micropolyspora faeni y Termoactinomyces vulgaris
Descortezador de arce Corteza de árbol húmeda Crystostoma corticale
Alveolitis por aire acondicionado Humidificador Actinomyces termofilus
Trabajadores de malta Cebada malta enmohecida Aspergillus clavatus y Aspergillus fumigatus
Sequoiosis Serrín enmohecido Alternaria y Pullularia
Pulmón del isocianato Pinturas, adhesivos Isocianato
Pulmón de peleteros Pieles Polvo de la piel
Cuarteadores de pimentón Polvo de pimentón Mucor stolonifer'
Pulmón de los trabajadores del café Grano de café Polvo de café
Pulmón de los detergentes Detergentes enzimáticos Bacillus subtilis
Enfermedad de molineros Cereales contaminados Sitophilus granarius
Trabajadores de la pulpa de la madera Pulma enmohecida Alternaria
Pulmón de los lavadores de queso Moho de queso Penicilium casei
Pulmón de trabajadores de harina de pescado Fábrica de harina Harina de pescado
Pulmón por inhalación de polvo de hipófisis Polvo de hipófisis Hormona pituitaria

Sintomatología

La alveolitis alérgica extrínseca puede tener un curso agudo, subagudo y crónico, dependiendo de la forma e intensidad de la exposición.

  • En exposiciones intermitentes se producen cuadros agudos que aparecen de cuatro a seis horas después de la exposición antigénica y consisten en tos, disnea, fiebre, malestar general, escalofríos y artromialgias, que desaparecen gradualmente en las siguientes 24 horas, aunque algunos síntomas pueden persistir durante varios días. Cuando estos síntomas se repiten frecuentemente, el enfermo presenta anorexia y pérdida de peso que están en relación con la severidad de los síntomas. Es curioso que los pacientes con alveolitis alérgica no presenten broncoespasmo o asma, aunque sí pueden presentar insuficiencia respiratoria.
  • En exposiciones menos intensas, pero continuadas, como los criadores de aves, aparece más frecuentemente tos seca, disnea de esfuerzo, astenia, anorexia y pérdida progresiva de peso. Algunos síntomas mejoran durante el fin de semana, reapareciendo los lunes cuando comienza la semana laboral. En la exploración física sólo se aprecian crepitantes en la auscultación, y en fases avanzadas signos de hipertensión pulmonar y de fallo cardíaco derecho.
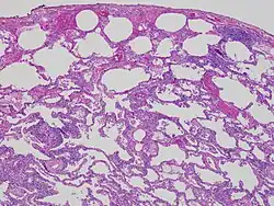
Vista a pequeño aumento de la histología de la alveolitis alérgica extrínseca (material de biopsia pulmonar). El intersticio está expandido por un infiltrado inflamatorio crónico. Dos células gigantes multinucleadas pueden ser vistas dentro del intersticio a la izquierda, y un tapón de neumonía organizada abajo a la izquierda.

Diagnóstico

Existen datos inespecíficos y específicos. Entre los inespecíficos encontramos leucocitosis en las formas agudas, a veces eosinofilia en el análisis de sangre. La hipergammaglobulinemia, excepto de IgE, es casi universal. Entre los datos específicos resalta el hallazgo de anticuerpo específico contra el antígeno de la partícula orgánica inhalada.

Tratamiento

El mejor tratamiento es evitar el alérgeno provocador, ya que la exposición crónica puede causar daño permanente y la enfermedad aguda a menudo es autolimitada. La identificación del antígeno provocador y su ubicación deben determinarse mediante la realización de una evaluación de la exposición. La limpieza del hogar es un método para evitar los antígenos.[3]​ Si no es posible evitarlo, como en el caso de algunas exposiciones en el lugar de trabajo, se puede lograr minimizar la exposición a través de varios medios, incluida la implementación de PPE o la ventilación adecuada del lugar de trabajo. Los corticosteroides como la prednisolona pueden ayudar a controlar los síntomas , pero pueden producir efectos secundarios En el caso de fibrosis pulmonar grave en etapa terminal que surge de la exposición crónica, el trasplante de pulmón puede ser la única opción viable.

Referencias

  1. Mohr LC (septiembre de 2004). «Hypersensitivity pneumonitis». Curr Opin Pulm Med 10 (5): 401-411. PMID 15316440. doi:10.1097/01.mcp.0000135675.95674.29. 
  2. Signos y síntomas de la alveolitis alérgica extrinseca Archivado el 13 de octubre de 2010 en Wayback Machine. (en inglés).
  3. Johannson, Kerri A.; Barnes, Hayley; Bellanger, Anne-Pauline; Dalphin, Jean-Charles; Fernández Pérez, Evans R.; Flaherty, Kevin R.; Huang, Yuh-Chin T.; Jones, Kirk D. et al. (2020-12). «Exposure Assessment Tools for Hypersensitivity Pneumonitis. An Official American Thoracic Society Workshop Report». Annals of the American Thoracic Society 17 (12): 1501-1509. ISSN 2329-6933. PMC 7706597. PMID 33258669. doi:10.1513/AnnalsATS.202008-942ST. Consultado el 10 de julio de 2022.