Necrosis grasa
| Necrosis grasa | ||
|---|---|---|
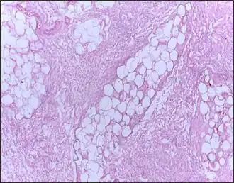
![]() Micrografía de tejido mamario que muestra necrosis grasa. Tinción Hematoxilina-Eosina | ||
| Especialidad | Anatomía Patológica | |
| Sinónimos | ||
| También conocida como necrosis de Balser | ||
La necrosis grasa es una forma de necrosis caracterizada por la acción de enzimas digestivos sobre la grasa.[1]
En la necrosis grasa el enzima lipasa libera ácidos grasos de triglicéridos. Entonces, los ácidos grasos se combinan con calcio para formar jabones. Estos jabones aparecen como depósitos calcáreos blancos.[2]
Normalmente está asociado con trauma del páncreas o pancreatitis aguda.[2][3] También puede ocurrir las mamas,[4] las glándulas salivales[5] y en neonatos después de un parto traumático.[cita requerida]
Véase también
- Necrosis caseosa
- Necrosis coagulativa
- Necrosis licuefactiva
- Mioesferulosis
- Necrosis
Referencias
- ↑ «Cell Injury».
- ↑ a b Kumar, Vinay; Abbas, Abul K.; Fausto, Nelson; & Mitchell, Richard N. (2007). Robbins Basic Pathology (8th ed.). Saunders Elsevier. pp. 10-11 ISBN 978-1-4160-2973-1
- ↑ fat necrosis en el Diccionario Médico de Dorland
- ↑ «Fat necrosis after partial-breast irradiation with brachytherapy or electron irradiation versus standard whole-breast radiotherapy--4-year results of a randomized trial». Int. J. Radiat. Oncol. Biol. Phys. 69 (3): 724-31. November 2007. PMID 17524571. doi:10.1016/j.ijrobp.2007.03.055.
- ↑ «Archived copy». Archivado desde el original el 14 de abril de 2011. Consultado el 19 de septiembre de 2011.
