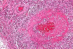
Necrosis fibrinoide

La necrosis fibrinoide es un patrón concreto de muerte celular irreversible e incontrolada que ocurre cuando los complejos de antígeno-anticuerpo se depositan en las paredes de vasos sanguíneos junto con fibrina. Es común en las vasculitis inmunomediadas, que son producto de una reacción de hipersensibilidad de tipo III. Cuando se tiñe con hematoxilina y eosina, tiene un aspecto brillante eosinofílico y difuminado.[1]
Enfermedades
La necrosis fibrinoide no está limitada a las vasculitis inmunomediadas; muchos procesos patológicos pueden dar lugar a áreas de necrosis fibrinoide. En el lupus eritematoso sistémico, la dermis a menudo se ve afectada por acumulación de fluidos e inflamación alrededor de los vasos sanguíneos pequeños de la piel, los cuales pueden mostrar necrosis fibrinoide prominente. También se ve en la enfermedad del Suero (reacción de hipersensibilidad de tipo III).[1]