Moquillo

Moquillo
Taxonomía
Dominio: Riboviria
Reino: Orthornavirae
Filo: Negarnaviricota
Clase: Monjiviricetes
Orden: Mononegavirales
Familia: Paramyxoviridae
Género: Morbillivirus
Especie: Virus del moquillo
Clasificación de Baltimore
Grupo: V (Virus ARN monocatenario negativo)

El moquillo, también conocido como distemper[1]​ o enfermedad de Carré, es una enfermedad infectocontagiosa de origen viral, que afecta a animales de las familias Canidae, Mustelidae, Mephitidae, Hyaenidae, Ailuridae, Procyonidae, Pinnipedia, algunos Viverridae y Felidae (aunque no a los gatos domésticos, que sufren otras enfermedades, como la rinotraqueitis o la calicivirus, que cursan con sintomatología respiratoria). De ellos, los más importantes por su relación con los seres humanos, son el perro, el hurón y el visón.[2][3][4]​ El virus es un tipo de una sola hebra de ARN de polaridad negativa perteneciente al género Morbillivirus de la familia paramyxovirus y, por lo tanto, un familiar muy cercano del sarampión.[5][6][7]​ A pesar de haber una vacuna contra el virus, la enfermedad sigue siendo muy común en muchas regiones del mundo .[8]

Infección

Es una enfermedad de distribución mundial, que afecta a animales de todas las edades, siendo particularmente vulnerables tempranamente y en la vejez, donde, entre otra sintomatología, produce un cuadro que se conocía como "encefalitis de los perros viejos".

Se transmite por el aire y mediante el contacto con fluidos corporales infectados, incluyendo comida y agua contaminados por estos fluidos.[9]​ El periodo de incubación es de 14 a 18 días, aunque puede haber fiebre de tres a seis días tras la infección.[10]​ Es importante aislar al animal contagiado de los demás, para evitar la difusión de la enfermedad.

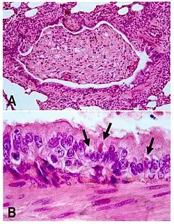
El virus del moquillo tiene un tropismo por los tejidos linfáticos, epiteliales y nerviosos. Por tanto, las características patológicas típicas incluyen depleción linfática (provocando inmunosupresión y llevando a infecciones secundarias), neumonía intersticial, encefalitis con desmielinización, e hiperqueratosis de las almohadillas plantares. El examen histológico revela cuerpos de inclusión eosinofílicos intranucleares e intracitoplasmáticos, en numerosos tejidos.

Sintomatología

Los síntomas dependen de la acción directa del virus sobre los órganos o tejidos afectados y de las bacterias que proliferan en los mismos. De acuerdo con el sistema comprometido, podemos clasificarlos en:

Generales

  • Fiebre, de tipo bifásico, con un aumento en el comienzo de la enfermedad, para después ceder y volver a aparecer ante la presentación de las infecciones bacterianas secundarias. En este periodo es cuando se recomienda realizar las pruebas diagnósticas.
  • Pérdida de apetito.
  • Decaimiento general.
  • Pérdida de peso.
  • Deshidratación.

Respiratorios

  • Descarga nasal, que varía de serosa a mucopurulenta.
  • Tos.
  • Disnea (dificultad respiratoria).

Oculares

  • Edema de córnea (ojo azul).
  • Conjuntivitis con descarga ocular (lagañas).
  • Queratitis seca, producto de la acción del virus sobre las glándulas lagrimales.
  • Úlcera de córnea.

Digestivos

Cutáneos

Dentarios

Neurológicos

  • Ataxia, que puede progresar a paresia y luego parálisis.
  • Tics, corea o espasmo flexor, es decir el movimiento involuntario de un músculo o un grupo de músculos, sobre todo de la cabeza y los miembros.
  • Convulsiones, de tipo epileptiforme.

Un animal en particular puede presentar algunos pocos o la mayoría de los síntomas descritos, dependiendo de la gravedad de la infección. El curso de la enfermedad puede ser de solo 10 días, pudiendo extenderse a varias semanas, y hasta meses, con períodos intermitentes de mejora seguidos de una recaída.

Diagnóstico

Los síntomas anteriores, especialmente la fiebre, los indicios respiratorios, digestivos y neurológicos, y el endurecimiento de las almohadillas plantares, son una fuerte evidencia diagnóstica del moquillo.

Encontrar el virus por diversos métodos en las células conjuntivas permite un diagnóstico definitivo.

Tratamiento

Dada la dificultad de contrarrestar al virus causante de la enfermedad, el esfuerzo debe dirigirse a paliar la sintomatología y brindar apoyo terapéutico para permitir que el animal desarrolle sus propias defensas. No obstante, algunos recomiendan el uso de azatioprina, sustancia inmunosupresora, que funcionaría como antivírico, con buenos resultados.[12]

No hay un tratamiento específico para el moquillo. El enfermo deberá ser tratado por un veterinario, normalmente con antibióticos para las infecciones bacterianas secundarias, fluidos hidroelectrolíticos, suplementos vitamínicos y nutricionales, y tratamientos puntuales para el tipo de síntomas presentes: mucolíticos y expectorantes para los signos respiratorios; antieméticos y antidiarreicos, para los digestivos, etc. De los signos neurológicos de posible aparición, solo las convulsiones tienen tratamiento efectivo.

Prevención

Todos los animales susceptibles deberían recibir dos o más dosis de una vacuna contra el moquillo, o combinada, durante su etapa de desarrollo, entre la sexta o séptima semana de edad hasta los tres o cuatro meses, y luego ser revacunados anualmente durante toda su vida. Existen en el mercado diversos tipos de ellas para perros y hurones domésticos, que en algunas jurisdicciones son obligatorias para las mascotas.

Los animales afectados, de ser posible, deben ser puestos en cuarentena, aislados de otros individuos de su especie por el tiempo que esparza el virus.[5]

El virus se destruye en el entorno mediante limpieza rutinaria con desinfectantes, detergentes o secado. Aunque no sobrevive en el ambiente más de unas pocas horas a temperatura media (20-25 °C), sí puede hacerlo durante varias semanas a temperaturas ligeramente superiores a la de congelación.[13]

Véase también

Referencias

  1. «Aspectos generales del complejo distemper en el canino». Consultado el 15 de marzo de 2008. 
  2. «Canine Distemper: Introduction». The Merck Veterinary Manual. Merck & Co., Inc. 2006. Consultado el 15 de marzo de 2008. 
  3. «Information Sheet Canine Distemper virus (CDV)». UC Davis Koret Shelter Medicine Program. 2004. Archivado desde el original el 17 de mayo de 2008. Consultado el 15 de marzo de 2008. 
  4. McCarthy AJ, Shaw MA, Goodman SJ (diciembre de 2007). «Pathogen evolution and disease emergence in carnivores». Proc. Biol. Sci. 274 (1629): 3165-74. PMID 17956850. doi:10.1098/rspb.2007.0884. 
  5. a b «Canine Distemper: Introduction». The Merck Veterinary Manual. Merck & Co., Inc. 2006. Consultado el 15 de marzo de 2008. 
  6. «Information Sheet Canine Distemper virus (CDV)». UC Davis Koret Shelter Medicine Program. 2004. Archivado desde el original el 17 de mayo de 2008. Consultado el 15 de marzo de 2008. 
  7. McCarthy AJ, Shaw MA, Goodman SJ (diciembre de 2007). «Pathogen evolution and disease emergence in carnivores». Proc. Biol. Sci. 274 (1629): 3165-74. PMC 2293938. PMID 17956850. doi:10.1098/rspb.2007.0884. 
  8. Elia G, Belloli C, Cirone F, et al (febrero de 2008). «In vitro efficacy of ribavirin against canine distemper virus». Antiviral Res. 77 (2): 108-13. PMID 17949825. doi:10.1016/j.antiviral.2007.09.004. 
  9. Carter, G.R.; Flores, E.F.; Wise, D.J. (2006). «Paramyxoviridae». A Concise Review of Veterinary Virology (en inglés). Consultado el 24 de junio de 2006. 
  10. a b Appel, M.J.G.; Summers, B.A. (1999). «PCanine Distemper: Current Status». Recent Advances in Canine Infectious Diseases (en inglés). Consultado el 24 de junio de 2006. 
  11. Ettinger, Stephen J.; Feldman, Edward C. (1995). Textbook of Veterinary Internal Medicine (en inglés) (4ª ed. edición). W.B. Saunders Company. ISBN 0-7216-6795-3. 
  12. https://web.archive.org/web/20121204165609/http://www.laboratoriosjanvier.com.ar/azatioprima.html
  13. «Information sheet: Canine distemper virus». UC Davis Koret Shelter Medicine Program (en inglés). Archivado desde el original el 26 de agosto de 2006. Consultado el 26 de septiembre de 2006. 

Enlaces externos