Miocarditis
| Miocarditis | ||
|---|---|---|
| Especialidad | cardiología | |
| Síntomas | Dificultad para respirar, dolor en el pecho, disminución de la capacidad para hacer ejercicio, latidos cardíacos irregulares | |
| Complicaciones | Insuficiencia cardíaca debida a miocardiopatía dilatada, paro cardíaco [1] | |
| Causas | Generalmente infección viral, también infecciones bacterianas, ciertos medicamentos, trastornos autoinmunes [2] | |
La miocarditis es un término médico que describe la inflamación del miocardio, que es la porción muscular del corazón. Por lo general es debida a una infección viral o bacteriana, y se presenta como dolor de pecho, signos repentinos de insuficiencia cardíaca y muerte súbita.
En los casos donde, al reducirse esta inflamación se produce un endurecimiento del miocardio, similar al relacionado con una acelerada dependencia progresiva de las reservas homeostáticas, la consecuencia de este envejecimiento prematuro es un endurecimiento de los anillos fibrosos conocidos como mitral annulus, cuya consecuencia es un prolapso mitral.
De esta forma la sangre fluye en dirección contraria hacia la aurícula izquierda, produciendo una deficiencia cardíaca irreversible.
Etiología
Se ha identificado una larga lista de causas que conllevan a la miocarditis:
Causas infecciosas
- Viral, entre ellas: desde una gripe hasta Enterovirus, Coxsackievirus, Rubéola, Poliovirus, Citomegalovirus y posiblemente hepatitis C.[3][4]
- Bacteriana,[5] por ejemplo: Brucelosis humana, Corynebacterium diphtheriae, Neisseria gonorrhoeae, Haemophilus influenzae, Actinomicete, Tropheryma whipplei y Vibrio cholerae. La miocarditis bacteriana es muy poco frecuente en individuos sin inmunodeficiencia.
- Espiroquetas (Borrelia burgdorferi and leptospirosis)
- Protozoa: Toxoplasma gondii y Trypanosoma cruzi
- Fungico, por ej: aspergillus
- Parasítico: ascaris, Echinococcus granulosus, Paragonimus westermani, schistosoma, Taenia solium, Trichinella spiralis, Toxocariasis, y Wuchereria bancrofti.
- Rickettsia

Causas no infecciosas
- Efecto secundario de la Enfermedad de Kawasaki
Epidemiología
La incidencia exacta de la miocarditis no es del todo conocida, sin embargo en una serie de autopsias rutinarias 1–9% de todos los pacientes presentaron evidencias de inflamación al miocardio. En adultos jóvenes, menores de 40 años, hasta un 20% de los casos de muerte súbita son debido a miocarditis.[6] La enfermedad de Chagas causada por el parásito Trypanosoma cruzi es la causa principal de miocarditis.
Diagnóstico
Se sospecha una inflamación del miocardio sobre la base de los resultados del electrocardiograma (ECG), valores elevados de la proteína C reactiva (PCR) y/o la tasa de sedimentación eritrocítica (ESR) y un aumento en IgM (serología) en contra de virus que se sepa afectan al miocardio. Otros exámenes de laboratorio pueden mostrar leucocitosis, los marcadores de daño celular del miocardio, como la troponina y la Creatina quinasa y sus isoenzimas cardíacas, están también elevadas.[6]
Los hallazgos del electrocardiograma (ECG) más comunes en la miocarditis son inversiones difusas de la onda T y ocasionalmente elevaciones del segmento ST en forma de «silla de montar», esta última común en pericarditis.[7]
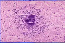
La predilección diagnóstica continúa siendo la biopsia del miocardio, generalmente hecho durante una angiografía. Se toman una pequeña muestra del endocardio y del miocardio, las cuales son investigadas por un patólogo bajo un microscopio y, de ser necesario, inmunoquímica con métodos especiales de tinción. Las características histológicas que con frecuencia se observan son: intersticio del miocardio con abundante edema e infiltrado inflamatorio, rico en linfocitos y macrófagos. La destrucción focal de miocitos justifica el fallo en la función cardíaca.[7]
Ha sido demostrado recientemente que la resonancia magnética (MRI) cardíaca puede ser útil en el diagnóstico de la miocarditis al visualizar marcadores de inflamación del miocardio.[8][9]
Tratamiento
Las infecciones bacterianas que causan miocarditis se tratan con antibióticos adecuados, dependiendo del patógeno y su sensibilidad. En el caso de miocarditis viral, no existe un tratamiento antiviral específico, por lo que el tratamiento se centra en el alivio sintomático y el manejo de la insuficiencia cardíaca. El uso de AINEs (antiinflamatorios no esteroideos) generalmente no se recomienda en la miocarditis aguda debido a sus posibles efectos adversos sobre la función cardíaca y renal. En su lugar, los diuréticos y los inhibidores de la ECA (IECA) son comúnmente utilizados para aliviar los síntomas de insuficiencia cardíaca. En los casos graves, los inotrópicos pueden ser necesarios. Si el paciente se recupera adecuadamente de la inflamación, es posible que la función cardíaca mejore significativamente, aunque algunos casos pueden evolucionar hacia una miocardiopatía dilatada si hay disfunción ventricular persistente. La recuperación es completa en la mayoría de los casos, pero depende de la gravedad de la miocarditis y del tratamiento recibido.[10]
Referencias
- ↑ Cooper, Leslie T. (9 de abril de 2009). «Myocarditis». New England Journal of Medicine (en inglés) 360 (15): 1526-1538. ISSN 0028-4793. PMC 5814110. PMID 19357408. doi:10.1056/NEJMra0800028. Consultado el 7 de febrero de 2024.
- ↑ Kindermann, Ingrid; Barth, Christine; Mahfoud, Felix; Ukena, Christian; Lenski, Matthias; Yilmaz, Ali; Klingel, Karin; Kandolf, Reinhard et al. (28 de febrero de 2012). «Update on Myocarditis». Journal of the American College of Cardiology 59 (9): 779-792. ISSN 0735-1097. doi:10.1016/j.jacc.2011.09.074. Consultado el 7 de febrero de 2024.
- ↑ University of Maryland Medical Center. [1] Archivado el 30 de agosto de 2007 en Wayback Machine.
- ↑ Kang, Michael; Chippa, Venu; An, Jason (2024). Viral Myocarditis. StatPearls Publishing. Consultado el 7 de febrero de 2024.
- ↑ Pandey, Shubhi; Rajasurya, Venkat (2024). Nonviral Myocarditis. StatPearls Publishing. Consultado el 7 de febrero de 2024.
- ↑ a b La Federación Argentina de Cardiología. [2]
- ↑ a b Feldman AM, McNamara D (noviembre de 2000). «Myocarditis». N. Engl. J. Med. 343 (19): 1388-98. PMID 11070105. doi:10.1056/NEJM200011093431908.
- ↑ Skouri HN, Dec GW, Friedrich MG, Cooper LT (2006). «Noninvasive imaging in myocarditis». J. Am. Coll. Cardiol. 48 (10): 2085-93. PMID 17112998. doi:10.1016/j.jacc.2006.08.017.
- ↑ Mas-Stachurska, Aleksandra; Sitges, Marta; Prat-Gonzalez, Susanna (1 de octubre de 2012). «Diagnóstico de la miocarditis. Papel de las técnicas de imagen». Cardiocore 47 (4): 143-146. ISSN 1889-898X. doi:10.1016/j.carcor.2012.09.005. Consultado el 7 de febrero de 2024.
- ↑ "Miocarditis", artículo en el sitio web Fundación Española del Corazón.
Enlaces externos
- En MedlinePlus hay más información sobre Miocarditis