Mielinolisis central pontina
| Mielinolisis central pontina | ||
|---|---|---|
| Especialidad | neurología | |
La mielinolisis central pontina es un síndrome conocido desde principios de la década de 1960 y primariamente descrito en pacientes alcohólicos, que consiste en una desmielinización de la sustancia blanca cerebral. Su mecanismo fisiopatológico se basa en los cambios osmóticos producidos en esta estructura al corregirse de forma brusca una hiponatremia preexistente (Iatrogenia).
Causas
- La causa más común es de origen iatrogénico y corresponde a la rápida corrección de los niveles de sodio en hiponatremia.[1]
- El trasplante de médula ósea.[2]
- Se asocia frecuentemente al alcoholismo y la hiponatremia que llegan a desarrollar.[3]
- Hiperemesis grávida.
Clínica
El compromiso neurológico se caracteriza por:
- Cuadraparesia
- Disartria
- Disfagia
- Diplopía
- Confusión y alteración del nivel de conciencia
Diagnóstico
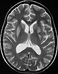
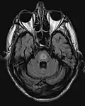
El antecedente de haber sufrido hiponatremia, sumado a las características clínicas previamente descritas son el sello de la enfermedad. La resonancia magnética puede mostrar ciertos cambios a nivel del parénquima cerebral, como es el aumento en la intensidad a nivel pontina[4]
Prevención y tratamiento
La medida de mayor costo-efectividad resulta en la restauración a baja velocidad de la natremia (sin superar los 0,5 mEq/L/hora), con lo cual se previene el daño neuronal. El tratamiento cuando el cuadro ya se ha establecido consiste solamente en medidas de soporte.
Galería de imágenes
-
Mielinolisis central pontina -
Resonancia que muestra aumento de la intensidad de la imagen bilateral y simétrica a nivel del caudado (flecha pequeña), putamen (flecha larga) con extensión hasta el globo pálido, sugerente de mielinólisis extrapontina
Referencias
- ↑ Bernsen HJ, Prick MJ (septiembre de 1999). «Improvement of central pontine myelinolysis as demonstrated by repeated magnetic resonance imaging in a patient without evidence of hyponatremia». Acta Neurol Belg 99 (3): 189-93. PMID 10544728.
- ↑ Lim KH, Kim S, Lee YS, et al. (abril de 2008). «Central pontine myelinolysis in a patient with acute lymphoblastic leukemia after hematopoietic stem cell transplantation: a case report». J. Korean Med. Sci. 23 (2): 324-7. PMC 2526450. PMID 18437020. doi:10.3346/jkms.2008.23.2.324. (enlace roto disponible en Internet Archive; véase el Lim KH, Kim S, Lee YS, et al. (abril de 2008). [http://jkms.org/contents/jkms.php?pubyear=2008&vol=23&fpage=324 «Central pontine myelinolysis in a patient with acute lymphoblastic leukemia after hematopoietic stem cell transplantation: a case report». J. Korean Med. Sci. 23 (2): 324-7. PMC 2526450. PMID 18437020. doi:10.3346/jkms.2008.23.2.324. historial], la Lim KH, Kim S, Lee YS, et al. (abril de 2008). [http://jkms.org/contents/jkms.php?pubyear=2008&vol=23&fpage=324 «Central pontine myelinolysis in a patient with acute lymphoblastic leukemia after hematopoietic stem cell transplantation: a case report». J. Korean Med. Sci. 23 (2): 324-7. PMC 2526450. PMID 18437020. doi:10.3346/jkms.2008.23.2.324. primera versión] y la Lim KH, Kim S, Lee YS, et al. (abril de 2008). [http://jkms.org/contents/jkms.php?pubyear=2008&vol=23&fpage=324 «Central pontine myelinolysis in a patient with acute lymphoblastic leukemia after hematopoietic stem cell transplantation: a case report». J. Korean Med. Sci. 23 (2): 324-7. PMC 2526450. PMID 18437020. doi:10.3346/jkms.2008.23.2.324. última]).
- ↑ Menger H, Jörg J (agosto de 1999). «Outcome of central pontine and extrapontine myelinolysis (n = 44)». J. Neurol. 246 (8): 700-5. PMID 10460448. doi:10.1007/s004150050435. (enlace roto disponible en Internet Archive; véase el historial, la primera versión y la última).
- ↑ https://radiopaedia.org/articles/central-pontine-myelinolysis-2