Microlitiasis alveolar pulmonar

La microlitiasis alveolar pulmonar es una enfermedad rara que se caracteriza por la existencia de nódulos microscópicos que se encuentran en el interior de los alveolos pulmonares y están formados por fosfato cálcico.
Descripción
Fue descrita en el año 1856 por Friedrich, el cual le dio el nombre de corpora amylacea. En 1933 Puhr la renombró con la denominación con la que se conoce en la actualidad. En todo el mundo se han descrito hasta el momento alrededor de 600 casos, la mayoría en Europa y Asia, es más frecuente en algunos paisés como Turquía. [1]
Etiología
La causa de esta afección es un trastorno genético que se transmite según un patrón autosómico recesivo y está producido por una mutación en el gen SCL34A2. Este gen codifica una molécula transportadora de fosfato. La enfermedad se encuentra emparentada con la microlitiasis testicular.[1][2]
Síntomas
Los pacientes pueden comenzar a presentar síntomas tanto en la niñez como en la edad adulta. Los más frecuentes son tos, disnea (sensación de asfixia) y a veces hemoptisis (esputos con sangre). Estos síntomas van aumentando en intensidad con el paso del tiempo y acaban por producir insuficiencia respiratoria. La enfermedad sigue un curso lento y progresivo, en ocasiones se detecta en personas sin síntomas cuando se realizan una radiografía de tórax.
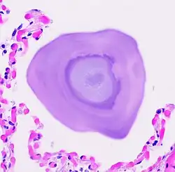
Diagnóstico
El diagnóstico puede sospecharse ante una radiografía de tórax en la cual aparecen pequeños nódulos de menos de 1 mm de diámetro, según un patrón que se ha llamado en “tormenta de arena”. El diagnóstico definitivo se realiza mediante una biopsia de pulmón en la cual aparecen imágenes características.
Tratamiento
En las fases avanzadas, la insuficiencia respiratoria es severa y el único tratamiento posible es el trasplante pulmonar.
Referencias
- ↑ a b [1] Varios autores: Microlitiasis alveolar pulmonar, informe de un caso pediátrico con revisión de los casos en México.Patología, 2009;47(3),242-5. Consultado el 11-3-2010
- ↑ The incidence and significance of testicular microlithiasis in a subfertile population. The British Journal of Radiology, 73 (2000), 494-497. Consultado el 1-8-2010