Malformación arteriovenosa
| Malformación arteriovenosa | ||
|---|---|---|
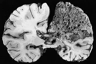
![]() Vista macroscópica de malformación arteriovenosa en el lóbulo parietal. | ||
| Especialidad |
genética médica neurocirugía | |
| eMedicine | lista de temas | |

La malformación arteriovenosa cerebral o MAV es una patología vascular congénita. Se trata de arterias anormalmente dilatadas que desembocan directamente en venas también anómalas (arterializadas), sin la interposición normal de una red capilar entre ellas,[1] sustituyéndose al capilar por un ovillo enmarañado de vasos sanguíneos irreconocibles; por lo que el paso de sangre desde la arteria a la vena se hace de una manera muy veloz, haciendo que la vena se dilate y corra el riesgo de romperse. Tienen el aspecto de una masa retorcida de tamaño anormal y un color grisáceo. Son lesiones muy poco comunes, ya que ocurren en menos del 1% de la población (3 de cada 10000 personas). Se presenta más comúnmente entre los 15 y 20 años, aunque también puede manifestarse posteriormente.[2]
Síntomas y signos
- Dolores de cabeza, que pueden ser graves (localizados) o agudos (cefalea).
- Convulsiones, que pueden ser parciales o totales (pérdida de conciencia).
- Debilitamiento de la sensibilidad en alguna parte del cuerpo (en especial en las extremidades).
- Disminución de la visión, que puede volverse borrosa o doble.
- Vértigo.
- Desmayos.
- Dificultad al hablar.
- Desgaste del olfato.
- Parálisis facial.
- Zumbidos en los oídos.
- Caída de un párpado.
- Disminución del estado de entendimiento.
- Incapacidad de mover alguna parte del cuerpo.[3]
En general las malformaciones arteriovenosas suelen ser descubiertas por casualidad en tratamientos no relacionados. Aunque hay veces en que las personas que padecen esta enfermedad no presentan síntomas hasta que la malformación arteriovenosa se rompe, provocando sangrado; siendo este el primer síntoma.
Origen
Se desconocen las causa precisas de su formación. Su origen puede ser de carácter hereditario (aunque raras veces se conoce un historial en donde se haya heredado de generación en generación) o a causa de un traumatismo, aunque los especialistas discrepan en sus orígenes. Lo único que se sabe con certeza es que esta malformación es congénita; por lo que la persona nace con ella.
Clasificación
Las malformaciones arteriovenosas varían de tamaño y forma. Pero las podemos clasificar en:
- Malformaciones arteriovenosas píales
- Malformaciones arteriovenosas subcorticales
- Malformaciones arteriovenosas para ventriculares
- Malformaciones arteriovenosas combinadas[4]
Exámenes
Para poder descubrir la presencia de esta malformación, se puede realizar los siguientes exámenes:
- resonancia magnética
- electroencefalograma
- angiografía cerebral.
- tomografía computarizada de la cabeza.
- angiografía por resonancia magnética.[5]
Tratamiento
El principal objetivo del tratamiento es prevenir próximas complicaciones, intentando mantener bajo control aquellos síntomas más graves; como lo son las convulsiones y el sangrado.
Algunos tratamientos son:
- Embolización: es la inyección a través de un catéter, de una sustancia llamada Onyx, que pretende llenar la malformación arteriovenosa, para prevenir el riesgo de ruptura o aneurisma.
- Cirugía cerebral abierta: se elimina la malformación arteriovenosa por medio de una perforación en el cráneo, en donde se extirpa totalmente la malformación arteriovenosa.
- Radiocirugía estéreotáctica: se libera radiación en el lugar en que se ubica la malformación arteriovenosa, intentando destruirla total o parcialmente (irradiándola).[6]
Riesgos de los tratamientos
- Embolización: - infarto cerebral, hemorragia intracerebral.[7]
- Radiocirugía: - cáncer, daño de tejido alrededor del área afectada.
- Cirugía cerebral abierta: - hemorragia, epilepsia, accidente cerebrovascular, hinchazón del cerebro.
Referencias
- ↑ Manuel Amosa Delgado (2012). «4. Enfermedades vasculares cerebrales». Manual CTO medicina y cirugía: Neurología y Neurocirugía. CTO editorial. p. 39. ISBN 8415062281.
- ↑ «Malformación arteriovenosa cerebral: MedlinePlus enciclopedia médica».
- ↑ «Malformaciones Arteriovenosas: National Institute of Neurological Disorders and Stroke (NINDS)».
- ↑ «Malformacion Arteriovenosa Cerebral». Archivado desde el original el 6 de septiembre de 2009.
- ↑ «Malformación arteriovenosa cerebral». Archivado desde el original el 25 de agosto de 2009. Consultado el 24 de agosto de 2009.
- ↑ «Malformaciones Arteriovenosas Intracraneales». Archivado desde el original el 16 de abril de 2009. Consultado el 24 de agosto de 2009.
- ↑ «Malformación arteriovenosa cerebral: Tratamiento endovascular».
