Luxación escápulo-humeral
| Luxación escápulo-humeral | ||
|---|---|---|
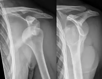
![]() Luxación anterior de hombro. | ||
| Especialidad | medicina de emergencia | |
| Sinónimos | ||
| Luxación de hombro | ||


En medicina, una luxación o dislocación es aquella lesión de una articulación en la que se produce pérdida del contacto entre las superficies articulares. Generalmente se debe a un traumatismo grave y no existe fractura ósea, aunque en ocasiones se asocia la luxación a una fractura.[1] La luxación escápulo-humeral o luxación de hombro tiene lugar cuando por un movimiento brusco o un trauma se produce la pérdida de contacto entre la cabeza del húmero y la cavidad glenoidea situada en la escápula. Los dos extremos óseos se desplazan de su posición normal en continuidad y la articulación pierde su función. Representa el 50% del total de las luxaciones y se manifiesta por dolor muy intenso de inicio brusco que se acompaña de imposibilidad casi total para realizar los movimientos normales del hombro.[2]
Clasificación
Dependiendo de la dirección en que se desplaza la cabeza del humero, puede existir una luxación anterior que representa más del 80% de los casos, una luxación posterior que no es habitual y puede pasar inadvertida durante un tiempo al provocar síntomas menos llamativos y una luxación inferior que es muy rara.[2]
Mecanismo de producción
Las luxaciones anteriores que son las más frecuentes pueden producirse por un mecanismo directo o indirecto. Lo más habitual es que tengan lugar por un mecanismo indirecto y sean la consecuencia de una caída hacia atrás en la que la mano apoya en el suelo con el brazo situado en extensión. El mecanismo directo es menos frecuente, se produce por un impacto sobre la cara posterior del hombro que empuja la cabeza del húmero fuera de la articulación.[2]
Tratamiento
Consiste en realizar un conjunto de maniobras que reciben el nombre de reducción, mediante las cuales es posible volver a colocar la cabeza del humero en contacto con la cavidad glenoidea de la escápula, recuperándose la movilidad y produciéndose alivio del dolor. Estas maniobras nunca deben ser realizadas por personas que no sean profesionales sanitarios, por el riesgo de provocar lesiones más graves que las que se intentan corregir. Después de una luxación de hombro existe riesgo de recidiva, alrededor del 20% de los afectados presentan tras un intervalo de tiempo más o menos largo una nueva luxación. En ocasiones, cuando tienen lugar luxaciones continuas, es preciso realizar tratamiento mediante cirugía para intentar dar una solución definitiva al problema.
En general la cirugía no suele estar indicada en los primeros episodios de luxación, a excepción de:
- Pacientes varones menores de 25 que practiquen deportes de contacto
- Roturas del manguito de los rotadores asociada
- Fracturas de glena asociadas
En estos casos, se podría indicar cirugía a pesar de que únicamente se haya producido un episodio, por el gran riesgo de recidiva que presentan.
El siguiente escenario en el cual se plantearía la cirugía sería en aquellos pacientes con episodios recidivantes a pesar de un tratamiento rehabilitador correcto.[3]
Los distintos tipos de cirugía dependeran de la causa de dichos episodios de luxación.
Referencias
- ↑ Estanislao Navarro-Beltrán Iracet: Diccionario terminológico de ciencias médicas (pág. 3). España: Elsevier Masson, 13.ª edición, 1992. ISBN 8445800957.
- ↑ a b c Cirugía menor y procedimientos en medicina de familia. Luxación escápulo-humeral. F. Santonja, E. Ortín, A. Pastor. Consultado el 8 de marzo de 2018
- ↑ «¿Cuando operar una luxación de hombro?». No solo huesos. 4 de diciembre de 2021. Consultado el 5 de diciembre de 2021.
