Linfopoyetina estromal tímica
La linfopoyetina estromal tímica, también conocida como TSLP por las iniciales de su denominación en inglés (Thymic Stromal Lymphopoietin) es una proteína que pertenece a la familia de las citocinas y juega un importante papel en el sistema inmune al facilitar la maduración de los linfocitos T. Está codificada en un gen situado el cromosoma 5 humano (5q22.1).

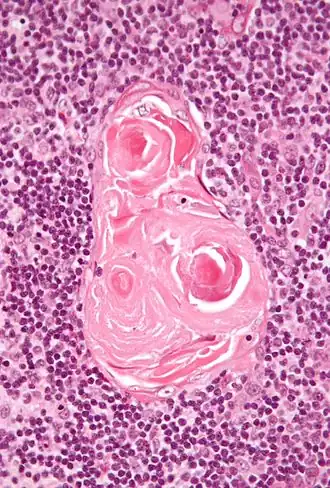
Es producida por células situadas en los corpúsculos tímicos o corpúsculos de Hassall ubicados en la médula del timo.[1]
Se han observado niveles elevados de linfopoyetina estromal tímica en personas efectas de distintas enfermedades, entre ellas dermatitis atópica y asma bronquial, por lo que se cree que puede tener un papel como sustancia mediadora en el desarrollo de respuestas de tipo alérgico por parte del sistema inmune, por ello se están estudiando fármacos que bloqueen su acción con la finalidad de mejorar los síntomas del asma bronquial.[2][3]
Referencias
- ↑ Gartner, Leslie. Atlas en color y texto de Histología (6 edición). Editorial Médica Panamericana.
- ↑ NCBI: TSLP thymic stromal lymphopoietin. Consultado el 12 de noviembre de 2016
- ↑ Gauvreau PM, Boulet LP, Gauvreau GM, O'Byrneet al. Effects of an anti-TSLP antibody on allergen-induced asthmatic responses, N Eng J Med, 2014;370:2102-2110