Linfangioleiomiomatosis
| Linfangioleiomiomatosis | ||
|---|---|---|
![]() La figura A muestra la anatomía de los pulmones y vías de aire. La imagen también muestra un corte transversal de un pulmón sano.
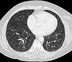
La figura B muestra pulmones con LAM y un pulmón colapsado (Neumotórax). La imagen también muestra un corte transversal de un pulmón con LAM. | ||
| Especialidad | Neumología, patología, genética clínica. | |
| Síntomas |
| |
| Inicio habitual | Desde la época de fertilidad. | |
| Tipos | LAM esporádica (S-LAM), LAM asociada al complejo de esclerosis tuberculosa. | |
| Diagnóstico | Radiografía de pecho, tomografía, ventilación-perfusión, tomografía por emisión de positrones, imagen abdominal, imagen del sistema nervioso central. | |
| Tasa de letalidad | 10% de letalidad. | |
La linfangioleiomiomatosis, abreviada LAM, es una enfermedad rara, progresiva y sistémica, que normalmente resulta en destrucción quística del pulmón. Afecta predominantemente a las mujeres, especialmente durante los años fértiles. El término de LAM esporádica se utiliza para pacientes con LAM no asociada al complejo de esclerosis tuberosa (CET).
Signos y síntomas
La edad promedio de aparición es entre principios y mediados de los 30 años.[1][2][3][4] Se ha informado que la disnea y el neumotórax espontáneo (colapso pulmonar) son la presentación inicial de la enfermedad en el 49% y el 46% de los pacientes, respectivamente.[4]
El diagnóstico suele retrasarse entre 5 y 6 años.[1][2][3][4] La afección a menudo se diagnostica erróneamente como asma o enfermedad pulmonar obstructiva crónica. El primer neumotórax, precede al diagnóstico de LAM en el 82% de los pacientes.[5][6] Los síntomas por consenso de LAM son los siguientes:[cita requerida]
- Fatiga
- Tos
- Tos con sangre (raramente abundante)
- Dolor en el pecho
- Complicaciones quilosas derivadas de la obstrucción linfática, incluidas
- Quilotórax
- Ascitis quilosa
- Quilopericardio
- Quiloptisis
- Quiluria
- Quilo en el flujo vaginal
- Quilo en las heces
- Los angiomiolipomas (tumores grasos del riñón) están presentes en aproximadamente el 30% de los pacientes con LAM esporádica y hasta el 90% de los pacientes con TSC-LAM. [7] [8] Los angiomiolipomas a veces pueden sangrar espontáneamente, causando dolor o presión arterial baja.
- Los linfangiomas quísticos o ganglios linfáticos con centros hipodensos, que imitan linfomas necrosantes, cánceres de ovario o de riñón, u otras neoplasias malignas, pueden aparecer en el retroperitoneo, la pelvis o el mediastino.[9][10][11][12]
La destrucción pulmonar en LAM es una consecuencia de la infiltración difusa por células neoplásicas similares al músculo liso que invaden todas las estructuras pulmonares, incluidos los vasos linfáticos, las paredes de las vías respiratorias, los vasos sanguíneos y los espacios intersticiales.[13] Las consecuencias de la obstrucción de los vasos y las vías respiratorias incluyen acumulaciones de líquido quiloso, hemoptisis, obstrucción del flujo aéreo y neumotórax. El curso típico de la enfermedad muestra disnea progresiva con el esfuerzo, espaciada por neumotórax recurrentes y, en algunos pacientes, derrames pleurales quilosos o ascitis.[14]
La mayoría de las personas presentan disnea al realizar actividades cotidianas hasta 10 años después del inicio de los síntomas. Muchos pacientes requieren oxígeno suplementario durante ese intervalo.[5]
Genética
La LAM se presenta en dos contextos: en el complejo de esclerosis tuberosa (TSC-LAM) y en una forma esporádica, en mujeres que no tienen TSC (LAM esporádica).[15][16] En ambos entornos, la evidencia genética indica que LAM es causada por mutaciones inactivadoras o de "pérdida de función" en los genes TSC1 o TSC2, que fueron clonados en 1997 y 1993, respectivamente.[17] El gen TSC1 se encuentra en el brazo largo del cromosoma 9 (9q34) y el gen TSC2 se encuentra en el brazo corto del cromosoma 16 (16p13). La TSC-LAM se presenta en mujeres que tienen mutaciones de la línea germinal en el gen TSC1 o TSC2.[18]
La LAM esporádica se asocia principalmente con mutaciones somáticas del gen TSC2. [19][20] Las mutaciones de la línea germinal y somáticas en LAM incluyen muchos tipos de mutaciones distribuidas en los genes, sin "puntos calientes" claros, incluidos cambios sin sentido, deleciones en el marco de lectura y mutaciones sin sentido.[18][19][20] Debido al gran tamaño de los genes (juntos tienen más de 60 exones) y debido a que las mutaciones pueden localizarse prácticamente en cualquier lugar dentro de los genes, la detección de mutaciones suele ser un desafío.[cita requerida]
A nivel celular, las células LAM presentan una inactivación bialélica de los genes TSC2, en consonancia con el modelo de genes supresores de tumores de "dos impactos".[21] [22] El segundo evento clave en las células LAM es a menudo la pérdida de la región cromosómica que contiene la copia de tipo salvaje del gen TSC2 ; esto se conoce como pérdida de heterocigosidad o LOH.[23] La LOH se puede detectar en células LAM microdisecada,[19][24] en angiomiolipomas y ganglios linfáticos de mujeres con LAM, [25] y en células LAM circulantes (células en sangre y orina).[26][27]
Diagnóstico


La LAM puede requerir atención médica de varias maneras, la mayoría de las cuales desencadenan una tomografía computarizada de tórax. Los cambios quísticos de paredes delgadas en los pulmones pueden encontrarse incidentalmente en tomografías computarizadas del corazón, el tórax o el abdomen (en los cortes que incluyen las bases pulmonares) obtenidas para otros fines. Las TCAR de pacientes con CET revelan que aproximadamente el 20 % de las mujeres presentan cambios quísticos a los 20 años y aproximadamente el 80 % de las mujeres presentan cambios quísticos después de los 40 años.[28] En ocasiones, la LAM se detecta mediante una TC de tórax en pacientes que presentan un neumotórax espontáneo primario aparente, pero con mayor frecuencia no se solicita la TC (en los Estados Unidos) hasta que se producen recurrencias. La disnea progresiva con el esfuerzo sin las exacerbaciones y remisiones que son características del asma o la EPOC a veces requieren una tomografía computarizada de tórax. Una revisión de la TC por un experto familiarizado con LAM puede aumentar la precisión del diagnóstico.[29] El quilotórax también puede llamar la atención sobre LAM.
Véase también
- Tumor de células epitelioides perivasculares
Referencias
- ↑ a b Kitaichi, M; Nishimura, K; Itoh, H; Izumi, T (1995). «Pulmonary lymphangioleiomyomatosis: A report of 46 patients including a clinicopathologic study of prognostic factors». Am J Respir Crit Care Med 151 (2): 527-533. PMID 7842216. doi:10.1164/ajrccm.151.2.7842216.
- ↑ a b Taylor, JR; Ryu, J; Colby, TV; Raffin, TA (1990). «Lymphangioleiomyomatosis. Clinical course in 32 patients». N Engl J Med 323 (18): 1254-1260. PMID 2215609. doi:10.1056/nejm199011013231807.
- ↑ a b Chu, SC; Horiba, K; Usuki, J; Avila, NA; Chen, CC; Travis, WD; Ferrans, VJ; Moss, J (1999). «Comprehensive evaluation of 35 patients with lymphangioleiomyomatosis». Chest 115 (4): 1041-1052. PMID 10208206. doi:10.1378/chest.115.4.1041.
- ↑ a b c Urban, T; Lazor, R; Lacronique, J; Murris, M; Labrune, S; Valeyre, D; Cordier, JF (1999). «Pulmonary lymphangioleiomyomatosis. A study of 69 patients. Groupe d'Etudes et de Recherche sur les Maladies "Orphelines" Pulmonaires (GERM"O"P)». Medicine (Baltimore) 78 (5): 321-337. PMID 10499073. doi:10.1097/00005792-199909000-00004.
- ↑ a b Johnson, SR; Tattersfield, AE (2000). «Clinical experience of lymphangioleiomyomatosis in the UK». Thorax 55 (12): 1052-1057. PMC 1745654. PMID 11083892. doi:10.1136/thorax.55.12.1052.
- ↑ Almoosa, KF; Ryu, JH; Mendez, J; Huggins, JT; Young, LR; Sullivan, EJ; Maurer, J; McCormack, FX et al. (2006). «Management of pneumothorax in lymphangioleiomyomatosis: effects on recurrence and lung transplantation complications». Chest 129 (5): 1274-1281. PMID 16685019. doi:10.1378/chest.129.5.1274.
- ↑ Franz, DN; Brody, A; Meyer, C; Leonard, J; Chuck, G; Dabora, S; Sethuraman, G; Colby, TV et al. (2001). «Mutational and radiographic analysis of pulmonary disease consistent with lymphangioleiomyomatosis and micronodular pneumocyte hyperplasia in women with tuberous sclerosis». Am J Respir Crit Care Med 164 (4): 661-668. PMID 11520734. doi:10.1164/ajrccm.164.4.2011025.
- ↑ Ryu, JH; Moss, J; Beck, GJ; Lee, JC; Brown, KK; Chapman, JT; Finlay, GA; Olson, EJ et al. (2006). «The NHLBI lymphangioleiomyomatosis registry: characteristics of 230 patients at enrollment». Am J Respir Crit Care Med 173 (1): 105-111. PMC 2662978. PMID 16210669. doi:10.1164/rccm.200409-1298oc.
- ↑ Avila, NA; Bechtle, J; Dwyer, AJ; Ferrans, VJ; Moss, J (2001). «Lymphangioleiomyomatosis: CT of diurnal variation of lymphangioleiomyomatosis». Radiology 221 (2): 415-421. PMID 11687685. doi:10.1148/radiol.2212001448.
- ↑ Avila, NA; Dwyer, AJ; Rabel, A; Moss, J (2007). «Sporadic lymphangioleiomyomatosis and tuberous sclerosis complex with lymphangioleiomyomatosis: comparison of CT features». Radiology 242 (1): 277-285. PMC 2940246. PMID 17105849. doi:10.1148/radiol.2421051767.
- ↑ Avila, NA; Kelly, JA; Chu, SC; Dwyer, AJ; Moss, J (2000). «Lymphangioleiomyomatosis: abdominopelvic CT and US findings». Radiology 216 (1): 147-153. PMID 10887241. doi:10.1148/radiology.216.1.r00jl42147.
- ↑ Matsui, K; Tatsuguchi, A; Valencia, J; Yu, Z; Bechtle, J; Beasley, MB; Avila, NA; Travis, WD et al. (2000). «Extrapulmonary lymphangioleiomyomatosis (LAM): clinicopathologic features in 22 cases». Hum Pathol 31 (10): 1242-1248. PMID 11070117. doi:10.1053/hupa.2000.18500.
- ↑ Ferrans, VJ; Yu, ZX; Nelson, WK; Valencia, JC; Tatsuguchi, A; Avila, NA; Riemenschn, W; Matsui, K et al. (2000). «Lymphangioleiomyomatosis (LAM) (A review of clinical and morphological features)». Journal of Nippon Medical School 67 (1): 311-329. PMID 11031360. doi:10.1272/jnms.67.311.
- ↑ Taveira-DaSilva, AM; Steagall, WK; Moss, J (2006). «Lymphangioleiomyomatosis». Cancer Control 13 (4): 276-285. PMID 17075565. doi:10.1177/107327480601300405.
- ↑ Crino, PB; Nathanson, KL; Henske, EP (2006). «The tuberous sclerosis complex». N Engl J Med 355 (13): 1345-1356. PMID 17005952. doi:10.1056/nejmra055323.
- ↑ McCormack FX, Travis WD, Colby TV, Henske EP, Moss J (December 2012). «Lymphangioleiomyomatosis: calling it what it is: a low-grade, destructive, metastasizing neoplasm». Am. J. Respir. Crit. Care Med. 186 (12): 1210-2. PMC 3622443. PMID 23250499. doi:10.1164/rccm.201205-0848OE.
- ↑ van Slegtenhorst, M; de Hoogt, R; Hermans, C; Nellist, M; Janssen, B; Verhoef, S; Lindhout, D; van den Ouweland, A et al. (1997). «Identification of the tuberous sclerosis gene TSC1 on chromosome 9q34». Science 277 (5327): 805-808. PMID 9242607. doi:10.1126/science.277.5327.805.
- ↑ a b Strizheva, GD; Carsillo, T; Kruger, WD; Sullivan, EJ; Ryu, JH; Henske, EP (2001). «The spectrum of mutations in TSC1 and TSC2 in women with tuberous sclerosis and lymphangiomyomatosis». Am J Respir Crit Care Med 163 (1): 253-258. PMID 11208653. doi:10.1164/ajrccm.163.1.2005004.
- ↑ a b c Carsillo, T; Astrinidis, A; Henske, EP (2000). «Mutations in the tuberous sclerosis complex gene TSC2 are a cause of sporadic pulmonary lymphangioleiomyomatosis». Proc Natl Acad Sci U S A 97 (11): 6085-6090. Bibcode:2000PNAS...97.6085C. PMC 18562. PMID 10823953. doi:10.1073/pnas.97.11.6085.
- ↑ a b Badri, KR; Gao, L; Hyjek, E; Schuger, N; Schuger, L; Qin, W; Chekaluk, Y; Kwiatkowski, DJ et al. (2013). «Exonic mutations of TSC2/TSC1 are common but not seen in all sporadic pulmonary lymphangioleiomyomatosis». Am J Respir Crit Care Med 187 (6): 663-665. PMC 3733437. PMID 23504366. doi:10.1164/ajrccm.187.6.663.
- ↑ Knudson, AG Jr (1971). «Mutation and cancer: statistical study of retinoblastoma». Proc Natl Acad Sci U S A 68 (4): 820-823. Bibcode:1971PNAS...68..820K. PMC 389051. PMID 5279523. doi:10.1073/pnas.68.4.820.
- ↑ Knudson, AG (2001). «Two genetic hits (more or less) to cancer». Nat Rev Cancer 1 (2): 157-162. PMID 11905807. doi:10.1038/35101031.
- ↑ Henske, EP; Scheithauer, BW; Short, MP; Wollmann, R; Nahmias, J; Hornigold, N; van Slegtenhorst, M; Welsh, CT et al. (1996). «Allelic loss is frequent in tuberous sclerosis kidney lesions but rare in brain lesions». Am J Hum Genet 59 (2): 400-406. PMC 1914733. PMID 8755927.
- ↑ Yu, J; Astrinidis, A; Henske, EP (2001). «Chromosome 16 loss of heterozygosity in tuberous sclerosis and sporadic lymphangiomyomatosis». Am J Respir Crit Care Med 164 (8): 1537-1540. PMID 11704609. doi:10.1164/ajrccm.164.8.2104095.
- ↑ Smolarek, TA; Wessner, LL; McCormack, FX; Mylet, JC; Menon, AG; Henske, EP (1998). «Evidence that lymphangiomyomatosis is caused by TSC2 mutations: chromosome 16p13 loss of heterozygosity in angiomyolipomas and lymph nodes from women with lymphangiomyomatosis». Am J Hum Genet 62 (4): 810-815. PMC 1377043. PMID 9529362. doi:10.1086/301804.
- ↑ Crooks, DM; Pacheco-Rodriguez, G; DeCastro, RM; McCoy, JP; Wang, JA; Kumaki, F; Darling, T; Moss, J (2004). «Molecular and genetic analysis of disseminated neoplastic cells in lymphangioleiomyomatosis». Proc Natl Acad Sci U S A 101 (50): 17462-17467. Bibcode:2004PNAS..10117462C. PMC 536045. PMID 15583138. doi:10.1073/pnas.0407971101.
- ↑ Cai, X; Pacheco-Rodriguez, G; Fan, QY; Haughey, M; Samsel, L; El-Chemaly, S; Wu, HP; McCoy, JP et al. (2010). «Phenotypic characterization of disseminated cells with TSC2 loss of heterozygosity in patients with lymphangioleiomyomatosis». Am J Respir Crit Care Med 182 (11): 1410-1418. PMC 3029931. PMID 20639436. doi:10.1164/rccm.201003-0489oc.
- ↑ Cudzilo, CJ; Szczesniak, RD; Brody, AS; Rattan, MS; Krueger, DA; Bissler, JJ; Franz, DN; McCormack, FX et al. (2013). «Lymphangioleiomyomatosis screening in women with tuberous sclerosis». Chest 144 (2): 578-585. PMID 23539171. doi:10.1378/chest.12-2813.
- ↑ Gupta, N; Meraj, R; Tanase, D; James, LE; Seyama, K; Lynch, DA; Akira, M; Meyer, CA et al. (2015). «Accuracy of chest high-resolution computed tomography in diagnosing diffuse cystic lung diseases». Eur Respir J 46 (4): 1196-1199. PMID 26160866. doi:10.1183/13993003.00570-2015.
