Infarto

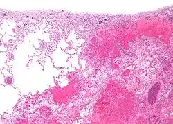
Micrografía de tejido pulmonar infartado (derecha de la imagen) junto a tejido pulmonar relativamente normal (izquierda de la imagen). Tinción H/E.

Se denomina infarto a la necrosis coagulativa por una lesión isquémica de un órgano (muerte de un tejido por falta de sangre y posteriormente oxígeno), generalmente por obstrucción de las arterias que lo irrigan, ya sea por elementos dentro de la luz del vaso, por ejemplo placas de ateroma, o por elementos externos (tumores que comprimen el vaso, por torsión de un órgano, hernia de un órgano a través de un orificio natural o patológico, etc.). El infarto al miocardio se produce al taponarse una arteria que lleva la sangre al corazón. Los infartos pueden producirse en cualquier órgano o músculo, pero los más frecuentes se presentan:

Si bien la mayoría de los infartos se originan por la obstrucción de una arteria (brazos, piernas, intestino, etc.), los infartos pulmonares pueden ser de origen venoso por cuanto la sangre de la arteria pulmonar procede directamente de la circulación venosa a través de las cavidades derechas del corazón y es capaz de llevar un trombo desde las venas de las extremidades o abdomen a ocluir un vaso arterial pulmonar.

En el lenguaje coloquial, cuando se menciona la palabra infarto sin mencionar a qué órgano se refiere, se da por entendido que se trata de un infarto agudo de miocardio.

Infarto del pulmón debido a embolia pulmonar.

Características electrocardiográficas

En cuanto a la manifestación en el electrocardiograma (ECG), un infarto se caracteriza por la tríada "ILI", aunque no se trata necesariamente de un proceso lineal, y en algunos casos solo representa un problema cardiovascular y no la génesis de un infarto:

  • Isquemia: se define como la falta de riego sanguíneo y, por tanto, de oxígeno que sufre el corazón al obstruirse las arterias coronarias, y se manifiesta en el ECG por una inversión en la onda T . En ocasiones, esta inversión de T no indica necesariamente la presencia de un infarto agudo de miocardio (IAM), sino tan solo un déficit de riego sanguíneo al corazón sin IAM.
  • Lesión: se produce lesión cuando el tejido cardíaco ha estado privado de riego sanguíneo efectivo; por lo tanto el tejido empieza a necrosarse. En el ECG se manifiesta por una elevación del segmento ST, por encima de los parámetros normales, el cual también puede deprimirse en el infarto subendocardíaco. Esta elevación del ST informa que el paciente está sufriendo un proceso agudo.
  • Infarto: se produce cuando el tejido cardíaco esta privado del aporte sanguíneo por presencia de trombo y/o ruptura de placa ateromatosa y/o contractura de arteria coronaria (angina de Prinz Metal). Hay que decir que los infartos de miocardio se producen en cualquier parte pero son más frecuentes en la parte izquierda, por ser ésta la de mayor espesor miocardial y trabajo físico. En el ECG se aprecia, además de la elevación del ST, la aparición de ondas Q diagnósticas, que son las que superan en longitud a 1/3 de las ondas R. En determinadas derivaciones es posible encontrar ondas Q no diagnósticas, esto es, ondas pequeñas que no implican la existencia de esta patología.

Primeros auxilios

Dependen del órgano afectado.

En el caso de infarto en el corazón, requieren los primeros auxilios para infarto de miocardio.

En el caso de infarto en el cerebro, requieren los primeros auxilios para accidente cerebrovascular.