Incompetencia cervical
| Incompetencia cervical | ||
|---|---|---|
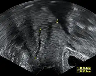
![]() Imagen de ultrasonido midiendo la longitud del cuello uterino en una mujer embarazada con sospecha de insuficiencia cervical | ||
| Especialidad | obstetricia y ginecología | |
| Sinónimos | ||
| Insuficiencia cervical, incompetencia istmicocervical | ||
La incompetencia del cuello uterino (o insuficiencia cervical) es una condición médica en la cual el cuello uterino de una mujer embarazada comienza a dilatarse o ensancharse y, al mismo tiempo, sus paredes adelgazan antes de la fecha probable de parto. Las definiciones de incompetencia cervical varían, pero una de las más usadas es la incapacidad del cuello uterino de retener el embarazo en ausencia de las señales y síntomas de contracciones clínicas, o trabajo de parto, o ambos en el segundo trimestre.[1] La incompetencia cervical puede causar un aborto espontáneo o un parto pretérmino durante el segundo y tercer trimestre. Otra señal de incompetencia cervical es una disminución en la longitud del orificio interno del útero, o canal cervical.[2]
La dilatación o incompetencia cervical puede ocurrir sin dolor o sin contracciones uterinas. En un embarazo normal, la dilatación y borramiento cervical ocurre en respuesta a las contracciones uterinas. La incompetencia cervical ocurre debido a debilidad del cuello uterino, el cual se dilatará de manera normal por la presión hacia el final del embarazo. Si estas respuestas del cuello uterino a la presión del embarazo no son detenidas en una mujer con incompetencia cervical, las membranas amnióticas rompen lo que puede conllevar a un nacimiento prematuro.
Según las estadísticas proporcionadas por la Clínica Mayo, la incompetencia cervical es relativamente infrecuente en los Estados Unidos, ocurriendo entre 1–2% de todos los embarazos, pero se piensa que son la causa de entre 20—25% de abortos espontáneos en el segundo trimestre.
Diagnóstico
La incompetencia cervical puede ser desafiante y está basada en antecedentes de dilatación cervical no dolorosa normalmente después del primer trimestre y sin contracciones o trabajo de parto y ante la ausencia de otra patología evidente. Además de estos antecedentes, se suele utilizar la longitud cervical medida en el segundo trimestre para identificar el acortamiento cervical con el uso de ultrasonido.[3] Aun así, una corta longitud cervical ha sido pronóstico o marcador de un parto prematuro y no necesariamente de incompetencia cervical. Otras pruebas diagnósticas sugeridas y que aún carecen de validación incluyen la histerosalpingografía e imágenes radiográficas de tracción por balón del cuello uterino, la valoración del patulous cervical con dilatadores de Hegar o Pratt, el uso de una prueba de elasticidad con balón, y uso de graduado de dilatadores cervicales para calcular un índice de resistencia cervical.[1]
Normalmente, el cuello uterino tiene al menos 30 mm de longitud. La definición de incompetencia varía. Aun así, una definición tradicional es aquella con una longitud cervical menor de 25 mm antes o para el momento de las 24 semanas de edad gestacional El riesgo de parto pretermino es inversamente proporcional a la longitud cervical:[4]
- Menos de 25 mm; 18% riesgo de preterm nacimiento
- Menos de 20 mm; 25% riesgo de preterm nacimiento
- Menos de 15 mm; 50% riesgo de preterm nacimiento
Factores de riesgo
Los principales factores de riesgo para nacimiento prematuro debido a una incompetencia cervical incluyen:[5]
- diagnóstico de incompetencia cervical en un embarazo anterior,
- antecedente de parto prematuro por ruptura de membranas,
- antecedente de biopsia cervical,
- exposición al medicamento dietilestilbestrol, el cual suele causar defectos anatómicos, y
- anomalías uterinas.
Ciertos procedimientos obstetricos usados de manera repetitiva, incluyendo la dilatación mecánica, especialmente durante embarazo tardío, puede crear un riesgo de insuficiencia cervical.[6] Además, cualquier trauma importante al cuello uterino puede debilitar los tejidos implicados en la aparición de insuficiencia cervical.
Tratamiento

La incompetencia cervical no suele ser tratada a menos que amenace con terminar de manera prematura el embarazo. La incompetencia cervical puede ser tratada utilizando cerclaje cervical, una técnica quirúrgica que refuerza el músculo cervical al colocar suturas por encima de la apertura cervical para hacer que el canal cervical sea más angosto.
El cerclage cervical es un procedimiento por el cual se cierra el canal cervical a través de la vagina con la ayuda de un espéculo. Otro abordaje implica aplicar el cerclage a través de una incisión abdominal. Este cerclaje transabdominal del cuello uterino permite colocar el punto de sutura exactamente en el nivel necesitado. Puede ser llevado a cabo cuándo el cuello uterino sea muy corto, ha sido borrado o esta totalmente distorsionado. Los cerclages suelen ser realizados entre las semanas 14 y 16 del embarazo. Las suturas se liberan entre semanas 36 y 38 para evitar problemas durante el trabajo de parto. Las complicaciones descritas en la literatura son infrecuentes, entre las citadas se encuentran: hemorragia al averiar las venas o pequeñas arterias para el momento del procedimiento; y muerte fetal debido a oclusión de los vasos sanguíneos uterinos.
No se encontraron diferencias significativas en el efecto sobre el embarazo en un estudio que evalúa los efectos posteriores a conizaciones cervicales. Los resultados de este estudio sugieren que las mujeres con insuficiencia cervical debido a una previa biopsia en cono, el cerclaje cervical no ofrece beneficios superiores a permanecer sin ninguna intervención.[7] En vista de que el cerclaje cervical puede inducir contracciones prematuras sin impedir el parto prematuro, se hace la recomendación que el cerclaje cervical sea utilizado con precaución en mujeres con antecedentes de conización.[8]
El uso de un pesario cervical está siendo estudiado como alternativa al cerclaje cervical en vista de la menor cantidad de complicaciones potenciales. El pesario cervical consiste en la colocación de un anillo de silicona sobre la apertura cervical temprano en el embarazo, el cual se remueve hacia el final del embarazo previo a la fecha probable de parto. Aún se necesitan más estudios para determinar si un pesario cervical tiene igual o superior efecto protector en comparación a los abordajes actuales.[9]
Notas
- ↑ a b American College of Obstetricians and, Gynecologists (Feb 2014). «ACOG Practice Bulletin No.142: Cerclage for the management of cervical insufficiency.». Obstetrics and gynecology 123 (2 Pt 1): 372-9. PMID 24451674. doi:10.1097/01.AOG.0000443276.68274.cc.
- ↑ Cervical assessment from Fetal Medicine Foundation.
- ↑ Macdonald, R; Smith, P; Vyas, S (Sep 2001). «Cervical incompetence: the use of transvaginal sonography to provide an objective diagnosis.». Ultrasound in obstetrics & gynecology : the official journal of the International Society of Ultrasound in Obstetrics and Gynecology 18 (3): 211-6. PMID 11555448. doi:10.1046/j.1469-0705.2001.00459.x.
- ↑ Cervical incompetence at Radiopedia.
- ↑ Althuisius SM, Dekker GA, Hummel P, Bekedam DJ & van Geijn HP (Nov 2001). «Final results of the Cervical Incompetence Prevention Randomized Cerclage Trial (CIPRACT): therapeutic cerclage with bed rest versus bed rest alone.». American Journal of Obstetrics & Gynecology (Academic Press) 185 (5): 1106-1112. PMID 11717642. doi:10.1067/mob.2001.118655.
- ↑ «Cervical Incompetence – Protocol for Management». PROTOCOL #40. Maternal Fetal Medicine, University of New Mexico. 3 de marzo de 2012. Archivado desde el original el 17 de junio de 2012.
- ↑ Armarnik, S; Sheiner, E; Piura, B; Meirovitz, M; Zlotnik, A; Levy, A (April 2011). «Obstetric outcome following cervical conization.». Archives of gynecology and obstetrics 283 (4): 765-9. PMID 21327802. doi:10.1007/s00404-011-1848-3.
- ↑ Zeisler, H; Joura, EA; Bancher-Todesca, D; Hanzal, E; Gitsch, G (July 1997). «Prophylactic cerclage in pregnancy. Effect in women with a history of conization.». The Journal of reproductive medicine 42 (7): 390-2. PMID 9252928.
- ↑ Abdel-Aleem, H; Shaaban, OM; Abdel-Aleem, MA (31 de mayo de 2013). «Cervical pessary for preventing preterm birth.». The Cochrane database of systematic reviews 5: CD007873. PMID 23728668. doi:10.1002/14651858.CD007873.pub3.
