Hipoplasia del nervio óptico
| Hipoplasia del nervio óptico | ||
|---|---|---|
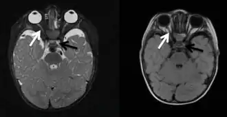
![]() Hipoplasia de nervio óptico señalada con una flecha blanca, la flecha negra señala aplasia chiasmal. | ||
| Especialidad | Genética médica, Oftalmología | |
| Síntomas | Nervio óptico poco desarrollado | |
| Complicaciones | Problemas con la visión | |
| Inicio habitual | Nacimiento | |
| Duración | De por vida | |
| Causas | Varias | |
| Factores de riesgo | Genética | |
| Diagnóstico | Examinación oftalmólogica | |
| Prevención | Ninguna | |
| Pronóstico | Variable entre personas | |
| Frecuencia | Aunque es la causa más común de ceguera infantil, sigue siendo infrecuente entre la población general, ocurriendo, por ejemplo, en el Noroeste de Inglaterra, 10.6 de cada 100,000 nacimientos vivos tienen HNO | |
| Tasa de letalidad | Baja, pero la pérdida de visión puede causar una complicación. | |
| Sinónimos | ||
| HNO (abbr.), Síndrome de DeMorsier, displasia septoóptica.[1] | ||
La hipoplasia del nervio óptico (HNO) es un defecto congénito el cual se caracteriza por la presencia de un nervio óptico pobremente/poco desarrollado. Se puede presentar en solo uno o en ambos ojos.
Signos y síntomas
Consiste en una cantidad más baja de lo normal de axones del nervio óptico,[2][3] se presenta principalmente en ambos nervios ópticos (bilateral).[4] Cuando se presenta en solo uno (unilateral), no se diagnóstica el problema hasta mas después en la vida. Los efectos que tiene en la visión varían entre personas con esta condición, algunas son ciegas y otras tienen una agudeza visual similar a la de una persona saludable con un nervio óptico correctamente desarrollado.
Junto con el nervio óptico mal desarrollado, también se pueden presentar otras anormalidades oculares, tales como el nistagmo o el estrabismo.
Se puede acompañar de otras anormalidades multisistémicas, estas incluyen:[5]
- Agenesia o hipoplasia del cuerpo calloso
- Agenesia o hipoplasia del septum pellucidum
- Disgenesis/plasia de la glándula pituitaria
- Esquizencefalia
- Heterotopia cortical
- Hipoplasia de la materia blanca
- Paquigiria
- Holoprosencefalia
Las anormalidades cerebrales, principalmente la agenesis/hipoplasia del cuerpo calloso, pueden traer como consecuencia a retrasos del desarrollo globales y discapacidades intelectuales.
De los retrasos del desarrollo, los retrasos motores son los más comunes, afectando al 75% de los niños con hipoplasia del nervio óptico, y los retrasos de comunicación son los menos comunes, afectando al 44%.
Causas
Esta condición tiene varias causas, las cuales incluyen mutaciones genéticas,[6] anormalidades durante la vida embrionica, etc.
Recurrencia a dar a luz por medio de cesárea de parte de la madre, complicaciones fetales-neonatales, nacimiento prematuro, sangrado vaginal durante el embarazo, un bajo aumento de peso durante el embarazo y/o perdida de peso durante el embarazo aumentan el chance de tener un hijo con hipoplasia de nervio óptico.[7]
Azuma et al. descubrió mutaciones en el gen PAX6, en el cromosoma 11 en pacientes suyos con hipoplasia de nervio óptico.[8]
Diagnóstico
Se puede diagnosticar por medio de examen oftalmológico. Esto no sería muy difícil, debido a que los nervios ópticos congénitamente pequeños (hipoplasia) tienen una apariencia diferente a los nervios ópticos que se hacen pequeños más tarde en la vida (atrofia).[4]
Se presentaría principalmente como un nervio óptico pequeño y pálido, puede haber un halo alrededor del nervio consistiendo en materia peripapilaria amarilla, lo cual es conocido como el signo de anillo doble.[9] También puede haber hipoplasia de las vasos sanguíneos de la retina, y adelgazamiento de la retina leve.[10]
Tratamiento
Esta condición no tiene una cura, pero si se puede tratar por medio de tratamientos tales como terapia física, ocupacional, y del habla para los problemas cerebrales usualmente asociados con la HNO, atención especial, etc.[4]
Pronóstico
Como se mencionó en la sección de síntomas, el pronóstico para la visión varia entre personas con HNO, algunas ni siquiera sabían que tenían un problema así, y otras son legal o funcionalmente ciegos
Prevalencia
La hipoplasia del nervio óptico es la causa más común de ceguera congénita/infantil, principalmente en los Estados Unidos.[11][6][12][13]
En el Noroeste de Inglaterra, 10.9 de cada 100 000 nacimientos vivos presentan hipoplasia del nervio óptico.[14]
Entre 1980 y 1990, 7.2 de cada 100 000 nacimientos vivos en Suecia presentaban hipoplasia del nervio óptico.[11]
Esta condición es menos común entre personas de origen étnico asiático en los Estados Unidos.
Véase también
Referencias
- ↑ https://rarediseases.org/rare-diseases/optic-nerve-hypoplasia/#:~:text=Optic%20nerve%20hypoplasia%20(ONH)%20is,the%20eye%20to%20the%20brain.
- ↑ «Optic Nerve Hypoplasia - EyeWiki». eyewiki.aao.org (en inglés). Consultado el 1 de julio de 2022.
- ↑ «Optic Nerve Hypoplasia - an overview | ScienceDirect Topics». www.sciencedirect.com. Consultado el 1 de julio de 2022.
- ↑ a b c Borchert, Mark; Garcia-Filion, Pamela (1 de septiembre de 2008). «The syndrome of optic nerve hypoplasia». Current Neurology and Neuroscience Reports (en inglés) 8 (5): 395-403. ISSN 1534-6293. doi:10.1007/s11910-008-0061-7. Consultado el 1 de julio de 2022.
- ↑ Garcia-Filion, Pamela; Epport, Karen; Nelson, Marvin; Azen, Colleen; Geffner, Mitchell E.; Fink, Cassandra; Borchert, Mark (1 de marzo de 2008). «Neuroradiographic, Endocrinologic, and Ophthalmic Correlates of Adverse Developmental Outcomes in Children With Optic Nerve Hypoplasia: A Prospective Study». Pediatrics 121 (3): e653-e659. ISSN 0031-4005. doi:10.1542/peds.2007-1825. Consultado el 1 de julio de 2022.
- ↑ a b Chen, Chun-An; Yin, Jiani; Lewis, Richard Alan; Schaaf, Christian P. (1 de julio de 2017). «Genetic causes of optic nerve hypoplasia». Journal of Medical Genetics (en inglés) 54 (7): 441-449. ISSN 0022-2593. PMID 28501829. doi:10.1136/jmedgenet-2017-104626. Consultado el 1 de julio de 2022.
- ↑ Ahmad, Tariq; Garcia-Filion, Pamela; Borchert, Mark; Kaufman, Francine; Burkett, Linda; Geffner, Mitchell (2006-01). «Endocrinological and Auxological Abnormalities in Young Children with Optic Nerve Hypoplasia: A Prospective Study». The Journal of Pediatrics 148 (1): 78-84. ISSN 0022-3476. doi:10.1016/j.jpeds.2005.08.050. Consultado el 1 de julio de 2022.
- ↑ Azuma, Noriyuki; Yamaguchi, Yuki; Handa, Hiroshi; Tadokoro, Keiko; Asaka, Atsuko; Kawase, Eriko; Yamada, Masao (2003-06). «Mutations of the PAX6 gene detected in patients with a variety of optic-nerve malformations». American Journal of Human Genetics 72 (6): 1565-1570. ISSN 0002-9297. PMC 1180317. PMID 12721955. doi:10.1086/375555. Consultado el 1 de julio de 2022.
- ↑ «Entry - #165550 - OPTIC NERVE HYPOPLASIA, BILATERAL - OMIM». omim.org (en inglés estadounidense). Consultado el 1 de julio de 2022.
- ↑ «Optic Nerve Hypoplasia - American Association for Pediatric Ophthalmology and Strabismus». aapos.org (en inglés). Consultado el 1 de julio de 2022.
- ↑ a b Ryabets-Lienhard, Anna; Stewart, Carly; Borchert, Mark; Geffner, Mitchell E. (2016-08). «The Optic Nerve Hypoplasia Spectrum: Review of the Literature and Clinical Guidelines». Advances in Pediatrics 63 (1): 127-146. ISSN 1878-1926. PMID 27426898. doi:10.1016/j.yapd.2016.04.009. Consultado el 1 de julio de 2022.
- ↑ Garcia-Filion, Pamela; Borchert, Mark (2013-2). «Optic Nerve Hypoplasia Syndrome: A Review of the Epidemiology and Clinical Associations». Current treatment options in neurology 15 (1): 78-89. ISSN 1092-8480. PMC 3576022. PMID 23233151. doi:10.1007/s11940-012-0209-2. Consultado el 1 de julio de 2022.
- ↑ «Optic Nerve Hypoplasia». Children’s Hospital Los Angeles (en inglés). 13 de mayo de 2015. Consultado el 1 de julio de 2022.
- ↑ Patel, Leena; McNally, Richard J. Q.; Harrison, Elizabeth; Lloyd, I. Christopher; Clayton, Peter E. (2006-01). «Geographical distribution of optic nerve hypoplasia and septo-optic dysplasia in Northwest England». The Journal of Pediatrics 148 (1): 85-88. ISSN 0022-3476. PMID 16423603. doi:10.1016/j.jpeds.2005.07.031. Consultado el 1 de julio de 2022.
