Hipomineralización de incisivos y molares
La hipomineralización de incisivos y molares es una enfermedad muy frecuente de las piezas dentales que afecta la calidad del esmalte dental, haciéndolo mucho más susceptibles a otros defectos como la erosión y la caries dental. Es un defecto cualitativo del esmalte debido a una perturbación durante la calcificación inicial y / o durante la maduración. Se afectan solo algunas piezas dentales y la zona de afectación en ellos puede variar en extensión. Es uno de los principales motivos por el que se realizan endodoncias en niños menores de 10 años. Las piezas dentales afectadas por la hipomineralización son principalmente los molares permanentes e incisivos permanentes, ya sea de manera individual o en alguna combinación, el defecto puede aparecer también en la dentición temporal.[1]
Etiología

Son varias las posibles causas que provocan la aparición de la hipomineralización dental. Las teorías actuales apuntan a que se trata de una combinación de factores orgánicos y ambientales.[7] Entre estas causas figuran:
- Exposición a altas dosis de dioxinas o PCB en la leche materna, en lactancias de duración superior a los 9 meses.[7] Las dioxinas constituyen un grupo de compuestos químicos conocidos como contaminantes ambientales persistentes. Son fundamentalmente subproductos de procesos industriales, pero también pueden producirse en procesos naturales como las erupciones volcánicas y los incendios forestales.[8][9]
- Ciertas enfermedades infecciosas durante los tres primeros años de vida, tales como la escarlatina, las paperas, el sarampión o la difteria.[7]
- El uso prolongado o de manera repetida de ciertos antibióticos.[1]
- Deficiente mineralización provocada por una enfermedad celíaca no diagnosticada o tardíamente detectada,[2][3][4][5][7] la deficiencia de vitamina D, el hipoparatiroidismo, la desnutrición o la malabsorción.[7] Los pacientes con defectos del esmalte dental deben ser evaluados para buscar una posible enfermedad celíaca no reconocida, la cual cursa con frecuencia sin síntomas digestivos.[4][6] La hipomineralización dental puede constituir el único signo que indique su presencia, en ausencia de cualquier otro signo o síntoma. No obstante, la gran mayoría de los dentistas desconocen su posible relación con la enfermedad celíaca y la atribuyen por error a una fluorosis, a que la madre tomó tetraciclina durante el embarazo o a enfermedades durante edades tempranas.[2]
- Nacimiento prematuro, bajo peso al nacer, privación de oxígeno durante el parto y problemas respiratorios crónicos que provocan baja oxigenación continuada, tales como el asma.[1][7]
Existe una fuerte relación entre la presencia de hipomineralización en la dentición temporal y la permanente. Esto significa que si la hipomineralización está presente en la dentición temporal, es mucho más probable que se presente en la permanente.[1]
Cuadro clínico




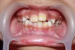
Clínicamente, los defectos en el esmalte pueden variar en tono de color de blanco a amarillo marrón, pero siempre muestran una fuerte demarcación entre el esmalte afectado y el normal, es decir, que a diferencia de la fluorosis dental que las manchas que aparecen son difusas, en la hipomineralización aparecen con una delimitación bien marcada. La superficie del esmalte dental se desarrolla inicialmente con un grosor normal, pero puede fracturarse fácilmente bajo fuerzas masticatorias, lo que predispone al desarrollo de caries que evolucionan con rapidez.
Este tipo de lesiones son las principales causas de necesidad de un tratamiento de endodoncia en niños de los 7 a los 10 años principalmente, y que lo más importante, el conocimiento de la aparición de estas alteraciones del esmalte, puede ayudar de una manera muy notable y sencilla la prevención de estas complicaciones.[9] Los síntomas consisten principalmente en sensibilidad de los dientes afectados, sobre todo tras la ingesta de alimentos fríos, dulces y alimentos ácidos. Durante el cepillado dental existe gran sensibilidad, por lo que aumenta más el riesgo de caries dental debido al descuido en la higiene que esto provoca. Esto, debido a la irritación crónica que recibe la pulpa dental a través de la zona afectada, es tan característico que incluso bajo anestesia cuando se va a realizar un tratamiento dental la sensibilidad o incluso el dolor persiste.[10]
Tratamiento
Generalmente los tratamientos más indicados en este tipo de alteraciones son de manera interina o temporal debido a las características que el esmalte dental presenta. Las restauraciones comunes en cualquier tipo de cavidad son las resinas, sin embargo, dado que la estructura del esmalte es defectuosa, la adhesión de estos materiales e incluso de la amalgama dental está afectada, provocando desajustes rápidos y fallas de este tipo de restauraciones, aumentando el riesgo de complicaciones futuras.
De los materiales de restauración más recomendados son los llamados ionómeros de vidrio, que tienen la característica de tener una mejor unión al esmalte aun afectado y además de liberar flúor de manera continua, lo que ayuda a la remineralización de las zonas afectadas mejorando el pronóstico de éxito del tratamiento, y así, una vez controlada el avance de la lesión se realiza una restauración final que más se ajuste a cada caso.[10]
Pronóstico
Los defectos del esmalte dental, una vez instaurados, son irreversibles.[2] El mejor pronóstico se consigue con un diagnóstico precoz y un correcto tratamiento a corto, medio y largo plazo, para prevenir el desarrollo de caries mediante el sellado de fisuras y la erosión causada por la masticación. Gran parte del éxito depende de un correcto manejo por parte de las personas afectada y en su caso de los padres. Para esto, existen varias opciones de manejo preventivo en casa que incluyen enjuagues bucales, barnices y cremas dentales remineralizantes.[7]
Cuando la causa es una enfermedad celíaca no diagnosticada, el tratamiento con la dieta sin gluten no permite su recuperación, pero pueden ser evitados con un diagnóstico a tiempo.[2][3][4] El mayor conocimiento por parte de los dentistas, cuyo papel es clave para orientar el diagnóstico especialmente en los casos en los que no hay síntomas digestivos, es fundamental para poder evitar las numerosas complicaciones que produce la enfermedad celíaca no diagnosticada ni tratada, y que pueden afectar no solo a la mineralización dental sino a cualquier órgano del cuerpo, incluyendo distintos tipos de cánceres.[2][3][4][6][11]
Véase también
Referencias
- ↑ a b c d Crombie F, Manton D, Kilpatrick N (marzo de 2009). «Aetiology of molar-incisor hypomineralization: a critical review». Int J Paediatr Dent (Revisión) 19 (2): 73-83. PMID 19250392. doi:10.1111/j.1365-263X.2008.00966.x.
- ↑ a b c d e f National Institutes of Health (NIH). «Dental Enamel Defects and Celiac Disease». Archivado desde el original el 17 de junio de 2016. Consultado el 5 de marzo de 2016. «Tooth defects that result from celiac disease may resemble those caused by too much fluoride or a maternal or early childhood illness. Dentists mostly say it’s from fluoride, that the mother took tetracycline, or that there was an illness early on».
- ↑ a b c d Ferraz EG, Campos Ede J, Sarmento VA, Silva LR (2012 Nov-Dec). «The oral manifestations of celiac disease: information for the pediatric dentist». Pediatr Dent (Revisión) 34 (7): 485-8. PMID 23265166. «The presence of these clinical features in children may signal the need for early investigation of possible celiac disease, especially in asymptomatic cases. (...) Pediatric dentists must recognize typical oral lesions, especially those associated with nutritional deficiencies, and should suspect the presence of celiac disease, which can change the disease’s course and patient’s prognosis.»
- ↑ a b c d e Rashid M, Zarkadas M, Anca A, Limeback H (2011). «Oral manifestations of celiac disease: a clinical guide for dentists». J Can Dent Assoc (Revisión) 77: b39. PMID 21507289. «Delays in diagnosis can lead to a variety of complications, including nutritional deficiencies, such as anemia and osteoporosis, reproductive disorders, increased risk of developing other autoimmune disorders and intestinal lymphoma.»
- ↑ a b Giuca MR, Cei G, Gigli F, Gandini P (enero-febrero de 2010). «Oral signs in the diagnosis of celiac disease: review of the literature». Minerva Stomatol (Revisión) 59 (1-2): 33-43. PMID 20212408. «There are enough evidence making the correlation between CD and oral defects scientifically sustainable. This recognition should lead dentists to play more significant roles in screening for CD, as otherwise, if not properly diagnosed and not treated with a gluten-free diet, may eventually cause some malignancies.»
- ↑ a b c Pastore L, Carroccio A, Compilato D, Panzarella V, Serpico R, Lo Muzio L (marzo de 2008). «Oral manifestations of celiac disease». J Clin Gastroenterol (Revisión) 42 (3): 224-32. PMID 18223505. doi:10.1097/MCG.0b013e318074dd98. «Patients with systematic dental enamel defects should be screened for CD even in the absence of gastrointestinal symptoms.»
- ↑ a b c d e f g Mast P, Rodriguez Tapia MT, Daeniker L, Krejci I (septiembre de 2013). «Understanding MIH: definition, epidemiology, differential diagnosis and new treatment guidelines». Eur J Paediatr Dent (Revisión) 14 (3): 204-8. PMID 24295005. Archivado desde el original el 5 de octubre de 2016. Consultado el 5 de marzo de 2016.
- ↑ Organización Mundial de la Salud, consultado el 4 de marzo de 2016.
- ↑ a b Increase in severity of molar–incisor hypomineralization and its relationship with the colour of enamel opacity: a prospective cohort study. Cristiane M. Da Costa-Silva, Glaucia M. B. Ambrosano, Fabiano Jeremias, Juliana F. De Souza, Fa ́ Bio L. Mialhe. International Journal of Paediatric Dentistry, abril 2011.
- ↑ a b Molar Incisor Hypomineralization William et al. Pediatric Dentistry – 28:3 2006
- ↑ Debra Marcos Fonalleras, Ana Sánchez Garrido, Óscar González Bernardo, Luis Rodrigo Sáez (2005). «Manual del Residente de Aparato Digestivo - Capítulo 29. Enfermedad celíaca». ENE.
Bibliografía
- Bacteria in dentin of molars diagnosed MIH T. G. Fagrell et al. International Journal of Paediatric Dentistry 2008; 18: 333– 340