Deficiencia de cobre

Deficiencia de cobre
Especialidad endocrinología

La deficiencia de cobre es un desorden sanguíneo y neurológico raro.[1][2][3]​ El síndrome degenerativo causado por la deficiencia de cobre se conoce desde hace tiempo en rumiantes, en los cuales es conocido como lordosis.[3]​ La enfermedad comprende una deficiencia nutricional de cobre, un elemento traza.[3]​ Éste es un elemento ubicuo y el requerimiento diario es bajo por lo que sufrir de esta deficiencia es un evento muy raro. Se puede manifestar en paralelo con la deficiencia de vitamina B12 e intoxicación por zinc.[2]​ La causa más común de deficiencia de cobre es una operación gastrointestinal de larga data, tal como un bypass gástrico, otras posibles causas son un síndrome de mala absorción de cobre o una intoxicación con zinc. La enfermedad de Menkes es una variante de la deficiencia de cobre que involucra a una gran variedad de síntomas,[4]​ se trata de un desorden genético congénito muy frecuentemente fatal.[4]

El cobre está involucrado en el funcionamiento normal de varias enzimas de las cuales es cofactor, tales como la citocromo c oxidasa (que forma parte del complejo IV en la cadena de transporte de electrones mitocondrial), la ceruloplasmina, la Cu/Zn Superóxido dismutasa y la monoamino oxidasas.[3]​ Estas enzimas catalizan respectivamente reacciones de fosforilación oxidativa, transporte de hierro, captura y neutralización de radicales libres actuando como antioxidante y síntesis de neurotransmisores.[3]​ Una dieta regular contiene una cantidad variable de cobre, pero puede proveer hasta 5 mg/día, de los cuales solamente el 20-50% son absorbidos.[2]​ Las dietas de personas mayores han mostrado tener cantidades diarias de cobre más bajas de lo habitual.[2]​ Puede ser hallado en granos de cereal, legumbres, ostras, vísceras (hígado), cerezas, chocolate negro, frutas, vegetales de hojas verdes, frutos secos, aves de corral, ciruelas pasas y productos de soja como el tofu.[5]​ La deficiencia de cobre puede causar varias manifestaciones hematológicas, tales como anemia, leucopenia y neutropenia.[2]​ Esta deficiencia se conoce de larga data por causar síndrome mielodisplásico (cuando la sangre manifiesta indicaciones del desarrollo de una posible leucemia futura), pero no fue sino hasta el año 2001 que fue asociada con manifestaciones neurológicas. Entre estas últimas se pueden contar ataxia, neuropatía y mielopatía.[3]

Síntomas

Presentación hematológica

La mayoría de los afectados presentan cansancio, fatiga y pequeños mareos. Estos son síntomas comunes de la anemia. Aproximadamente la mitad presenta algún tipo de anemia con

Frotis de sideroblastos anillados 2010-01-13

una marcada cantidad reducida de leucocitos llamada "leucopenia".[1][2][6]​ Sumado a esto, muchos pacientes tienen deficiencia en neutrófilos (neutropenia).[2][6]​ La neutropenia se ha vuelto un sello distintivo hematológico, permitiendo a los médicos investigar la deficiencia de cobre como un diagnóstico.[6]​ Se manifiestan todos los tipos de anemia, incluyendo microcítica (eritrocitos pequeños), macrocítica (eritrocitos grandes que dejan poca cantidad de hemoglobina por unidad de volumen en sangre) y normocítica (una deficiencia en eritrocitos de tamaño normal).[1][6]​ Es raro que se presente trombocitopenia, que es un síndrome de menor cantidad de plaquetas que lleva a alentar la coagulación y a un sangrado anormal.[2][6]​ Usualmente, si la prolongada deficiencia de cobre persiste, se manifesta la trombocitopenia.[6]​ Muchas veces, durante la biopsia de médula ósea se presenta disminución en la maduración de granulocitos (leucocitos granulados que incluyen neutrófilos, eosinófilos y basófilos), vacuolización de precursores de eritrocitos, y sideroblastos anillados.[1][2][6]​ Estos tienen patrones inusuales de hierro agrupados en la mitocondria que son visibles cuando la célula está manchada, recibiendo el nombre de "anillo" sideroblasto.[3][7]​ La degeneración combinada subaguda es también una degeneración de la médula espinal, pero en vez de ser causada por la deficiencia de cobre, lo es por la de vitamina B12.[2][3]​ Estos hallazgos en la médula ósea pueden llevar al diagnóstico de Síndrome mielodisplásico,[1][6]​ llamado a veces "preleucemia"[8]​ al desarrollarse, usualmente, en una forma de leucemia.[8]​ La mayoría de la gente que es diagnosticada con este síndrome tendrá que someterse a un trasplante de célula madre.[8]​ Un temprano diagnóstico de deficiencia de cobre es crucial para prevenir dolorosas e innecesarias operaciones, tales como la biopsia de médula ósea.

Presentación neurológica

La deficiencia de cobre puede causar una variedad de problemas neurológicos incluyendo Síndrome mielodisplásico, neuropatía periférica y neuropatía óptica.[3][6]

Síndrome mielopático (mielopatía)

Los que lo sufren típicamente presentan dificultades al caminar causadas por ataxia debida a la disfunción de la columna vertebral[6]​ o la degeneración de la médula espinal.[3][9]​ Los pacientes con paso atáxico tienen problemas de equilibrio y presentan un andar largo e inestable. Con frecuencia sienten temblores en el torso, causando sacudidas laterales y frontales.[10]​ En las imágenes por resonancias magnéticas (IRM) medulares, hay un aumento en la intensidad de la señal en las columnas posteriores de la médula causada por deficiencia de cobre.[3][6][11]​ Esto es, generalmente, un indicador de algún tipo de neurodegeneración. Hay algunos cambios en la IRM de médula espinal que involucran segmentos torácicos, cervicales o ambos.[3][6]

Este síndrome es a veces comparado con la degeneración combinada subaguda.[9]​ Ésta también es una degeneración de la médula espinal, pero la causante es la deficiencia de vitamina B12.[3]​ En las IRM también se presentan como áreas hiperintensas en la parte posterior de la médula (cordones posteriores) tal como lo hace con la deficiencia de cobre.[11]

Neuropatía periférica

Es otro síntoma común de la deficiencia de cobre, que es un adormecimiento o cosquilleo que puede empezar en las extremidades y, algunas veces, avanzar radialmente hacia adentro del torso.[6][12]​ En un caso reportado en Avances en Neurociencia Clínica y Rehabilitación (ANCR, publicación británica), los síntomas neurológicos de un paciente de 69 años habían empeorado progresivamente.[13]​ Estos incluían reflejos disminuidos de las extremidades superiores con reflejos anormales en las inferiores, sensación al mínimo roce y la respuesta a la punción disminuida por encima de la cintura, sensación de vibración perdida en el esternón, y propiocepción marcadamente reducida.[13]​ Mucha gente que sufre los efectos neurológicos de la deficiencia de cobre se queja de síntomas idénticos o muy similares a los de dicho paciente.[3][12]​ Este adormecimiento y hormigueo presentan un peligro para las personas mayores porque incrementa el riesgo de caídas y lesiones. Esta neuropatía puede discapacitar mucho a algunos pacientes dependiendo de una silla de ruedas o andadores si no hay un correcto diagnóstico. Esta deficiencia raramente puede causar mayores síntomas que afecten la motricidad. Tendrá que estar presente por una cantidad excesiva de tiempo hasta que estas condiciones se manifiesten.

Neuropatía óptica

Algunos pacientes que sufren deficiencia de cobre muestran signos de pérdida de visión y color.[12]​ La primera es usualmente perdida en la parte periférica del ojo.[12]​ La pérdida bilateral de la visión es usualmente muy gradual.[12]​ Una tomografía de coherencia óptica (TCO) muestra la pérdida de alguna capa de fibra nerviosa en la mayoría de los casos, sugiriendo que la pérdida de visión y color es secundaria a la neuropatía óptica o neurodegeneración.[12]

Causas

Cirugía

La cirugía bariátrica es una causa común de deficiencia de cobre.[1][3]​ Estas intervenciones, tales como el bypass gástrico, son usualmente utilizadas para el control de peso en obesidad mórbida. Los trastornos sufridos por los intestinos y estómago en la operación pueden causar dificultades de absorción no sólo en el cobre sino también en el hierro, vitamina B12 y otros varios nutrientes.[3]

Intoxicación de zinc

El incrementado consumo de zinc es otra causa de deficiencia de cobre.[6]​ Usualmente es usado para la prevención o tratamiento de resfríos y sinusitis (inflamación de los senos nasales debida a una infección), úlceras, anemia de células falciformes, celiaquía, discapacidad en la memoria y acné.[6]​ El zinc es encontrado en la mayoría de los suplementos vitamínicos y en cremas de prótesis dentales.[6][14]​ Estas cremas fueron acusadas recientemente de causar, en sus consumidores, problemas neurológicos tales como adormecimientos, cosquilleos, debilidad muscular y anemia.[14]

Desórdenes hereditarios

Enfermedad de Menkes mostrando síntomas de cabello ralo, pálido y color acerado

La enfermedad de Menkes es una enfermedad congénita que es una causa de la deficiencia de cobre.[4][6][15]​ Envuelve una gran cantidad de síntomas incluyendo blando tono muscular, convulsiones, temperatura baja anormal, y un peculiar color acerado de cabello que se siente muy áspero.[4][15]​ Esta enfermedad es usualmente fatal, matando a la mayoría de los niños que la tiene dentro de los diez años de vida.[4][15]

Otros

Raramente se sugiere que el exceso de hierro cause síndrome mielodisplásico por deficiencia de cobre.[3]​ Otra causa extraña es la celiaquía, probablemente debido a la mala absorción en los intestinos.[3]​ Aún un largo porcentaje (cerca del 20%) de casos son por causas desconocidas.[3]

Etiología bioquímica

El cobre funciona como un grupo prostético, lo que permite transferencias de elección en los caminos enzimáticos claves como la cadena de transporte de electrones.[2][3]​ El cobre está integrado en las enzimas citocromo c oxidasa que están envueltas en la respiración celular y en la fosforilación oxidativa, Cu/Zn Superóxido dismutasa que se encuentra en la defensa antioxidante, y muchas más listadas en la tabla siguiente.[2]

Varias enzimas dependientes del cobre y sus funciones[3]
Grupo Enzima Función
Oxidasas Monoamino oxidasa que contiene Flavin Metabolismo de neurotransmisores: noradrenalina, dopamina, serotonina y algunos aminos dietarios.
Proteína-Lisina 6-Oxidasa Síntesis de tejido conjuntivo- reticulación de colágeno y elastina
Monoamino oxidasa con contenido de cobre Metabolismo de aminas- histaminas, putrescinas, cadaverinas
Citocromo c oxidasa Fosforilación oxidativa, transporte de electrones en la membrana mitocondrial
Superóxido dismutasa (Cu/Zn dismutasa) Antioxidante y buscador de radicales libres, oxida peligrosos superóxidos a peróxido de hidrógeno más seguro.
Ferroxidasa I (ceruloplasmina) Transporte de hierro-oxidación de Fe2+ a Fe 3+, transporte y almacenamiento de cobre, antioxidante y neutralizador de radicales libres
Hefaestina (Ferroxidasa) Transporte de hierro-oxidación de Fe2+ a Fe 3+ en células intestinales permitiendo la absorción de hierro.
Mono-oxigenasas Dopamina-beta-monooxigenasa Conversión de dopamina a noradrenalina
Monooxigenasa peptidilglicina Maduración de hormonas peptídicas- amidación de ácido carboxílico de posición alfa de grupo de glicina
Monofenol Monooxigenasa (Tirosinasa) Síntesis de melanina
Ciclo de metilación Metionina sintasa Transferencia del grupo metil de metiltetrahidrofolato a homocisteína para generar metionina para el ciclo de metilación y tetrahidrofolato para la síntesis de purina.
Adenosilhomociesteína (S-Adenosil L-homocisteína) Regeneración of homocisteína a partir de adenosilhomociesteína (S-Adenosil L-homocisteína) en el ciclo de metilación

Etiología neurológica

Mecanismo citocromo c oxidasa en membrana mitocondrial

Citocromo c Oxidasa

Ha habido varias hipótesis acerca del rol del cobre y algunas de sus manifestaciones neurológicas. Algunos sugieren que los trastornos en la enzima citocromo c oxidasa (también conocida como complejo IV) de la cadena de transportes de electrones, son responsables de la degeneración de la médula espinal.[3][9]

Ciclo de metilación

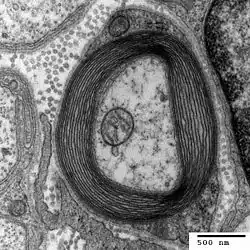
Neurona mielinizada

Otra hipótesis es que el síndrome mielodisplásico producido por deficiencia de cobre es causado por trastornos en el ciclo de metilación.[9]​ Este ciclo causa una transferencia de un grupo metilo (-CH3) de metiltetrahidrofolato a un rango de macromoléculas a causa de la sospechada enzima cuprodependiente metionina sintasa.[9]​ Este ciclo es capaz de producir purinas, que son un componente de los nucleótidos base del ADN y también de la mielina.[9]​ La médula espinal está rodeada de una capa de recubrimiento de una proteína protectora llamada mielina (ver figura). Cuando esta enzima metionina sintasa sufre algún trastorno, la metilación decrece y la mielina de la médula espinal se daña. Este ciclo, a la larga, causa mielopatía.[9]

Etiología hematológica

Transporte de hierro

Se cree que la anemia causada por deficiencia de cobre se debe a un daño en el transporte del hierro. La hefaestina es una enzima ferroxidasa que contiene cobre, localizada en la mucosa duodenal, que oxida el hierro y facilita su transportación a través de la membrana basolateral hacia la circulación.[1]​ Otra enzima transportadora del hierro es la ceruloplasmina,[1]​ que es requerida para movilizar el hierro desde la célula retículo endotelial al plasma.[1]​ La ceruloplasmina también oxida el hierro desde su estado ferroso hasta la forma férrica que es requerida para la fijación del hierro.[4]​ El daño en estas encimas cuprodependientes que transportan hierro puede causar una anemia ferropénica secundaria.[1]​ Otra especulación para la causa de anemia envuelve a la enzima mitocondrial citocromo c oxidasa (complejo IV en la cadena de transporte de electrones). Estudios han mostrado que animales con esta enzima dañada fallan en sintetizar hemo desde Fe3+ a una tasa normal.[1]​ La baja tasa de enzimas puede también causar que el exceso de hierro se apelotone, dándole al hemo una forma inusual.[1]​ Esto es también conocido como anemia sideroblástica.

Crecimiento celular detenido

La causa de neutropenia todavía no es clara; sin embargo, la detención en el crecimiento de los mielocitos (células de la médula ósea) maduros, o precursores de neutrófilos, puede causar deficiencia de neutrófilos.[1][2]

Intoxicación de zinc

Esto puede causar anemia al bloquear la absorción de cobre desde el estómago y duodeno.[3]​ El zinc también regula la expresión de metalotioneínas quelantes en enterocitos, que son la mayoría de las células en el epitelio intestinal.[3]​ Puesto que el cobre tiene una mayor afinidad por metalotioneínas que el zinc, aquel permanecerá dentro del enterocito, que será eliminado luego a través del lumen.[3]​ Este mecanismo es aprovechado terapéuticamente para lograr un balance negativo en la Enfermedad de Wilson, que envuelve el exceso de cobre.[3]

Tratamiento

La deficiencia de cobre es una enfermedad muy rara y suele ser mal diagnosticada por los médicos, antes de dar con el diagnóstico correcto mediante diferentes estudios. La determinación de cobre en suero y la biopsia de médula ósea son por lo general pruebas concluyentes. En promedio, los pacientes reciben un diagnóstico correcto alrededor de 1.1 años después de que hayan comunicado los primeros síntomas al médico.[3]​ Puede ser tratada con suplementos de cobre, ya sea orales o intravenosos.[6]​ Si se presenta intoxicación de zinc, la discontinuación del mismo puede ser suficiente para restaurar los niveles normales de cobre, pero esto usualmente es un proceso bastante lento.[6]​ Es probable que las personas que sufren este tipo de intoxicación deban tomar suplementos de cobre además de cesar en el consumo de zinc. Las manifestaciones hematológicas, por lo general, se corrigen bastante rápidamente[6]​ El agravamiento de los síntomas neurológicos también cesa, pero no siempre se vuelve a un funcionamiento normal.[6]

Referencias

  1. a b c d e f g h i j k l m Klevay, L. M. (2006). "Myelodysplasia," myeloneuropathy, and copper deficiency. Mayo Clinic Proceedings, 81(1), 132-132.
  2. a b c d e f g h i j k l m Halfdanarson, T. R., Kumar, N., Li, C. Y., Phyliky, R. L., & Hogan, W. J. (2008). Hematological manifestations of copper deficiency: a retrospective review. [Article]. European Journal of Haematology, 80(6), 523-531.
  3. a b c d e f g h i j k l m n ñ o p q r s t u v w x y z Jaiser, S. R., & Winston, G. P. (2010). Copper deficiency myelopathy. [Review]. Journal of Neurology, 257(6), 869-881.
  4. a b c d e f Kodama, H., & Fujisawa, C. (2009). Copper metabolism and inherited copper transport disorders: molecular mechanisms, screening, and treatment. Metallomics, 1(1), 42-52.
  5. Copper Information: Benefits, Deficiencies, Food Sources. http://www.healthvitaminsguide.com/minerals/copper.htm
  6. a b c d e f g h i j k l m n ñ o p q r s t Kumar, N. (2006). Copper deficiency myelopathy (human swayback). Mayo Clinic Proceedings, 81(10), 1371-1384.
  7. Iolascon, A., De Falco, L., & Beaumont, C. (2009). Molecular basis of inherited microcytic anemia due to defects in iron acquisition or heme synthesis. Haematologica-the Hematology Journal, 94(3), 395-408.
  8. a b c Myelodysplastic Syndromes. The Leukemia and Lymphoma Society, http://www.leukemia-lymphoma.org/all_page?item_id=55442.
  9. a b c d e f g Jaiser, S. R., & Winston, G. P. (2008). Copper deficiency myelopathy and subacute combined degeneration of the cord: why is the phenotype so similar? Journal of Neurology, 255, P569.
  10. Ataxic Gait Demonstration. Online Medical Video. http://www.youtube.com/watch?v=FpiEprzObIU&feature=related
  11. a b Bolamperti, L., Leone, M. A., Stecco, A., Reggiani, M., Pirisi, M., Carriero, A., et al. (2009). Myeloneuropathy due to copper deficiency: clinical and MRI findings after copper supplementation. [Article]. Neurological Sciences, 30(6), 521-524.
  12. a b c d e f Pineles, S. L., Wilson, C. A., Balcer, L. J., Slater, R., & Galetta, S. L. (2010). Combined Optic Neuropathy and Myelopathy Secondary to Copper Deficiency. [Review]. Survey of Ophthalmology, 55(4), 386-392.
  13. a b Jaiser, Stephan R. and Duddy, R. Copper Deficiency Masquerading as Subacute Combined Degeneration of the Cord and Myelodysplastic Syndrome. Advances in clinical neuroscience and rehabilitation, http://www.acnr.co.uk/JA07/ACNR_JA07_abnwinner.pdf
  14. a b Hedera, P., Peltier, A., Fink, J. K., Wilcock, S., London, Z., & Brewer, G. J. (2009). Myelopolyneuropathy and pancytopenia due to copper deficiency and high zinc levels of unknown origin II. The denture cream is a primary source of excessive zinc. [Article]. Neurotoxicology (Amsterdam), 30(6), 996-999.
  15. a b c Kaler, S. G., Liew, C. J., Donsante, A., Hicks, J. D., Sato, S., & Greenfield, J. C. (2010). Molecular correlates of epilepsy in early diagnosed and treated Menkes disease. Journal of Inherited Metabolic Disease, 33(5), 583-589.