Hidrocistoma
| Hidrocistoma | ||
|---|---|---|
|
| ||
| Especialidad | patología | |
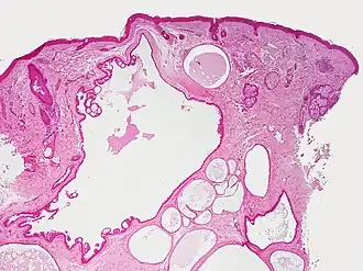
El hidrocistoma (también conocido como cistoadenoma,[1] quiste de las glándulas de Moll,[1] o quiste sudorífero[1]) es un adenoma de las glándulas sudoríparas.[2] : 787
Definición

Los hidrocistomas son quistes de los conductos del sudor, generalmente en los párpados.[3] : 664 No son tumores.
Hay tres tipos de glándulas sudoríparas: las glándulas sudoríparas verdaderas o ecrinas; glándulas sebáceas, que tienen una secreción grasa alrededor de los folículos pilosos; y glándulas apocrinas que tienen un producto más graso que las glándulas ecrinas y se encuentran en la cara, axila e ingle.
Generalmente surgen de las glándulas apocrinas. También se les llaman quistes de Moll o quistes sudoríferos. Puede haber un tipo de hidroadenoma que surge de las glándulas ecrinas, pero estos son poco comunes.
Otras afecciones relacionadas con los párpados incluyen chalazión (una reacción granulomatosa a las glándulas sebáceas en el párpado), quistes del conducto lagrimal (relacionados con los conductos lagrimales) y quistes del conducto nasolagrimal (el drenaje del conducto nasolagrimal se rasga en la nariz a través de un punto en la parte inferior del párpado).
Terapia
La extirpación de un hidrocistoma puede estar indicada por razones cosméticas o por quistes funcionalmente perjudiciales.[4] Se han descrito diversas formas de tratamiento. Además de la escisión simple,[5] se trata con cirugía de alta frecuencia,[6] irradiación con láser infrarrojo (láser CO2[7][8] o láser de diodo de 1450 nanómetros[9]) y ácido tricloroacético.[10]
Véase también
Referencias
- ↑ a b c Rapini, Ronald P.; Bolognia, Jean L.; Jorizzo, Joseph L. (2007). Dermatology: 2-Volume Set. St. Louis: Mosby. ISBN 1-4160-2999-0.
- ↑ Freedberg, et al. (2003). Fitzpatrick's Dermatology in General Medicine. (6th ed.). McGraw-Hill. ISBN 0-07-138076-0.
- ↑ James, William D.; Berger, Timothy G. (2006). Andrews' Diseases of the Skin: clinical Dermatology. Saunders Elsevier. ISBN 0-7216-2921-0.
- ↑ P. Altmeyer, K. Hoffmann: Basiswissen Dermatologie. Verlag W3L GmbH, 2005, ISBN 3-937-13795-5, S. 175–176. Hidrocistoma, p. 175, en Google Libros
- ↑ J. D. Henderer, M. Tanenbaum: Excision of multiple eyelid apocrine hidrocystomas via an en-bloc lower eyelid blepharoplasty incision. In: Ophthalmic surgery and lasers Band 31, número 2, marzo-abril de 2000, S. 157–161, ISSN 1082-3069. PMID 10743931.
- ↑ S. Gupta, U. Handa, S. Handa, H. Mohan: The efficacy of electrosurgery and excision in treating patients with multiple apocrine hidrocystomas. In: Dermatologic Surgery Band 27, Número 4, Abril de 2001, S. 382–384, ISSN 1076-0512. PMID 11298711.
- ↑ J. del Pozo, J. García-Silva, C. Peña-Penabad, E. Fonseca: Multiple apocrine hidrocystomas: treatment with carbon dioxide laser vaporization. In: Journal of Dermatological Treatment Band 12, Nummer 2, Juni 2001, S. 97–100, ISSN 0954-6634. doi 10.1080/095466301317085381. PMID 12243666.
- ↑ L. K. Bickley, D. J. Goldberg, S. Imaeda, W. C. Lambert, R. A. Schwartz: Treatment of multiple apocrine hidrocystomas with the carbon dioxide (CO2) laser. In: Journal of Dermatologic Surgery and Oncology Band 15, Número 6, junio de 1989, S. 599–602, ISSN 0148-0812. PMID 2723224.
- ↑ A. V. Echague, S. Astner, A. A. Chen, R. R. Anderson: Multiple apocrine hidrocystoma of the face treated with a 1450-nm diode laser. In: Archives of Dermatology Band 141, Número 11, noviembre de 2005, S. 1365–1367, ISSN 0003-987X. doi 10.1001/archderm.141.11.1365. PMID 16301382.
- ↑ R. A. Dailey, S. M. Saulny, R. N. Tower: Treatment of multiple apocrine hidrocystomas with trichloroacetic acid. In: Ophthalmic plastic and reconstructive surgery Band 21, Número 2, marzo de 2005, S. 148–150, ISSN 0740-9303. PMID 15778671.
Enlaces externos
| Clasificación | |
|---|---|
| Recursos externos |