Hibernoma
| Hibernoma | ||
|---|---|---|
![]() | ||
| Especialidad | Dermatología Oncología | |
Un hibernoma es una neoplasia benigna de la grasa parda vestigial. El término fue originalmente utilizado por Gery en 1914.
Signos y síntomas
Los pacientes se presentan con una masa de crecimiento lento, indolora, solitaria y normalmente subcutánea. Se observa con mucha menos frecuencia en el tejido intramuscular. No es raro que los síntomas estén presentes desde hace años. Se observa una neoplasia benigna de grasa parda.[1][2]
Diagnóstico
Hallazgos de imagen
En general, los estudios de imagen muestran una masa bien definida , heterogénea, normalmente hipointensa respecto a la grasa subcutánea en resonancia magnética T1. A menudo se observan bandas serpentinas, delgadas y de baja señal (tabiques o vasos) en todo el tumor.
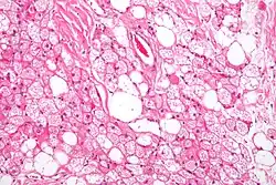
Hallazgos de patología
Desde una perspectiva macroscópica, se trata de una masa bien definida, encapsulada o circunscrita, suave, de color amarillo tostado a marrón oscuro. El tamaño varía de 1 a 27 cm, a pesar de que el tamaño medio es de 10 cm aproximadamente.[1]

Los tumores se parecen histológicamente a la grasa parda. Se reconocen cuatro tipos histológicos, pero uno es el más frecuente (típico). Se observa un entorno rico en vascularización .
- Tipo lobulillar: grados variables de diferenciación de células uniformes, redondas a ovaladas con células eosinófilicas granulares con bordes prominentes, que se alternan groseramente con adipocitos multivacuolados. Por lo general, hay pequeños núcleos ubicados en el centro sin pleomorfismo. Las células tienen grandes gotas de lípidos citoplasmáticos grandes diseminados por todas partes.[1][2]
- Variante mixoide: matriz basófila suelta, con septos fibrosos gruesos e histiocitos espumosos.
- Variante tipo lipoma: adipocitos univacuolados, con solo células de hibernoma aisladas.
- Variante de células fusiformes: lipoma de células fusiformes combinado con hibernoma.
Histoquímica
En la mayoría de los casos se observan gotas de lípido citoplasmático positivas al Rojo Aceite O-positivo
Inmunohistoquímica
Las células neoplásicas son positivas para la proteína S100 (aproximadamente un 80%), y muestran inmunorreactividad CD31 en membrana y vacuola. También es positiva para la proteína desacoplante 1 (UCP1), un proteína mitocondrial única de la grasa parda.
Citogenética
Hay reordenamientos estructurales de 11q13-21 que son considerados más característicos . Esta alteración puede detectarse mediante hibridación fluorescente in situ (FISH) en metafase. El gen MEN1 (11q13.1) es el que con mayor frecuencia se encuentra delecionado, el gen GARP (11q13.5) también puede estar involucrado.
Citología
Los frotis de aspiración con aguja fina muestran células pequeñas, redondas, parecidas a la grasa parda, con pequeñas vacuolas citoplasmáticas uniformes y núcleos regulares, pequeños y redondos. Normalmente hay un entorno vascular rico en capilares ramificados. No es raro que también existan adipocitos maduros.
Diagnóstico diferencial
Es importante diferenciar el hibernoma del rabdomioma del adulto, un tumor de células granulares y de un liposarcoma verdadero.
Clasificación
Este lesión se ha conocido como lipoma fetal, lipoma de grasa embrionaria o lipoma de grasa inmadura.[1]
Manejo
La escisión quirúrgica completa es el tratamiento de elección, asociada con un resultado clínico a largo plazo excelente.
Epidemiología
Se trata de un tumor raro que afecta con mayor frecuencia a adultos en la 4.ª década de vida. Los pacientes suelen ser más jóvenes que los que presentan un lipoma. Hay un ligero predominio en varones. El hibernoma se identifica con mayor frecuencia en el tejido subcutáneo y muscular de la región de la cabeza y cuello (hombros, cuello y escápulas) seguido del muslo, la espalda, el pecho, el abdomen y los brazos. En casos raros, el hibernoma puede surgir en el tejido óseo, aun así, es un hallazgo incidental .[3]
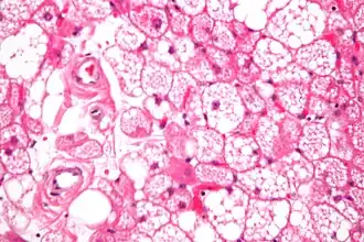
Imágenes adicionales
-
Hibernoma (aumento intermedio).
Véase también
Referencias
- ↑ a b c d Furlong, M. A.; Fanburg-Smith, J. C.; Miettinen, M. (2001). «The morphologic spectrum of hibernoma: A clinicopathologic study of 170 cases». The American Journal of Surgical Pathology 25 (6): 809-814. PMID 11395560. doi:10.1097/00000478-200106000-00014.
- ↑ a b Paul, M. A.; Koomen, A. R.; Blok, P. (1989). «Hibernoma, a brown fat tumour». The Netherlands Journal of Surgery 41 (4): 85-87. PMID 2674772.
- ↑ Jerman, Anze (2015). «Intraosseous hibernoma: case report and tumour characterization». BJR Case Reports (British Institute of Radiology) 1 (3): 20150204. PMC 6180828. PMID 30363629. doi:10.1259/bjrcr.20150204.
