Glomerulonefritis membranoproliferativa
| Glomerulonefritis membranoproliferativa | ||
|---|---|---|
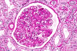
![]() Micrografía de una muestra de biopsia renal teñida con PAS que revela lesiones características de la glomerulonefritis membranoproliferativa. | ||
| Especialidad | urología | |
La glomerulonefritis membranoproliferativa (también llamada glomerulonefritis mesangiocapilar y glomerulonefritis lobular), una enfermedad renal causada por el depósito de complejos inmunes en el glomérulo, la estructura interna del riñón, ocasiona un aumento de las células glomerulares mesangiales acompañado de depósitos de anticuerpos en la membrana basal glomerular, lo que activa el sistema del complemento y daña los glomérulos.[1] La membrana basal glomerular se reconstruye sobre los depósitos inmunes y eso da lugar a una imagen peculiar en la microscopia. El daño inmunitario del glomérulo provoca alteraciones de la función del riñón.[1] Esta forma de glomerulonefritis incluye un grupo de nefropatías glomerulares poco frecuentes que comparten una lesión histológica característica y que pueden ser originadas por mecanismos patogénicos muy diversos. Más que una enfermedad como tal la glomerulonefritis membranoproliferativa debería considerarse una lesión y el hallazgo de este patrón histológico en una biopsia renal obliga a comenzar un proceso diagnóstico para establecer la etiología.[2]
Clasificación

Existen tres tipos de glomerulonefritis membranoproliferativa, a saber, los tipos I, II y III.[1] El tipo I, que es el más común, constituye la expresión clásica de la enfermedad. El tipo II, que es muy similar al tipo I, presenta depósitos densos que no son de complejos inmunes sino de un material aún no identificado y además tiende a empeorar más rápidamente que el tipo I. El tipo III, que es muy raro, se caracteriza por la presencia de depósitos subepiteliales y los hallazgos clásicos del tipo I.[1]
Entonces, según la clasificación clásica, basada en los hallazgos de la microscopia electrónica, la glomerulonefritis membranoproliferativa se divide en tres tipos, los ya mencionados tipos I, II y III. El tipo I, que como ya se dijo es la forma más frecuente, se caracteriza por la presencia de depósitos inmunes en el mesangio y en el subendotelio (es posible que en casi todos los casos esos depósitos procedan de inmunocomplejos circulantes), en el tipo II (también llamado enfermedad por depósitos densos) son característicos los depósitos continuos a lo largo de la membrana basal del glomérulo, los túbulos y la cápsula de Bowman y el tipo III se caracteriza fundamentalmente por la presencia de depósitos subepiteliales, mesangiales y subendoteliales.[2] Aunque algunas enfermedades asociadas con el patrón de glomerulonefritis membranoproliferativa se conocen bien, los avances logrados recientemente en la dilucidación de los mecanismos patogénicos y la identificación de su asociación con otras patologías han motivado un cambio en la clasificación histológica y en el enfoque diagnóstico y terapéutico de esta glomerulonefritis.[3] La nueva clasificación, que se ha propuesto en los últimos años y se basa en los hallazgos de la inmunofluorescencia, se diferencia de la anterior en que no es un mero índice morfológico sino que añade implicaciones etiológicas y terapéuticas importantes. En ella se proponen dos tipos de glomerulonefritis membranoproliferativa, la glomerulonefritis membranoproliferativa mediada por inmunocomplejos, que se caracteriza por el depósito de inmunocomplejos y elementos del complemento, y la glomerulonefritis membranoproliferativa mediada por complemento, cuya principal característica es el depósito de componentes del complemento en ausencia de inmunocomplejos.[4] En la glomerulonefritis membranoproliferativa mediada por inmunocomplejos la inmunofluorescencia también puede proporcionar datos fundamentales sobre la posible etiología subyacente. Por ejemplo, la glomerulonefritis membranoproliferativa asociada con gammapatía monoclonal muestra inmunoglobulinas que se restringen a cadenas ligeras lambda o kappa, la glomerulonefritis membranoproliferativa asociada con infección por el virus de la hepatitis C típicamente muestra IgM, IgG, C3 y cadenas kappa y lambda, en el caso de las formas asociadas con enfermedades autoinmunitarias con frecuencia se observan inmunoglobulinas y proteínas del complemento, IgG, IgM, IgA, C1q, C3 y cadenas kappa y lambda y la glomerulonefritis membranoproliferativa mediada por complemento se caracteriza por depósitos de C3 en el mesangio y en la pared capilar, con ausencia de depósitos marcados de inmunoglobulinas.[4] El microscopio electrónico revela depósitos mesangiales y subendoteliales y en algunos casos intramembranosos y subepiteliales. Con esta técnica es imposible distinguir entre la glomerulonefritis membranoproliferativa mediada por inmunoglobulinas y la mediada por complemento.[2] Según otra publicación, esta glomerulonefritis caracterizada por la proliferación de células mesangiales y el aumento de la matriz mesangial con engrosamiento difuso de la pared capilar glomerular puede ser una entidad glomerular primaria o secundaria a diversas enfermedades infecciosas, hereditarias o sistémicas. La incidencia de la glomerulonefritis membranoproliferativa primaria está disminuyendo mucho en los países desarrollados, lo que probablemente se deba a la modificación de factores ambientales, sobre todo infecciosos, y en la actualidad es poco frecuente (su frecuencia es del cinco por ciento). Desde el punto de vista de la histología se distinguen dos tipos principales de glomerulonefritis membranoproliferativa según la localización de los depósitos: la de tipo I o clásica, con depósitos subendoteliales, que es la más frecuente (se la observa en alrededor del sesenta y cinco al setenta y cinco por ciento de los casos) y la de tipo II o enfermedad por depósitos densos, con los depósitos localizados en la membrana basal (afecta al veinte o treinta por ciento de los pacientes). Existe un tipo III, que se considera una variante del tipo I con depósitos subendoteliales asociados con roturas de la membrana basal y depósitos subepiteliales.[5][6] En otra publicación se afirma que la glomerulonefritis membranoproliferativa se divide en tipos I, III y lobular porque la enfermedad por depósitos densos, tradicionalmente conocida como glomerulonefritis membranoproliferativa de tipo II, es una entidad de naturaleza fisiopatogénica y morfológica diferentes.[7] Además, en coincidencia con los autores citados antes, en esta publicación se sostiene que en vista de la diversidad de causas que pueden llevar a cambios morfológicos de glomerulonefritis membranoproliferativa sería mejor referirse a "dicha glomerulonefritis" como un patrón de lesión glomerular causado por diversas enfermedades.[7]
Historia
La combinación de proliferación mesangial y engrosamiento de la membrana capilar fue descrita por Fhar en 1925 como "forma intracapilar de glomerulonefritis subcrónica", presentación histológica que a posteriori fue denominada “crónica lobular" (Allen, 1955), "mixta proliferativa y membranosa" (Kark, 1958), "membranoproliferativa" (Habib y Roger, 1960) y "mesangiocapilar" (Churg, 1970). En 1963 Berger y Galle describieron la variedad por depósitos densos en estudios con microscopia electrónica y en 1965 West publicó la descripción de la glomerulonefritis hipocomplementémica persistente.[8][9][10][11][12] Otro autor[13] también opina que la glomerulonefritis membranoproliferativa o mesangiocapilar es una lesión, no una enfermedad, y el descubrimiento de esa lesión en una biopsia renal no constituye un fin en sí mismo sino el comienzo de una serie de estudios exploratorios que permitan establecer el diagnóstico. Entre 1961 y 1962 Royer y col. separaron por primera vez la lesión de otras formas de glomerulonefritis.[14] Sin embargo, no cabía duda de que la lesión se conocía desde hacía siglos porque en dos de los casos originales descritos por Richard Bright en sus estudios de 1827-1836 el análisis microscópico posterior detectó glomerulonefritis membranoproliferativa.[nota 1] Como ya se dijo, en 1965 West descubrió que muchos casos de glomerulonefritis membranoproliferativa, en especial en niños, se asociaban con hipocomplementemia (niveles bajos de C3) persistente, descubrimiento que puede considerarse la identificación anticipada de la heterogeneidad de los mecanismos causantes de la "lesión" de la glomerulonefritis membranoproliferativa, que en ese momento todavía se desconocía.[16] El término glomerulonefritis membranoproliferativa idiopática poco a poco fue ganando adeptos que lo usaban para describir a un grupo de pacientes con la “lesión” de la glomerulonefritis membranoproliferativa en los que no era posible detectar una enfermedad subyacente (como el lupus eritematoso sistémico o una infección). Por lo tanto, la glomerulonefritis membranoproliferativa “idiopática” (o primaria) fue un diagnóstico de exclusión desde el principio.[13] Con el tiempo, a medida que se perfeccionaban el análisis del material de biopsia y la metodología serológica muchos casos considerados “glomerulonefritis membranoproliferativa idiopática” se reclasificaron como secundarios a una causa definida (como la infección por el virus de la hepatitis C o enfermedades neoplásicas) y la frecuencia de casos “idiopáticos” disminuyó en consecuencia. Además, se observó una disminución secular de la incidencia y la prevalencia globales de la enfermedad, al menos en muchos países desarrollados.[17] Parte de esa disminución se atribuyó a las mejoras en la higiene y el control de las enfermedades infecciosas, una causa histórica de glomerulonefritis membranoproliferativa secundaria.[18] Estos eventos evolutivos han puesto en duda si en el mundo de hoy realmente existe una entidad llamada glomerulonefritis membranoproliferativa “idiopática” (o primaria) y, en el caso de una respuesta afirmativa, plantean la necesidad de investigar cuál puede ser la mejor forma de
Epidemiología
La glomerulonefritis membranoproliferativa primaria afecta sobre todo a niños y adolescentes de entre ocho y dieciséis años, sin diferencias de género. Su frecuencia tiende a ser decreciente. Las formas secundarias son más frecuentes en adultos.[4] En Europa y los Estados Unidos la prevalencia actual de glomerulonefritis membranoproliferativa es del uno al cuatro por ciento, como lo demuestran las biopsias renales. En España, en la década de 1970 el 27,6 por ciento de las biopsias renales primarias correspondían a casos de glomerulonefritis membranoproliferativa[19] mientras que en 2002 la prevalencia de la enfermedad era del 4,6 por ciento.[20] Según datos del Registro Español de Enfermedades Glomerulares, esta glomerulonefritis explica el cuatro por ciento de la patología glomerular detectada en biopsias y constituye la cuarta causa de enfermedad renal terminal secundaria a glomerulonefritis. Por el contrario, en países en vías de desarrollo (de Asia, África y Sudamérica) la frecuencia de esta patología varía entre el veinte y el cincuenta por ciento en las series de biopsia renal. Las formas idiopáticas son más prevalentes en los niños y los adultos jóvenes mientras que las formas secundarias se diagnostican con más frecuencia en personas de edad adulta.[2]
Etiología
La glomerulonefritis membranoproliferativa de tipo I, como ya se dijo, es una enfermedad mediada por inmunocomplejos. La identidad del antígeno en general se desconoce y en los casos en los que se lo identifica puede estar relacionado con infecciones, neoplasias o enfermedades autoinmunitarias.[2] La glomerulonefritis membranoproliferativa de tipo II, como también se dijo, se caracteriza por la presencia de depósitos densos que no contienen inmunoglobulinas pero se cree que activan el complemento. La hipocomplementemia es una característica común (su frecuencia es del ochenta por ciento en el tipo I y del cien por ciento en el tipo II), con activación por la vía clásica en la enfermedad de tipo I y por la vía alternativa en la de tipo II.[2] Según algunos otros autores, en la patogenia de la glomerulonefritis membranoproliferativa o mesangiocapilar de tipo I intervendrían deficiencias congénitas de algunos factores del complemento (C2, C3, C4, C6, C7, C8). En cuanto a la de tipo II, la causa es completamente desconocida. Se ha planteado la posibilidad de que se trate de un defecto no inmunitario de la membrana basal, por lo que acumularía el material denso.[21] En lo que se refiere a las formas idiopáticas, se considera glomerulonefritis membranoproliferativa idiopática la glomerulonefritis mediada por inmunocomplejos en la que se han excluido las principales entidades etiológicas. Gracias a los avances logrados en el conocimiento de los mecanismos etiopatogénicos de la enfermedad ha sido posible encontrar una causa subyacente en la mayor parte de los casos de glomerulonefritis membranoproliferativa y se han podido reclasificar muchas formas de esa glomerulonefritis tradicionalmente consideradas idiopáticas. Por lo tanto, la glomerulonefritis membranoproliferativa idiopática es un diagnóstico de exclusión con una prevalencia probablemente baja, sobre todo en adultos, pero que en términos reales todavía se desconoce.[13]
Patogenia
Si bien es cierto que la patogenia de la glomerulonefritis membranoproliferativa todavía no se ha aclarado totalmente, se piensa que es muy posible que haya mecanismos inmunitarios que desempeñen un papel importante en el desarrollo y la progresión de la inflamación glomerular.[22] La formación de inmunocomplejos circulantes o in situ[23][24] requiere la participación de elementos amplificadores: del complemento y sus activadores, de las prostaglandinas y de la coagulación.[25] Los inmunocomplejos circulantes no se detectan en todos los casos de glomerulonefritis membranoproliferativa,[22] lo que no es coherente con los hallazgos de la microscopia de inmunofluorescencia, técnica que en la gran mayoría de los pacientes demuestra depósitos granulares o nodulares que se presume que representan inmunocomplejos agregados localizados en el glomérulo. No obstante, es factible que una cantidad variable pero subliminal de inmunocomplejos active los sistemas humorales-celulares que producen y perpetúan la inflamación (y la esclerosis) glomerular mediante la acción de enzimas proteolíticas producidas por los leucocitos polimorfonucleares y mononucleares. Estos dos tipos de células, que son las que causan la necrosis glomerular, constituyen un hallazgo frecuente en la glomerulonefritis membranoproliferativa y en otras glomerulopatías humanas y experimentales.[26] Según otra publicación,[2] la glomerulonefritis membranoproliferativa mediada por complejos inmunes se produce a causa de la presencia de una antigenemia persistente que genera la formación de complejos antígeno-anticuerpo circulantes. Los complejos desencadenan la activación de la vía clásica del complemento y el depósito de varios de sus factores junto con inmunoglobulinas en la membrana basal y el mesangio, con el patrón característico de la glomerulonefritis membranoproliferativa. Entre las diversas enfermedades que podrían inducir este efecto figura la glomerulonefritis membranoproliferativa asociada con el virus de la hepatitis C.[2]

La activación sistémica del complemento sería un evento importante pero no indispensable para el desarrollo de esta enfermedad. Es posible que una vez iniciada la inflamación el consumo local de los factores del complemento (depósitos tisulares) mantenga la función inflamatoria de este proceso. Esa actividad mínima pero constante de los sistemas de amplificación explicaría algunas de las características de la glomerulonefritis membranoproliferativa: no todos los pacientes presentan hipocomplementemia, los niveles séricos del complemento no se correlacionan en forma estricta con la gravedad y la progresión de las lesiones glomerulares y se encuentran depósitos glomerulares de C3 en las biopsias de todos los pacientes en los que se las realiza (y en algunos de los que han recibido un trasplante renal por esta enfermedad) independientemente de las concentraciones séricas de C3;[27] es probable que la evolución progresiva pero prolongada refleje una inflamación de poca intensidad; en los pacientes con niveles importantes de factor nefrítico la evolución clínica es más desfavorable y más breve que la observada en los casos en los que se detecta actividad mínima del factor nefrítico. Todavía se ignora cuál es el significado real de este factor pero se sabe que es un autoanticuerpo (inmunoglobulina G) contra la convertasa del C3 activado por la vía alternativa,[28] cuya porción más pesada está constituida por una cadena de mayor longitud que en la IgG normal. Por último, hace poco se describió un componente trombocitopático de una importancia aparentemente fundamental en la patogenia de la glomerulonefritis membranoproliferativa y en estos pacientes se ha demostrado una disminución de la vida media de las plaquetas,[28] localización de antígenos plaquetarios en los capilares glomerulares[29] y liberación de sustancias intraplaquetarias con gran potencia estimuladora del crecimiento y la maduración de células endoteliales, musculares, mesangiales e histiocitarias.[30] Este último factor derivado de las plaquetas sería sintetizado bajo la influencia de macrófagos mononucleares provenientes de la médula ósea y localizados en el glomérulo.[26] Esas células, junto con las plaquetas, producen la fibronectina que tapiza los tejidos dañados y estimula la adhesión de histiocitos u otras células y la producción de colágeno. El resultado final, que consiste en esclerosis glomerular progresiva e insuficiencia renal terminal, se observa cuando la síntesis de colágeno alcanza un nivel crítico.[22]
Anatomía patológica

La glomerulonefritis membranoproliferativa de tipo I se caracteriza por el engrosamiento difuso y global de la pared capilar e hipercelularidad endocapilar y mesangial con una acentuación de la segmentación glomerular que se denomina “lobulación”.[2] En los casos típicos se produce una duplicación de la membrana basal. Con la técnica de inmunofluorescencia se ven depósitos globales granulares o en banda de C3 e IgG. La glomerulonefritis membranoproliferativa de tipo II se conoce como “enfermedad por depósitos densos” debido a la aparición de depósitos densos intramembranosos en banda. También existe hipercelularidad lobular. La inmunofluorescencia demuestra tinción de la pared capilar para C3 lineal o en banda. La glomerulonefritis membranoproliferativa de tipo III es similar a la de tipo I pero con la presencia de depósitos subepiteliales. El patrón glomerular característico consiste en hipercelularidad mesangial, engrosamiento de la membrana basal glomerular e interposición mesangial en la pared capilar, como resultado de lo cual el glomérulo suele adoptar un aspecto lobulado. Estos cambios en la microscopia óptica explican el daño renal inicial y se producen como consecuencia del depósito de inmunoglobulinas, de factores del complemento o de ambas cosas en la pared capilar y en el mesangio.[2] Este depósito determina la llegada de células inflamatorias y el consiguiente daño causado por la inflamación (de tipo celular o proliferativo).[2] En una fase posterior de reparación se generarán una nueva matriz mesangial (expansión mesangial) y una nueva membrana glomerular que, en conjunto, ofrecerán la típica imagen de expansión mesangial y doble contorno de la membrana basal en la microscopia óptica. Las alteraciones mesangiales varían entre los pacientes pero tienden a ser uniformes entre los glomérulos de una biopsia. A veces el componente exudativo es tan importante que puede sugerir una glomerulonefritis posinfecciosa. La presencia de “trombos hialinos” en el interior de las luces capilares obliga a descartar la crioglobulinemia o el lupus eritematoso sistémico como causa de la glomerulonefritis membranoproliferativa. Los trombos hialinos no son trombos verdaderos sino agregados de inmunocomplejos que rellenan las luces capilares.[2]

La inmunofluorescencia permite distinguir si el daño renal de la enfermedad ha sido iniciado por inmunocomplejos o por desregulación de la vía alternativa del complemento. De forma genérica, en el primer caso se encuentran depósitos de inmunoglobulinas y factores del complemento de la vía clásica y en el segundo se ven depósitos exclusivos de C3. Estos hallazgos son los pilares en los que se basa la nueva clasificación.[2] En la glomerulonefritis membranoproliferativa de tipo I la alteración más llamativa en la microscopia óptica es la proliferación de células y matriz mesangial, lo que junto con el engrosamiento de la pared capilar por los depósitos subendoteliales confiere un aspecto lobulado al glomérulo. La interposición de matriz mesangial entre las células endoteliales y la membrana basal crea una imagen de desdoblamiento de la pared capilar (doble contorno). La glomerulonefritis membranoproliferativa de tipo II no se diferencia mucho de la de tipo I, salvo por un engrosamiento irregular de la pared capilar debido al depósito de un material denso. Puede haber proliferación extracapilar en ambos tipos, aunque es más frecuente en el tipo II. Con las técnicas de inmunofluorescencia la glomerulonefritis membranoproliferativa de tipo I muestra depósitos granulares de C3, junto con IgG e IgM, a lo largo de la pared capilar y del mesangio. En la de tipo II hay depósitos de C3 en el mesangio y también a lo largo de la membrana basal, lo que crea la imagen de líneas dobles semejantes a las vías del tren, pero no hay depósitos de inmunoglobulinas. La microscopia electrónica muestra con mayor claridad los depósitos subendoteliales en la enfermedad de tipo I y en la de tipo II permite establecer el diagnóstico porque revela el importante nivel de engrosamiento de la membrana basal debido a que en su parte central se localiza un material electrodenso que reemplaza y ensancha la lámina densa.[5][6]
Cuadro clínico
En los tipos I y II los síntomas son similares pero la glomerulonefritis membranoproliferativa de tipo II es más agresiva.[5][6] Se la observa en todos los grupos etarios pero es más frecuente en niños y adultos jóvenes. La de tipo I presenta un ligero predominio en los varones que no se ve en la de tipo II. La forma de comienzo más frecuente es con el síndrome nefrótico (cincuenta por ciento de los casos), asociado con microhematuria o hematuria recurrente. El síndrome nefrítico es la forma de inicio en el veinte al veinticinco por ciento de los casos y en el veinte al veinticinco por ciento restante hay alteraciones urinarias asintomáticas con proteinuria no nefrótica y microhematuria. La hipertensión arterial está presente en el treinta al treinta y cinco por ciento de los pacientes. En hasta el treinta al cincuenta por ciento de los casos existen antecedentes de una infección, por lo general de las vías respiratorias altas. En los pacientes con glomerulonefritis membranoproliferativa de tipo II hay mayor frecuencia de síndrome nefrótico, hematuria macroscópica, episodios de síndrome nefrítico e insuficiencia renal inicial. La glomerulonefritis membranoproliferativa evoluciona hacia la insuficiencia renal crónica, de modo que a los diez años del diagnóstico del cincuenta al sesenta por ciento de los pacientes necesitan diálisis. La presencia de síndrome nefrótico persistente, insuficiencia renal inicial e hipertensión arterial empeora el pronóstico.[5][6]
Según otra publicación,[2] los pacientes con glomerulonefritis membranoproliferativa pueden presentar una enorme variedad de síntomas y signos, los que van desde microhematuria aislada con proteinuria o no hasta síndrome nefrótico sin que exista ninguna relación entre la forma anatomopatológica y la forma de presentación. Solo en la enfermedad por depósitos densos se han descrito asociaciones con lipodistrofia parcial y alteraciones oculares en forma de retinopatía con aparición de drusas, neovascularización y degeneración macular. Si bien se pueden observar formas rápidamente progresivas, la evolución habitual es la lenta progresión de la enfermedad renal.[2]
De acuerdo con un autor ya citado,[21] las manifestaciones clínicas pueden consistir en síndrome nefrótico, hematuria o proteinuria aisladas o combinadas, hipertensión arterial, síndrome nefrítico o insuficiencia renal. En el cincuenta por ciento de los casos hay hipocomplementemia. La enfermedad afecta con mayor frecuencia a personas de entre diez y treinta y cinco años y es muy rara en menores de cinco años y en mayores de sesenta.[21] Todas las glomerulonefritis mesangiocapilares evolucionan irremediablemente hasta la destrucción renal completa en lapsos que por lo general varían entre diez y quince años.[21]
Diagnóstico
Como el tratamiento de las glomerulonefritis membranoproliferativas está determinado por la enfermedad subyacente es fundamental realizar una evaluación exhaustiva para establecer el diagnóstico etiológico que guiará las decisiones terapéuticas.[4] La hipocomplementemia está presente en todos los tipos de glomerulonefritis membranoproliferativa. Los niveles bajos de C3 y C4 son más frecuentes en la glomerulonefritis membranoproliferativa asociada con inmunocomplejos mientras que los niveles bajos de C3 y normales de C4 se encuentran con mayor frecuencia en las formas asociadas con disfunción de la vía alternativa del complemento, sobre todo en la fase aguda. No obstante, la presencia de niveles normales de C3 no excluye esta patología.[2] Si en la biopsia renal se detecta un patrón de glomerulonefritis membranoproliferativa con depósitos de inmunoglobulinas habrá que descartar la asociación con un proceso infeccioso, una enfermedad autoinmunitaria o la presencia de gammapatía monoclonal u otros procesos linfoplasmocitarios. Entre las pruebas necesarias figuran estudios microbiológicos e inmunológicos y pruebas de electroforesis e inmunofijación. En cambio, si los depósitos son sobre todo de C3 (con depósitos mínimos o nulos de inmunoglobulinas) habrá que indicar un estudio que permita detectar anomalías de la vía alternativa del complemento. La evaluación inicial de la vía alternativa deberá incluir niveles séricos de complemento y del complejo de ataque de membrana, un estudio funcional de la vía alternativa del complemento seguido de un estudio genético en búsqueda de mutaciones o variantes alélicas y la determinación de anticuerpos contra proteínas reguladoras, entre ellos el factor nefrítico C3. La mayor parte de estas determinaciones no se realizan en los laboratorios habituales y deben ser remitidas a laboratorios de referencia. A pesar de la realización de una evaluación exhaustiva en algunos casos es imposible establecer la etiología.[2]
Glomerulonefritis mesangiocapilar de tipo II y retinopatía
Las glomerulonefritis mesangiocapilares constituyen el diez por ciento de todos los casos diagnosticados de enfermedad glomerular y el veinte por ciento de esos casos corresponden a la glomerulonefritis mesangiocapilar de tipo II.[31] El diagnóstico del tipo II de esa glomerulonefritis es histológico, con la demostración de la presencia en la membrana basal del capilar de «depósitos densos»[32] que histológicamente se asemejan a las drusas retinianas.[33] En la mayoría de los pacientes con esta forma de glomerulonefritis la progresión de la enfermedad determina una pérdida visual importante y a veces irreversible. Sin embargo, la retinopatía y su asociación con la glomerulonefritis mesangiocapilar de tipo II en general no es establecida por los especialistas que tratan a estos enfermos. Las enfermedades glomerulares constituyen el origen de la insuficiencia renal terminal en un tercio de los pacientes tratados con diálisis o trasplante renal.[32] La glomerulonefritis mesangiocapilar de tipo II (membranoproliferativa) forma parte de un grupo de procesos cuyo denominador común es un exceso (proliferación) de células en el glomérulo y el tipo que se describe aquí se caracteriza por un engrosamiento de la pared capilar secundario a un depósito denso lineal en el interior de la membrana basal formado fundamentalmente por C3.[32] La glomerulonefritis mesangiocapilar de tipo II afecta sobre todo a niños de edad escolar y adultos jóvenes y es algo más frecuente en mujeres.[32] La presentación clínica (que influye en el pronóstico) puede consistir en proteinuria asintomática, hematuria recurrente, síndrome nefrótico o una seudonefritis aguda. El pronóstico habitualmente es desfavorable y la mayoría de los pacientes mueren por uremia, hipertensión o problemas secundarios al trasplante dentro de los diez años posteriores al comienzo de la enfermedad.[32] Los pacientes con glomerulonefritis mesangiocapilar de tipo II suelen tener una lipodistrofia parcial y como característica de la enfermedad un descenso persistente del C3.[32][31] En la mayoría de estos pacientes también hay depósitos subretinianos clínicamente semejantes a drusas que en el examen histopatológico son idénticos a los depósitos presentes en la membrana basal glomerular.[31] Además, al comienzo de la enfermedad la visión suele ser buena pero con el paso del tiempo se produce una disminución progresiva de la visión nocturna y pérdida de la agudeza visual. Con la evolución de la glomerulonefritis la presencia de las drusas se torna evidente y en una tercera parte de los pacientes se desarrolla neovascularización, en especial en la región macular, y la evolución es semejante a la de las membranas de la degeneración macular asociada con la edad. En los casos descritos las características clínicas y angiográficas son indistinguibles de las observadas en la degeneración macular asociada con la edad salvo en lo que se refiere precisamente a la edad.[33] Los autores de esta comunicación[34] afirman que su objetivo no es la descripción de una patología poco frecuente (la glomerulonefritis mesangiocapilar de tipo II) sino llamar la atención de los oftalmólogos y los nefrólogos acerca de la necesidad de que este tipo de pacientes sean sometidos a estudios oftalmológicos periódicos para evitar la pérdida de visión y poder recurrir a los beneficios de las nuevas terapias antiangiogénicas. Su conclusión es que en todos los casos de glomerulonefritis mesangiocapilar de tipo II deben realizarse evaluaciones oftalmológicas periódicas para controlar las complicaciones retinianas.[34]
Diagnóstico diferencial

Es preciso diferenciar la enfermedad de otros procesos glomerulares, tanto primarios como secundarios, que puedan cursar con alteraciones urinarias asintomáticas, síndrome nefrótico o síndrome nefrítico, acompañados o no de insuficiencia renal.[5][6] En los pacientes con manifestaciones clínicas de glomerulonefritis membranoproliferativa o mesangiocapilar primaria el diagnóstico diferencial debe incluir glomerulopatías con patrón membranoproliferativo "secundarias", nefropatía por IgA/púrpura de Schönlein-Henoch, glomerulonefritis posinfecciosa, glomerulonefritis membranosa evolucionada, glomerulonefritis proliferativa con depósitos de IgG monoclonal y la glomerulopatía del trasplante.[35]
Tratamiento
Como ya se dijo, el tratamiento de las distintas formas de glomerulonefritis membranoproliferativa depende de la enfermedad subyacente.[2] En lo que se refiere a la glomerulonefritis membranoproliferativa idiopática, los datos concluyentes acerca del tratamiento son pocos y los estudios controlados han sido realizados en niños y también han sido pocos. La terapéutica depende de la gravedad del daño renal y sobre esa base los pacientes con función renal conservada y proteinuria no nefrótica pueden ser tratados con inhibidores del sistema renina-angiotensina para controlar la presión arterial y la proteinuria. Las guías clínicas recomiendan el tratamiento inmunosupresor en enfermos con insuficiencia renal progresiva, síndrome nefrótico persistente o compromiso histológico importante (proliferación extracapilar difusa).[2] La monoterapia con esteroides no ha sido estudiada en adultos pero en niños se ha probado su eficacia para enlentecer la progresión renal y reducir la proteinuria; de todas maneras, las limitaciones metodológicas de los estudios, la demora en la aparición de la respuesta y los efectos secundarios opacan en cierto modo los resultados obtenidos. En estudios observacionales de corta duración y escasa población se ha logrado la remisión de la glomerulonefritis con agentes inmunosupresores como ciclofosfamida, micofenolato sódico o anticalcineurínicos.[2] La terapia con rituximab también ha sido eficaz en casos de glomerulonefritis membranoproliferativa idiopática publicados pero se necesitan series más extensas o estudios controlados que aporten información más concluyente. En las formas rápidamente progresivas con mayor grado de proliferación extracapilar se sigue considerando el tratamiento tradicional con esteroides y ciclofosfamida. Por último, el tratamiento antiagregante utilizado en varios ensayos clínicos en un principio enlenteció la progresión de la insuficiencia renal y disminuyó la proteinuria pero la tasa de eventos hemorrágicos fue elevada y los efectos beneficiosos no se confirmaron en el seguimiento de largo plazo.[2] La mayor parte de las recomendaciones terapéuticas específicas para la glomerulonefritis membranoproliferativa proceden de estudios sobre glomerulonefritis membranoproliferativa de tipos I o III, sin grupo control o con controles retrospectivos.[5][6] Para la glomerulonefritis membranoproliferativa de tipo II no existe un tratamiento eficaz y el que se aplique deberá consistir en controlar factores de riesgo vascular como el tabaquismo, la obesidad y la hiperlipidemia, realizar un control agresivo de la presión arterial y reducir la proteinuria con inhibidores de la enzima convertidora de angiotensina (IECA) o antagonistas de los receptores de angiotensina (ARA). En casos de evolución desfavorable se ha propuesto la asociación de ácido acetilsalicílico-dipiridamol e incluso inmunosupresores del tipo del micofenolato de mofetilo, más esteroides o sin ellos, con respuesta clínica variable. En pacientes con semilunas en la biopsia y una insuficiencia renal de progreso rápido se ha utilizado prednisona con ciclofosfamida. La utilidad de estos tratamientos no ha sido demostrada científicamente.[5][6] Algunas publicaciones sugieren que para tratar la glomerulonefritis membranoproliferativa de tipo I en pediatría sería útil administrar esteroides en dosis bajas y de forma prolongada (2 mg/kg en días alternos durante un año, con descenso posterior a 20 mg/día, dosis que se mantendrá durante cinco a diez años), aunque con la aparición de efectos secundarios como hipertensión y retraso del crecimiento.[5][6]
Pronóstico
En el caso de la glomerulonefritis mesangiocapilar (membranoproliferativa) de tipo II, como ya se dijo, el pronóstico suele ser desfavorable y la mayoría de los pacientes mueren por uremia, hipertensión o problemas secundarios al trasplante en algún momento de los diez años posteriores al diagnóstico.[32] La enfermedad es progresiva, con un curso variable y muy pocos casos de remisión completa. El tiempo que tarda en evolucionar a enfermedad renal terminal también es muy variable. El pronóstico parece ser peor en los pacientes con síndrome nefrótico. Algunos autores han observado que la hipertensión persistente, la elevación de la creatinina en el momento del diagnóstico y los episodios de hematuria macroscópica también se relacionan con un pronóstico más desfavorable.[36] La glomerulonefritis membranoproliferativa puede recurrir después del trasplante renal. El porcentaje de recurrencia varía según diferentes autores pero parece hallarse entre el veinte y el treinta por ciento. La enfermedad glomerular que más recurre postrasplante (la recurrencia se da en prácticamente el cien por ciento de los casos) es la enfermedad por depósitos densos o glomerulonefritis mesangiocapilar de tipo II; sin embargo, la recurrencia puede limitarse a un hallazgo morfológico, sin daño del injerto.[37][38]
Véase también
- Glomérulo renal
- Glomerulonefritis
- Glomerulonefritis posestreptocócica
- Glomerulonefritis rápidamente progresiva
- Síndrome nefrótico
Notas
- ↑ Algunas partes de los riñones de tres pacientes con enfermedad renal descritos originalmente por Richard Bright entre 1827 y 1836 se conservaron en el Gordon Museum del Guy’s Hospital. El estudio histológico demostró que dos casos encajaban en la categoría diagnóstica actual de glomerulonefritis mesangiocapilar (membranoproliferativa). Uno de esos pacientes tenía una historia clínica de cinco años y había muerto por insuficiencia renal crónica y uremia, el otro paciente había fallecido después de tres o cuatro meses con un síndrome nefrótico grave y el tercer caso correspondía a una mujer joven con "tisis pulmonar" crónica y amiloidosis renal.[15]
Referencias
- ↑ a b c d MedlinePlus, Enciclopedia médica en español, “Glomerulonefritis membranoproliferativa”, agosto de 2007. Consultado en [1] el 13 de junio de 2015.
- ↑ a b c d e f g h i j k l m n ñ o p q r s t Fernández Juarez G., Villacorta Pérez J., “Glomerulonefritis membranoproliferativa” en Lorenzo-Sellarés V., López-Gómez J.M. (eds.), Nefrología al día [Internet], 2.a ed., Barcelona (España), Sociedad Española de Nefrología/Plusmedical, 4 de diciembre de 2012. DOI: [2] Consultado en [3] Archivado el 2 de julio de 2015 en Wayback Machine. el 12 de junio de 2015.
- ↑ Sethi S., Fervenza F.C., “Membranoproliferative Glomerulonephritis'A new look at an Old entity”, N Engl J Med 2012; 366:1119-1131.
- ↑ a b c d KDIGO, Clinical Practice Guideline for Glomerulonephritis, "Idiopathic membranoproliferative Glomerulonephritis" (cap. 8), Kidney Int Supplements 2012, vol. 2, N° 2, pp. 67-68. Consultado en [4] Archivado el 1 de mayo de 2015 en Wayback Machine. el 30 de junio de 2015.
- ↑ a b c d e f g h Martínez Ara J. “Glomerulonefritis membranoproliferativa o mesangiocapilar”, pp. 375-382, en Avendaño L., Nefrología clínica, 3.a ed., Editorial Médica Panamericana, Buenos Aires, 2008. 1086 páginas. Vista previa consultada en [5] el 17 de junio de 2015.
- ↑ a b c d e f g h Santana H. y Egido J., "Glomerulonefritis mesangiocapilar" en Hernando L., Aljama P., Arias M., Caramelo C., Egido J., Lamas S. (eds.), Nefrología clínica, Madrid, Editorial Médica Panamericana, 2003, pp. 322-333.
- ↑ a b Walker P.D., Ferrario F., Joh K. y Bonsib S.M., “Dense deposit disease is not a membranoproliferative glomerulonephritis”, Mod Pathol. 2007; 20 (6):605-616. DOI:10.1038/modpathol.3800773. Consultado en [6] el 22 de junio de 2015.
- ↑ Cameron S., Glasgow E., Ogg C., White R., “Membranoproliferative Glomerulonephritis and Persistent Hypocomplementaemia”, BMJ 1970, 4:7-14.
- ↑ Habib R., Kleinknecht C., Gubler M., “Idiopathic Membranoproliferative Glomerulo-nephritis: Morphology and Natural History, en Glomerulonephritis morphology, Natural History and treatment, 1.a ed., Wiley & Sons, 1973, pp. 491-514.
- ↑ Heptinstall R., “Membranoproliferative Glomerulonephritis”, en Pathology of the Kidney, 3.a ed., Little Brown & Co, 1983, pp. 479-518.
- ↑ Glassock R.J., Cohen A.H., Adler S.G., “Primary Glomerular Disease”, en Brenner & Rector (eds.), The Kidney, 5.a ed., WB Saunders, Filadelfia, 1996, p 1392.
- ↑ Hurtado Aréstegui A., “Glomerulonefritis membranoproliferativa. Un problema no resuelto”, 3.er Congreso de Nefrología en Internet, 2003. Consultado en [7] el 15 de junio de 2015.
- ↑ a b c Fervenza F.C., Sethi S. y Glassock R.J., “Idiopathic membranoproliferative glomerulonephritis: does it exist?”, Nephrol Dial Transpl 2012, 27 (12): 4288-4294. Consultado en [8] el 23 de junio de 2015.
- ↑ Royer P., Habib R., Vermeil G. et al., “Prolonged glomerulonephrtis in children: apropos of 4 anatomcial aspects revealed by renal biopsy”, Ann Pediatr 1962;9:173-187.
- ↑ Weller R.O., Nester B., “Histological Reassessment of Three Kidneys Originally Described by Richard Bright in 1827-36”, Br Med J 1972; 2:761-763. Consultado en formato pdf en [9] el 25 de junio de 2015.
- ↑ West C.D., McAdams A.J., McConvilkle J.M. et al., “Hypocomplementemic and normocomplementemic persistent (chronic) glomerulonephritis; clinical and pathologic characteristics”, J Pediatr 1965;67:1089-1097.
- ↑ Kurnatowska I., Jedrzejka D., Malyska A., Wagrowska-Danilewicz, M., Danilewicz M. y Nowicki, M., “Trends in the Incidence of Biopsy-Proven Glomerular Diseases in the Adult Population in Central Poland in the Years 1990-2010”, Kidney Blood Press R 2012, 35 (4): 254-258. Resumen consultado en [10] el 25 de junio de 2015.
- ↑ Hurtado A. y Johnson R.J., “Hygiene hypothesis and prevalence of glomerulonephritis”, Kidney Int 2005, 68, S62–S67. DOI:10.1111/j.1523-1755.2005.09711.x. Consultado en [11] el 25 de junio de 2015.
- ↑ Traver Rivera J., Sanz Guajardo D., Anaya A., Botella J., “Las Glomerulonefritis membrano-proliferativas”, Rev Clin Esp 1975, 138: 345-356.
- ↑ Rivera F., López-Gómez J.M., Pérez-García R., “Frequency of renal pathology in Spain 1994-1999”, Nephrol Dial Transplant 2002; 17: 1594-1602.
- ↑ a b c d Rosenberg H.,”Glomerulonefritis Mesangiocapilar Tipo I”, en Lecciones de anatomía patológica. Consultado en [12] Archivado el 8 de mayo de 2015 en Wayback Machine. el 21 de junio de 2015.
- ↑ a b c Urízar E.R. y Cerda J., "Glomerulonefritis membranoproliferativa (GNMP). Correlaciones Clínico-Patológicas y Terapéuticas", Rev. Chil. Pediatr 1986, 57(2), 201-213. Consultado en [13] el 21 de junio de 2015.
- ↑ Cameron J.S., "Glomerulonephritis: Current problems and understanding", J. Lab. Clin. Med. 1982, 99: 755.
- ↑ Davis A.E., Schneeberger E.E. et al., "Membranoproliferative glomerulonephritis (MPGN type I) and dense deposit disease (DDD) in children", Clin. Nephrol. 1978, 9: 184.
- ↑ Born G.V.R., "Mechanisms of intravascular platelet aggregation in renal diseases" en "Hemostasis, Prostaglandins and Renal Disease", Renuzzi G., Mecca G. y de Gaetano G. (eds.), Raven Press, Nueva York, 1980, p. 21.
- ↑ a b Monga G., Mazzuco G., Barbiano di Belgiojoso G. y Busnach G., "The presence and possible role of monocyte infiltration in human chronic proliferative glomerulonephritis", Am. J. Pathol. 1979, 94: 271.
- ↑ Cameron J.S., Ogg C.S., White R.H.R. y Glasgow E.F., "The clinical features and prognosis of patients with normocomplementemic mesangiocapillary glomerulonephritis", Clin Nephrol. 1973, 1: 8.
- ↑ a b Scott D.M., Amos N., Sissons J.G.P., Lachman P.J. y Peters D.K., "The immunoglobulin nature of nephritic factor (NeF)", Clin. Exp. Immunol. 1978, 32:12.
- ↑ Cameron, J.S., “Platelets in glomerular disease”, Arm. Rev. Med. 1984, 35: 175.
- ↑ Clark W.F., Friesen M., Linton A.L. y Linsay R.M., "The platelet as a mediator of tissue damage in immune complex glomerulonephritis", Clin. Nephrol. 1976, 6: 287.
- ↑ a b c Colville D., Guymer R., Sinclair R.A., Savige J., “Visual impairment caused by retinal abnormalities in mesangio-capillary (membranoproliferative) glomerulonephritis type II («dense deposit disease»)”, Am J Kidney Dis 2003;42: E2-E5.
- ↑ a b c d e f g Sharpstone P., Trafford J.A., “Correlaciones anatomoclínicas” en Sharpstone P., Trafford J.A., Tópicos en enfermedades renales. Enfermedad renal glomerular, Madrid: Saned 1983; 21-37.
- ↑ a b O'Brien C., Duvall-Young J., Brown M., Short C. y Bone M., “Electrophysiology of type II mesangiocapillary glomerulonephritis with associated fundus abnormalities”, Br J Ophthalmol 1993; 77: 778-780.
- ↑ a b Asensio-Sánchez M.J., Rodríguez-Delgado B., García-Herrero E., Cabo-Vaquera V. y García-Loygorri C., “Glomerulonefritis mesangiocapilar tipo II y degeneración macular”, Arch Soc Esp Oftalmol 2007; 82: 43-46. Consultado en [14] el 24 de junio de 2015.
- ↑ Sociedad Española de Anatomía Patológica (SEAP-IAP), Patrones básicos de lesión glomerular, Curso de primavera, Madrid, mayo de 2012. Consultado en [15] el 26 de junio de 2015.
- ↑ Arias L.F. (ed.), “Glomerulopatía membranosa”, Patología Renal y de Trasplantes (PRYT), Universidad de Antioquia, Facultad de Medicina, Medellín, Colombia. Consultado en [16] el 25 de junio de 2015.
- ↑ Appel G.B., Cook H.T., Hageman G., Jennette J.Ch., Kashgarian M., Kirschfink M. et al., “Membranoproliferative Glomerulonephritis Type II (Dense Deposit Disease): An Update”, J Am Soc Nephrol, mayo de 2005;16(5):1392-1403. Consultado en [17] el 26 de junio de 2015.
- ↑ Braun M.C., Stablein D.M., Hamiwka L.A., Bell L., Bartosh S.M. y Strife C.F., “Recurrence of membranoproliferative glomerulonephritis type II in renal allografts: The North American Pediatric Renal Transplant Cooperative Study experience”, J Am Soc Nephrol, julio de 2005;16(7):2225-2233. Consultado en [18] el 26 de junio de 2015.
Enlaces externos
Wikimedia Commons alberga una categoría multimedia sobre Nefrología.
