Glomeruloesclerosis focal y segmentaria
| Glomeruloesclerosis focal y segmentaria | ||
|---|---|---|
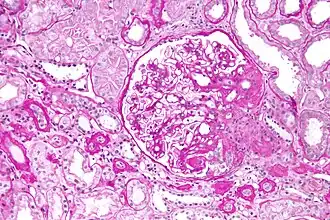
![]() Micrografía óptica de una Glomeruloesclerosis focal y segmentaria, variante hiliar. Biopsia renal. Tinción de PAS. | ||
| Especialidad | nefrología | |
La glomeruloesclerosis focal y segmentaria (GEFS) es una de las causas del síndrome nefrótico en niños y adolescentes, así como una causa importante de insuficiencia renal en adultos.[1] La GEFS es muy similar a la enfermedad de cambios mínimos, la causa más frecuente del síndrome nefrótico en niños.
Los componentes individuales del nombre de esta enfermedad se refieren a la apariencia del tejido renal en la inspección de una biopsia: es focal porque solo algunos glomérulos se ven afectados—lo opuesto es difusa—, segmentaria significa que solo una parte del glomérulo está afectada—lo opuesto es global—y glomeruloesclerosis se refiere a la cicatrización del glomérulo, la porción funcional de la nefrona.
Clasificación
Dependiente de la causa, la GEFS se puede clasificar en forma general como:
- Primaria, cuando no se encuentra una causa base y por lo general se presenta como un síndrome nefrótico
- Secundaria, cuando se identifica una causa y tiende a presentarse con proteinuria e insuficiencia renal. Este es en realidad un grupo heterogéneo de trastornos tales como:
- Infecciones como el VIH—conocido como nefropatía asociada al VIH
- Toxinas y drogas, tales como la heroína y el pamidronato
- Formas hereditarias
- Pérdida del nefrón e hiperfiltración, tal como sucede con la pielonefritis crónica, obesidad mórbida y la diabetes mellitus
Otras formas de clasificar a una GEFS son válidas y se ven en diversas publicaciones y literaturas.
Variantes patológicas
Se pueden distinguir cinco variantes mutuamente excluyentes de la glomeruloesclerosis focal y segmentaria basado en los hallazgos patológicos de una biopsia de riñón.[2] El reconocer estas variantes puede tener valor pronóstico en individuos con la GEFS primaria, es decir, aquellos en quienes no se ha identificado una causa verdadera:
- Variante colapsante, asociada a un mayor riesgo de rápida evolución a una insuficiencia renal terminal[2]
- Variante de lesión en el extremo glomerular, tiene un riesgo menor a producir una enfermedad renal terminal en la mayoría de los pacientes[2]
- Variante celular o hipercelular, muestra una presentación clínica similar a las anteriores pero tiene pronósticos intermedios a aquellos
- Variante pre-hiliar, no se reconoce una asociación pronóstica
- Variante no especificada, no se reconoce una asociación pronóstica
Etiología
Se conoce hasta ahora varias causas genéticas que se vinculan con las variantes hereditarias de la GEFS:
- El primer gen involucrado con este trastorno es el ACTN4, el cual codifica a la α-actina 4. Esta proteína agrupa filamentos de actina y está presente en el podocito. Las mutaciones en esta proteína, cuando se asocian con la GEFS, resultan en una afinidad mayor por la actina, la formación de agregados intracelulares y una disminución de la vida media protética. Aunque no se sabe cómo estos efectos pueden causar una GEFS, existen varias teorías. Primero, la agregación proteica puede tener un efecto tóxico sobre el podocito. En segundo lugar, al disminuir la vida media proteica o aumentar la afinidad por la actina puede alterar la polimerización de la actina y de ese modo afectar la arquitectura esquelética de los podocitos.[3]
- Un segundo gen asociado con el GEFS es TRPC6, el cual codifica a un miembro de la familia de canales de potencial de receptor transitorio, un grupo de canales iónicos que conducen cationes en una forma no-selectiva. Al igual que el ACTN4, EL TRPC6 se expresa en los podocitos. Estos canales iónicos pueden ser activados por diferentes rutas y se conocen al menos 6 mutaciones localizadas en diferentes puntos a lo largo del canal. Una de esas mutaciones, llamada P112Q conlleva a un influjo aumentado de calcio intracelular. No está claro como esto puede llevar a una GEFS, aunque se ha propuesto que puede ser el resultado de una alteración de la dinámica del podocito o a una podocitopenia.[3]
- Otro gen que se sabe se ha involucrado con formas hereditarias de una GEFS es el ligando p130(Cas). El homólogo de esta proteína, CD2, se localiza en los podocitos donde interactúa con fyn y sinaptopodina. Las mutaciones en este gen producen una proteína alterada que se cree cambia el arreglo de los podocitos.[3]
Referencias
- ↑ Kumar V, Fausto N, Abbas A (editors) (2003). Robbins & Cotran Pathologic Basis of Disease (7th edición). Saunders. pp. 982-3. ISBN 978-0-7216-0187-8.
- ↑ a b c Thomas DB, Franceschini N, Hogan SL, Ten Holder S, Jennette CE, Falk RJ, Jennette JC. Clinical and pathologic characteristics of focal segmental glomerulosclerosis patholc variants. Kidney Int. 2006 Mar;69(5):920-6. PMID 16518352
- ↑ a b c Mukerji N, Damodaran TV, Winn MP (2007). TRPC6 and FSGS: The latest TRP channelopathy. PMID 17459670.
Enlaces externos
Glomeruloesclerosis focal y segmentaria KidneyPathology.com (en español).- Investigación sobre FSGS Un equipo de médicos especialistas en riñón y científicos de Brigham y el Women's Hospital / Harvard Medical School, trabaja para aprender más sobre la causa del FSGS y el Síndrome Nefrótico en adultos y niños, especialmente sobre las bases genéticas de estas enfermedades.
