Glándula pineal
| Glándula pineal | ||
|---|---|---|
![]() | ||
![]() | ||
| Nombre y clasificación | ||
| Sinónimos |
epífisis cerebral; conarium | |
| Latín |
[TA]: glandula pinealis; [TA]: corpus pineale; epiphysis cerebri | |
| TA | A11.2.00.001 | |
| Información anatómica | ||
| Sistema | endocrino | |
|
| ||
La glándula pineal,[1] también conocida como cuerpo pineal, conarium o epífisis cerebral, es una pequeña glándula endocrina que se encuentra en el cerebro de los vertebrados. Produce melatonina, una hormona derivada de la serotonina que afecta a la modulación de los patrones del sueño, tanto a los ritmos circadianos como estacionales. Casi todas las especies de vertebrados poseen una glándula pineal. La más importante excepción son los Myxini, a menudo considerados uno de los tipos de vertebrados más primitivos. En el humano su forma se asemeja a un pequeño cono de pino (de ahí su nombre), y está ubicada en el epitálamo cerca del centro del encéfalo, entre los dos hemisferios cerebrales, localizada en un surco donde se unen las dos mitades del tálamo.
Anatomía

La glándula pineal es una glándula impar que se localiza en la línea media del encéfalo. Es de color gris rojizo, en el ser humano pesa entre 0.1 y 0.2 gramos, mide entre 5 y 8 milímetros de largo y entre 3 y 5 mm de ancho, su tamaño es similar al de un grano de arroz. Forma parte del epitálamo, una de las tres partes del diencéfalo, y se localiza entre los dos colículos superiores, adosada a la pared posterior del tercer ventrículo, cerca del centro del encéfalo. Dispone de un pedículo llamado tallo pineal que la une al diencéfalo, está bañada por líquido cefalorraquídeo y cubierta por piamadre que forma una cápsula externa de la que parten tabiques que la dividen en pequeños lobulillos incompletos. [2] [3]
Suministro de sangre
El flujo sanguíneo que recibe la glándula pineal con relación a su tamaño es uno de los más altos del cuerpo humano, lo que constituye una prueba de que no es un órgano vestigial, como se creyó durante muchos años. [4] La sangre le llega a través de las arterias coroideas posteriores que proceden de la arteria cerebral posterior y también de ramas de la arteria cerebral anterior.[5]
Inervación
La actividad de la glándula pineal es controlada de manera primordial por mecanismos nerviosos. El principal regulador son las terminaciones del sistema nervioso simpático procedentes de los ganglios simpáticos cervicales que secretan noradrenalina y provocan la estimulación de la síntesis de melatonina. Las fibras simpáticas penetran en la glándula discurriendo paralelamente a los vasos sanguíneos. Existe también inervación del sistema nervioso parasimpático mediada por la acetilcolina, e inervación central mediante fibras nerviosas procedentes de varias regiones del encéfalo, incluyendo el núcleo habenular y el núcleo paraventricular del hipotálamo, que penetran en la glándula a través del tallo pineal.[6]
Desarrollo

La glándula pineal humana se origina en el segundo mes de vida intrauterina a partir del diencéfalo embrionario.[3] En la quinta semana de gestación el tálamo y el hipotálamo se delimitan por la aparición del surco hipotalámico que los separa, quedando totalmente diferenciadas las dos estructuras en la sexta semana de gestación.[7] En la décima semana de gestación la glándula pineal ya es visible y crece en tamaño hasta el segundo año de edad, permaneciendo estable después de ese periodo, aunque su peso se incrementa gradualmente a partir de la pubertad.[8] [9]
Histología

La glándula pineal está compuesta principalmente de pinealocitos que liberan melatonina, astrocitos, microglia, células endoteliales y, en algunas especies, un pequeño número de neuronas.[10]
Su estructura está formada por lobulillos separados de manera incompleta por tabiques de tejido conectivo por los que penetran los vasos sanguíneos y las terminaciones nerviosas procedentes del sistema nervioso simpático. Las células más abundantes son los pinealocitos que representan el 95% del total y están especializados en la producción de melatonina, presentan un núcleo grande, citoplasma claro y prolongaciones citoplasmáticas que contactan con los capilares sanguíneos. Otras células presentes en la glándula son las células intersticiales, son células de sostén similares a los astrocitos, con un núcleo más alargado y denso. Los llamados acérvulis cerebrales son concreciones formadas por cristales de hidroxiapatita cálcica que forman agregados extracelulares que tienden a aumentar con la edad.[11]
Fisiología
La función principal de la glándula pineal es recibir información sobre el estado del ciclo luz-oscuridad del entorno y transmitir esta información mediante la producción y secreción de la hormona melatonina.[12]
Las células de la glándula pineal secretan melatonina (N-acetil-5-metoxi-triptamina), para su síntesis parten de triptófano que mediante un proceso de hidroxilación y decarboxilación se convierte en serotonina que da lugar a melatonina por la acción de la enzima hydroxilindol-O-metiltransferasa.
La producción de melatonina por la glándula pineal es estimulada por la oscuridad e inhibida por la luz. Las células fotosensibles en la retina detectan la luz y emiten una señal nerviosa hacia el núcleo supraquiasmático del hipotálamo, siguiendo un ritmo similar al ciclo natural de 24 horas. Las fibras nerviosas se proyectan desde el núcleo supraquiasmático al núcleo paraventricular, también en el hipotálamo, que transmite las señales a la médula espinal y desde allí a través del sistema nervioso simpático hasta el ganglio cervical superior y a la glándula pineal.[13]

Efectos sobre el ciclo sueño-vigilia
La melatonina se libera siguiendo un ritmo circadiano, coincidiendo el pico máximo con la fase oscura del día. Su ascenso nocturno está relacionado con el ciclo de sueño-vigilia, favoreciendo el sueño. Sin embargo la iluminación artificial durante la noche hace que la secreción de esta hormona sea menor. El descenso de la secreción, dependen tanto del tiempo de exposición a la luz artificial como de su intensidad y su composición espectral. [14]
Influencia sobre el ciclo reproductivo
En los meses de invierno, en países de latitud alta donde los días tienen 6 horas de luz y 18 de oscuridad, se ha observado en animales domésticos como los caprinos, una secreción de melatonina más alta que en los meses de verano, con 18 horas de luz y 6 horas de oscuridad. Esta diferencia estacional en la concentración de melatonina plasmática tiene gran importancia en los animales que tienen un ciclo reproductivo anual. En los mamíferos que se reproducen de manera estacional durante un periodo determinado del año, la melatonina actúa a nivel hipotalámico sobre la secreción de GnRH, lo cual incide directamente en la producción de FSH y LH por la hipófisis y por lo tanto en la liberación de estrógenos y por el ovario.[15] [16] Se ha comprobado que si se extirpa la glándula pineal a los animales que tienen oscilaciones estacionales en su comportamiento reproductor, pierden su sincronización con el ritmo anual. En algunas especies como la oveja y el ciervo, la melatonina actúa como hormona progonadotropa, favoreciendo la reproducción, mientras que en otras, como el hámster, su acción es antigonadotropa.[13] [14]
Otras acciones
Otras acciones de la melatonina menos estudiadas son su capacidad antioxidante, su acción oncostatica que podrían ralentizar el crecimiento de algunos tipos de cáncer y su papel estimulante de la inmunidad.[17] [18] Las investigaciones sobre su papel sobre los niveles de glucosa en sangre han dado resultados contradictorios. Un metaanálisis publicado en 2021 que analizaba los resultados de 16 estudios ha llegado a la conclusión de que los suplementos de melatonina presentan una acción beneficiosa en pacientes afectos de diabetes mellitus.[19]
Enfermedades
Quiste pineal
Los quistes pineales son lesiones benignas formadas por acumulación de líquido en la región donde se encuentra la glándula pineal. Se observan en entre el 1 y el 4% de las personas sanas. Generalmente son pequeños y no provocan síntomas, en ocasiones aumentan de tamaño y pueden causar dolor de cabeza, hidrocefalia y convulsiones. [20]
Calcificación

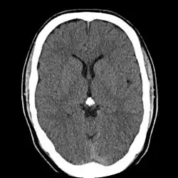
La glándula pineal es a menudo visible en las imágenes tomográficas (TAC y RM) cuando está calcificada. La calcificación de la glándula pineal es común en los adultos, pero también se ha observado en niños a partir de los 2 años de edad. Las tasas de calcificación varían ampliamente según el país y su frecuencia aumenta con la edad. La calcificación de la pineal está asociada con los cuerpos arenáceos ("acérvulos" o "arena cerebral").[21] [22]
Cáncer
Los tumores malignos de la región pineal son poco frecuentes, representan el 10% de los tumores encefálicos en los niños y alrededor del 1% en los adultos. Pueden ser de diferentes tipos dependiendo de sus características histológicas. Entre el 50 y el 75% derivan de células germinales como el germinoma y el teratoma, entre el 15 y el 30% se originan en las células del parénquima de la glándula, como el pinealocitoma y el pinealoblastoma. El grado de malignidad es variable, el pinealocitoma suele presentarse en el adulto de mediana edad y es de crecimiento lento, sin embargo el pinealoblastoma es típico de los niños, presenta alta agresividad y evolución rápida. Las manifestaciones más habituales son hidrocefalia por obstrucción del flujo de líquido cefalorraquídeo, cefalea y síntomas por compresión de otras estructuras situadas en el interior del cráneo, por ejemplo dificultad en el movimiento de los ojos (síndrome de Parinaud), raramente puede aparecer pubertad precoz en niños.[23] [24] [25]
Otros animales

Rojo= fibras de vimentina. Microscopía confocal. Inmunohistoquímica.
La mayor parte de los vertebrados poseen una glándula pineal, con la excepción de algunos peces como los mixinos considerados como vertebrados primitivos. No obstante los mixinos presentan una estructura equivalente en el diencéfalo dorsal.[26] El anfioxo Branchiostoma lanceolatum, el pariente existente más cercano a los vertebrados, también carece de una glándula pineal reconocible. Los cocodrilos, algunos mamíferos como los perezosos, pangolines y manatíes y algunos marsupiales como el petauro del azúcar han perdido durante el proceso evolutivo la glándula pineal, también es muy rudimentaria o está ausente en los cetáceos y en la rata topo desnuda.[27][28] Sin embargo algunos mamíferos que habitan regiones polares, como las morsas y algunas especies de focas, poseen glándulas pineales inusualmente grandes. En muchos animales, entre ellos los reptiles se emplea el término complejo pineal para hacer referencia a la glándula pineal más dos estructuras afines, la glándula parapineal y el ojo parietal o tercer ojo que se presenta en algunos lagartos (Lacertidae), las ranas (Anura) disponen de un órgano frontal equivalente al ojo parietal de los reptiles.
En muchos vertebrados, entre ellos los peces y los anfibios, la glándula pineal es un órgano fotosensible, las células que la componen son capaces de detectar la presencia de luz. Los mamíferos han perdido esta capacidad en el curso de la evolución, de tal forma que la información sobre la intensidad luminosa sólo puede ser captada por la retina, siendo necesario por tanto establecer una conexión nerviosa entre la retina y la glándula pineal. Los reptiles y aves presentan una organización intermedia, con algunas excepciones, persiste una capacidad fotosensible de la glándula y además existe un tracto nervioso retino-hipotalámico que permite que la información sobre el fotoperiodo se transmita desde el ojo a la glándula pineal.[29] Los pinealocitos en muchos vertebrados no mamíferos tienen un gran parecido a las células fotorreceptoras del ojo. Algunos biólogos evolutivos creen que las células pineales de los vertebrados poseen un ancestro evolutivo común con las células retinales.
Peces
En los peces la secreción de melatonina es inhibida por la luz . En algunas especies como la lubina y el bacalao los ojos contribuyen parcialmente al control de la secreción de melatonina por la glándula pineal lo que indica la existencia de una vía neuronal que conecta la retina con la glándula. Sin embargo en la mayor parte de las especies la producción de melatonina está controlada directamete por las células de la glándula pineal que tienen capacidad fotoreceptora, es decir sus células son capaces de detectar la luz.[30] También se ha observado que la secreción de melatonina responde a otros estímulos como la temperatura del agua, lo que aporta información adicional sobre el periodo estacional. Existe una implicación clara del órgano pineal en la regulación rítmica del proceso de reproducción en los peces.
Anfibios
Los anuros (ranas y sapos) disponen de un órgano frontal equivalente al ojo parietal de los reptiles, conectado a la glándula pineal por el nervio frontal. Ambas estructuras disponen de células fotorreceptoras de características similares. Los caudados (salamandras y tritones) y los gimnofiones (cecilias) no cuentan con órgano frontal. [31]
Reptiles
El complejo pineal de los reptiles es un conjunto de órganos morfológica y funcionalmente conectados. Está formado por dos estructuras: la glándula pineal y el ojo parietal. La glándula pineal está presente en los Testudines (tortugas), Squamata (lagartos, iguanas y serpientes) y Rhynchocephalia (tuátaras), pero no en Crocodilia. El ojo parietal está presente en algunas especies de Squamata, por ejemplo las iguanas y en Rhynchocephalia como la tuatara, no existe en cocodrilos, serpientes y tortugas. El ojo parietal es una estructura muy organizada y presenta córnea y retina bien definidas. Tanto la glándula pineal como el ojo parietal contienen células fotosensibles que captan la luz, sin embargo en la glándula predominan los pinealocitos que producen melatonina.[32]
Aves
Las aves cuentan con glándula pineal, pero no poseen ojo parietal ni glándula parapineal. La estructura del órgano presenta diferencias apreciables entre las diferentes especies, probablemente como consecuencia de su proceso evolutivo intermedio entre la glándula fotosensible de los peces y anfibios y la puramente secretora de los mamíferos.[31]
Mamíferos
En los mamíferos el tamaño y forma de la glándula es muy variable entre especies, oscilando entre los 0.2 mg del ratón doméstico a más de 3000 mg en la foca de Weddell (Leptonychotes weddellii), no siendo su peso proporcional al del animal.[31] [33]
Sociedad y cultura

René Descartes dedicó tiempo y esfuerzos al estudio de la neuroanatomía y neurofisiología. Tuvo particular interés en la glándula pineal, a la que llamó el "principal asiento del alma". El tema es abordado en su obra Tratado del hombre (escrito antes de 1637, pero que se publicó póstumamente, por primera vez en una traducción latina imperfecta en 1662, y luego en el original francés en 1664). El estudio más extenso en la neurofisiología y neuropsicología de la glándula pineal de Descartes, lo expuso en su obra: Las pasiones del alma(1649), obra en la cual consideró al ser humano dividido en dos sustancias, el cuerpo mecánico (sustancia extensa) y el alma (sustancia pensante), y es por medio de glándula pineal en la región posterior del cerebro, que el alma se comunicaba con el cuerpo. Esta glándula jugó un importante papel en el pensamiento de Descartes, al considerar que estaba involucrada en la sensación, la imaginación, la memoria y que era la causa de los movimientos corporales. Descartes dio tal significado importante a la glándula porque creía que era la única sección del cerebro que existía como una sola pieza en lugar de estar constituida por secciones medias. Sostuvo que, debido a que una persona nunca puede tener "más de un pensamiento a la vez", los estímulos externos deben de estar unidos dentro del cerebro antes de ser considerados por el alma, y así mismo consideraba que la pineal estaba situada en el "lugar más idóneo posible para este propósito", localizada centralmente en el cerebro y rodeada por ramificaciones de las arterias carótidas. Sin embargo, algunos de los supuestos anatómicos y fisiológicos básicos de René Descartes estaban totalmente equivocados, no solo de acuerdo a estándares actuales, sino también a la luz de lo que ya se conocía en su tiempo.[34][34]
Baruch Spinoza criticó el punto de vista de Descartes tanto por no seguir las teorías evidentes como por no ser "claramente y distinguidamente entendido" (habiendo afirmado previamente Descartes que no podía llegar a conclusiones de ese tipo), y cuestionó lo que Descartes quería decir al hablar de "la unión de la mente y el cuerpo".
La noción de un "ojo pineal" es fundamental para la filosofía del escritor francés Georges Bataille, que es analizado en detalle por el erudito literario Denis Hollier en su estudio de Against Architecture. En este trabajo Hollier analiza como Bataille utiliza el concepto de un "ojo pineal" como una referencia a un punto ciego en la racionalidad occidental, y un órgano del exceso y del delirio. Este mecanismo conceptual es explícito en sus textos surrealistas, The Jesuve y The Pineal Eye.
Numerosas filosofías espirituales albergan la idea de un tercer ojo interno que está relacionado con el chakra Ajna y también con la glándula pineal. Esto tiene significados atribuidos en despertares místicos o de iluminación, percepción clarividente, y estados elevados de consciencia. Esta idea arranca históricamente en la antigua Asia central y occidental, así como en teorías contemporáneas relacionadas con el yoga, la teosofía, las religiones hinduistas y paganas, y las filosofías espirituales de la Nueva Era.
La ciencia actual considera la glándula pineal como una estructura neuroanatómica sin cualidades metafísicas especiales y la estudia como una glándula endocrina entre muchas. Sin embargo, la glándula pineal continua teniendo un estatus exaltado en el reino de la pseudociencia.[34]
Historia
Por sus características anatómicas, muy pronto llamó la atención de los médicos. La primera descripción de la glándula pineal se atribuye a Herófilo de Calcedonia,[35] en el siglo III a. C., quien la vinculó a funciones valvulares reguladoras del «flujo del pensamiento» en el sistema ventricular. Galeno (siglo II d. C.) describió su anatomía y la llamó konarium (cono de piña), denominación que ha perdurado hasta nuestros días junto con la de pineal, pinea (piña en latín). Parece ser, además, que Galeno observó que la pineal tenía mayor parecido estructural con las glándulas que con los núcleos del sistema nervioso.
El siguiente avance en el conocimiento de esta glándula se produjo en el Renacimiento. Singularmente, Andrés Vesalio aportó una descripción anatómica muy precisa en su obra De Humani Corporis Fabrica (1543). René Descartes la calificó de «tercer ojo» en su trabajo póstumo De homine (1633), porque, según su concepción dualista, constituía el correlato físico del alma. Descartes le asignó también una función fisiológica: como parte del sistema nervioso, la glándula pineal se encargaba de la percepción del entorno. Con este planteamiento se llegó hasta el siglo XIX, cuando se abordó la glándula pineal de los mamíferos desde diferentes perspectivas —anatómica, histológica y embriológica— y se mostró su similitud con la epífisis de vertebrados posicionados más abajo en la escala filogenética.
La actividad secretora de la pineal se entiende solamente de forma parcial. Su ubicación profunda en el cerebro ha sugerido a los filósofos a lo largo de la historia que posee una importancia especial. Esta combinación dio lugar a que haya sido considerada como una glándula misteriosa con teorías ocultas, místicas y metafísicas que envolverían a sus funciones.
Se pensó desde un principio que la glándula pineal era un "remanente vestigial" de un órgano más grande. En 1917, se supo que el extracto de las pineales de las vacas aclaraban la piel de las ranas. El profesor de dermatología Aaron B. Lerner y varios colegas de la Universidad de Yale, con la esperanza de que una sustancia procedente de la pineal pudiera ser útil en el tratamiento de las enfermedades de la piel, la aislaron y a la hormona le dieron el nombre de melatonina en 1958. La sustancia no demostró ser eficaz como se esperó desde un principio, pero su descubrimiento ayudó a solventar diversos misterios tales como por qué la eliminación de la glándula pineal en las ratas aceleraba el crecimiento ovárico, por qué el mantener a las ratas a una exposición de constante luz atenuaba el peso de sus pineales, y por qué la pinealectomía y la luz constante afectaba al crecimiento ovárico en igual medida; este conocimiento dio un impulso al entonces nuevo campo de la cronobiología.
La glándula pineal como instrumento físico de las facultades del alma
El intento de encontrar el lugar físico del cuerpo donde se encuentra el alma humana ha sido motivo de discusión a lo largo de la historia. Diferentes filósofos y científicos se han interesado por el tema, entre ellos Descartes, para quien el alma estaba situada en la glándula pineal, ubicada en un lugar privilegiado en el centro del encéfalo, desde el cual supuestamente dirigía el funcionamiento del cuerpo humano. Las razones que llevaron al filósofo alcanzar esta conclusión fueron que la totalidad de los órganos sensoriales y la mayor parte de las estructuras situadas en la cabeza son dobles, sin embargo la glándula pineal es única y está situada geométricamente en el centro del encéfalo.[36] Sin embargo las hipótesis cartesianas no se confirmaron, el fisiólogo danés Nicolás Steno (1638-1686) en su obra Dissertatio de cerebri anatome publicada en 1671, refutó la teoría de que existe un alma racional ubicada en la glándula pineal. Thomas Willis publicó en 1664 Cerebri anatome cui accessit nervorum descriptio et usus, manifestando la escasa credibilidad de la opinión de Descartes, aduciendo que si la glándula pineal fuera el asiento del alma y la sede del raciocinio tendría una presencia especial en el ser humano, mientras que en realidad está igualmente presente o incluso más desarrollada en los animales carentes de las propiedades superiores del alma, como la memoria, el intelecto y la imaginación.[36] En el siglo XX, el siquiatra norteamerico Rick Strassman, resucitó antiguas teorías y relacionó de nuevo la glándula pineal con el sexto chakra o Ajna (tercer ojo) del que habla la tradición védica o el «asiento del alma» que Descartes exponía. Strassman postuló que la glándula pineal aloja el espíritu o alma desde el 49.º día tras la concepción, también afirmó que la dimetiltriptamina hace posible la entrada y salida del alma en el cuerpo físico de un individuo.[37] Sin embargo, estas afirmaciones no son aceptadas por la comunidad científica.[38] La dimetiltriptamina es en realidad una sustancia alucinógena que se encuentra en concentraciones muy bajas en diversas partes del encéfalo y en varias plantas empleadas por tribus indígenas en ceremonias místicas, por ejemplo el conocido brebaje ayahuasca es una mezcla de especies vegetales y contiene dimetiltriptamina y otras sustancias psicoactivas.[39][40][41] [42] Las narraciones que vinculan la glándula pineal con acciones sobrenaturales o "chakra védico", ubicado por encima del entrecejo, incluso referido por la teosofía como un "tercer ojo" con poderes espirituales que pueden ser activados por medio de prácticas místicas, carecen de base neuroanatómica y científica, por lo que pertenecen al reino de las pseudociencias. No tienen base neuroanatómica, pues el supuesto "tercer ojo", en el ámbito de las pseudociencias, es ubicado en el entrecejo, y el cuerpo pineal en realidad está ubicado en el epitálamo en situación muy posterior, se localiza en la parte central del encéfalo y no en la región frontal. En textos de neurocirugía no se describe que la extirpación de la glándula pineal (pinealectomía) que se realiza a pacientes que presentan tumores u otras enfermedades que afectan a la glándula, tenga consecuencias sobre capacidades espirituales que se citan en ámbitos pseudocientíficos.[43] [44]
Imágenes adicionales
El cuerpo pineal está etiquetado en estas imágenes.
-
Aspecto mesal de un cerebro seccionado en el plano sagital mediano. -
Disección que muestra los ventrículos del cerebro. -
Vista anterolateral de las regiones medias y traseras del cerebro. -
Sección sagital mediana del cerebro. -
Glándula pineal.
-
Tronco encefálico. Vista posterior.
Referencias
- ↑ OMS,OPS,BIREME (ed.). «Glándula Pineal». Descriptores en Ciencias de la Salud. Biblioteca Virtual en Salud.
- ↑ Histología: texto y atlas color con biología celular y molecular, página 751. Autores: Michael H. Ross, Wojciech Pawlina.
- ↑ a b Morfología de la Glándula Pineal - Revisión de la Literatura. Int. J. Morphol., 32(2):515-521, 2014. Autores: Ignacio Roa, Mariano del Sol. Consultado el 18 de marzo de 2025.
- ↑ Fundamentos de Fisiología, página 390. Autor: Eugenio Martín Cuenca. Consultado el 19 de marzo de 2025.
- ↑ Arterial vascularization of the pineal gland. Child's Nervous System · enero 2013, DOI: 10.1007/s00381-012-2018-z. Autores: Gokmen Kahilogullari, Hasan Caglar Ugur, Ayhan Comert, Recep Ali Brohi, Onur Ozgural&, Mevci Ozdemir, Suleyman Tuna Karahan. Consultado el 19 de marzo de 2025.
- ↑ Estudio de las relaciones metabólicas y funcionales entre serotonina y melatonina en la glándula pineal de mamíferos. Aplicación de técnicas de microdiálisis in vivo. Tesis doctoral. Autor: Lucinda Paz Valiñas, 2009. Universidad de Santiago de Compostela. Facultad de Biología. Consultado el 25 de marzo de 2025.
- ↑ Larsen. Embriología humana, sexta edición. Consultado el 20 de marzo de 2025.
- ↑ Sumida M, Barkovich AJ, Newton TH (febrero 1996). «Development of the pineal gland: measurement with MR». AJNR. American Journal of Neuroradiology 17 (2): 233-236. PMC 8338352. PMID 8938291.
- ↑ Tapp E, Huxley M (septiembre 1971). «The weight and degree of calcification of the pineal gland». The Journal of Pathology 105 (1): 31-39. PMID 4943068. S2CID 38346296. doi:10.1002/path.1711050105.
- ↑ Ibañez Rodriguez M.P.; Noctor S.C.; Muñoz E.M. (2016). «Cellular Basis of Pineal Gland Development: Emerging Role of Microglia as Phenotype Regulator.». PLoS ONE 11 (11): e0167063. doi:10.1371/journal.pone.0167063. Consultado el 30 de marzo de 2025.
- ↑ Neuroanatomía clínica. Página 272. Autor:Richard S. Snell. Consultado el 15 de marzo de 2025.
- ↑ Arendt, Josephine; Aulinas, Anna (2022). «Physiology of the Pineal Gland and Melatonin». Endotext [Internet]. Endocrinology book. Consultado el 29 de marzo de 2025.
- ↑ a b Melatonina en los trastornos de sueño. Autores:J.J. Poza, M. Pujol, J.J. Ortega-Albás, O. Romero. Consultado el 22 de marzo de 2025.
- ↑ a b Melatonina, la hormona de la noche. Revista Eubacteria. Especial de Cronobiología. Nº 33. 2015. ISSN 1697-0071. Autores:Raquel Argüelles, Mª Ángeles Bonmatí. Consultado el 20 de marzo de 2025.
- ↑ Role of Melatonin in Ovarian Function . Animals (Basel), 14(4):644, doi: 10.3390/ani14040644. Autores: Giuseppina Basini , Francesca Grasselli. PMID: 38396612 . Consultado el 20 de marzo de 2025.
- ↑ Influencia de la Melatonina sobre la fisiología y la conducta de ungulados. Rev. investig. Altoandin. vol.19 no.3 Puno jul./set. 2017. Autores: Lina María Correa; José Luis Fernández. Consultado el 20 de marzo de 2025.
- ↑ Melatonin: From basic research to cancer treatment clinics. J Clin Oncol., 20 (2002), pp. 2575-2601. Autores: Vijayalaxmi, C.R. Thomas, R.J. Reiter, T.S. Herman. Consultado el 24 ee marzo de 2025.
- ↑ Role of melatonin in cancer treatment. Anticancer Res., 32 (2012), pp. 2747-2753. Autores:A. Cutando, A. Lopez-Valverde, S. Arias-Santiago, J. de Vicente, R.G. de Diego. Consultado el 24 de marzo de 2025.
- ↑ Effects of melatonin supplementation on diabetes: A systematic review and meta-analysis of randomized clinical trials. Clin Nutr, julio 2021; 40(7):4595-4605. Autores: Felipe Mendes Delpino, Lílian Munhoz Figueiredo, Bruno Pereira.
- ↑ Quiste pineal como hallazgo radiológico. Semergen. 2020;46 (Espec Congr 1). Autor: E. Nistor Nistor. Consultado el 25 de marzo de 2025.
- ↑ Zimmerman RA, Bilaniuk LT (marzo 1982). «Age-related incidence of pineal calcification detected by computed tomography». Radiology (Radiological Society of North America) 142 (3): 659-662. PMID 7063680. doi:10.1148/radiology.142.3.7063680. Archivado desde el original el 24 de marzo de 2012. Consultado el 21 de junio de 2012.
- ↑ Bocchi G, Valdre G (1993). «Physical, chemical, and mineralogical characterization of carbonate-hydroxyapatite concretions of the human pineal gland.». J Inorg Biochem 49 (3): 209-20. PMID 8381851. doi:10.1016/0162-0134(93)80006-U.
- ↑ Glioblastoma de la región pineal: reporte de un caso y revisión de la literatura. Rev. Chil. Neurocirugía 46: 166-171, 2020. Consultado el 25 de marzo de 2025. Autores:Ana Arellano A., Patricio Bustos G., Melchor Lemp M. , Monserrat Arroyo B., Francisco Marin C. , Luis Contreras S..
- ↑ Fundamentos del diagnóstico en radiología, pag. 744. Autor:Lee A. Grant. Consultado el 25 de marzo de 2025.
- ↑ Jeffrey, C. el al.Pineal Regions Tumors. Society for Neuro-Oncology. Consultado el 19 de noviembre de 2012.
- ↑ Ooka-Souda, S., Kadota, T., and Kabasawa, H. (diciembre 1993). “The preoptic nucleus: the probable location of the circadian pacemaker of the hagfish, Eptatretus burgeri”. Neurosci. Lett. 164 (1–2): 33–6.
- ↑ Pineal atrophy and other neuroendocrine and circumventricular features of the naked mole-rat, Heterocephalus glaber (Rüppell), a fossorial, equatorial rodent. J Neural Transm. 1981;52(1-2):107-15, doi: 10.1007/BF01253102.
- ↑ Evidence of melatonin secretion in cetaceans: plasma concentration and extrapineal HIOMT-like presence in the bottlenose dolphin Tursiops truncatus. Gen Comp Endocrinol, 1 de junio de 2012;177(2):238-45, doi: 10.1016/j.ygcen.2012.04.012. Autores: Mattìa Panin, Gianfranco Gabai, Cristina Ballarin, Antonella Peruffo, Bruno Cozzi.
- ↑ La reproducción de los peces: aspectos básicos y sus aplicaciones en acuicultura. Autor: Manuel Adrián Carrillo Estévez. Fecha de publicación 2009. Consultado el 25 de marzo de 2025.
- ↑ The Pineal Gland and Photoperiodism in Fish. Autores:Jack Falcón, José A Muñoz-Cueto. Encyclopedia of Reproduction (Second Edition), Academic Press, 2018, Pages 400–408, ISBN 9780128151457.
- ↑ a b c Gross Anatomy of the Pineal Complex in Animals. Autores: Bogdan Lewczuk, Barbara Przybylska-Gornowicz. Consultado el 1 de abril de 2025.
- ↑ The pineal complex of reptiles: Physiological and behavioral roles. Ethology Ecology & Evolution 9(4), octubre 1997. Autor: Gianluca Tosini.
- ↑ Genomic evidence for the parallel regression of melatonin synthesis and signaling pathways in placental mammals. Open Res Eur. 13 de diciembre de 2021;1:75, doi: 10.12688/openreseurope.13795.2. Autores: Christopher A. Emerling, Mark S. Springer, John Gatesy, Zachary Jones, Deana Hamilton, David Xia-Zhu, Matt Collin, Frédéric Delsuc.
- ↑ a b c Lokhorst, Gert-Jan (2015). Descartes and the Pineal Gland. Stanford: The Stanford Encyclopedia of Philosophy.
- ↑ Pontificia Universidad Católica de Chile (ed.). Apuntes de Historia de Medicina: Herófilo. Archivado desde el original el 5 de agosto de 2013. Consultado el 16 de agosto de 2012.
- ↑ a b La glándula pineal como instrumento físico de las facultades del alma: una conexión histórica persistente. Neurología, vol. 27, número 3, abril 2012. Consultado el 15 de marzo de 2025.
- ↑ Strassman, Rick J. (2001). «Introducción». DMT: The Spirit Molecule (en inglés). Rochester (Vermont, Estados Unidos): Park Street Press. p. XVII. ISBN 978-0-89281-927-0. Consultado el 18 de noviembre de 2012.
- ↑ Nichols DE (2018). N,N-dimethyltryptamine and the pineal gland: Separating fact from myth. J Psychopharmacol 32: 30–36.
- ↑ Fontanilla D, Johannessen M, Hajipour AR, Cozzi NV, Jackson MB, Ruoho AE. «The hallucinogen N,N-dimethyltryptamine (DMT) is an endogenous sigma-1 receptor regulator». Departamento de Farmacología, Escuela de Medicina y Salud Pública de la Universidad de Wisconsin, Madison (Wisconsin, Estados Unidos).
- ↑ Jacob MS, Presti DE. «Endogenous psychoactive tryptamines reconsidered: an anxiolytic role for dimethyltryptamine». Departamento de Biología Molecular y Celular, Universidad de California, Berkeley (California, Estados Unidos).
- ↑ Gouzoulis-Mayfrank E, Heekeren K, Neukirch A, Stoll M, Stock C, Obradovic M, Kovar KA. «Psychological effects of (S)-ketamine and N,N-dimethyltryptamine (DMT): a double-blind, cross-over study in healthy volunteers». Departamento de Psiquiatría y Psicoterapia, Universidad de Colonia (Alemania).
- ↑ Alucinógenos. DrugFacts. National Institute on Drug Abuse, 2019. Consultado el 2 de abril de 2025.
- ↑ Krieg SM, Slawik H, Meyer B, Wiegand M, Stoffel M. (2012). Sleep disturbance after pinealectomy in patients with pineocytoma WHO°I (154(8)). pp. 1399-405.
- ↑ Navas-García M, Goig-Revert F, Villarejo-Ortega FJ, Robla J, De Prada I, Madero L, et al. «Tumores de la región pineal en la edad pediátrica. Presentación de 23 casos y revisión de la bibliografía». en Rev Neurol 2011;52:641-52. Archivado el 22 de marzo de 2014 en Wayback Machine. Revista de Neurología. Consultado el 12 de noviembre de 2012
Enlaces externos
- Descartes and the Pineal Gland. Stanford Encyclopedia of Philosophy.
- Pineal Gland: A Cognitive Advantage for Africans. Africa Resource Center
- Melanin, Afrocentricity, and Pseudoscience. Bernard R. Ortíz de Montellano. Yearbook of Phisical Anthropology 3:33-58 (1993).
- Studies of chinese original quiet sitting by using functional magnetic resonance imaging..
- Detection of nighttime melatonin level in Chinese Original Quiet Sitting.

