Fibroadenoma
| Fibroadenoma | ||
|---|---|---|
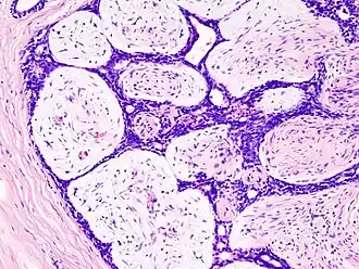
![]() Imagen histopatológica de fibroadenoma de mama. Tinción hematoxilina-eosina. | ||
| Especialidad |
oncología ginecología | |
El tumor benigno más común de la mama femenina es el fibroadenoma. Como su nombre indica, es una neoplasia formada por el tejido fibroso y glandular. Ocurre en cualquier etapa del período reproductivo de la vida y es algo más frecuente antes de los 30 años de edad. Se dice que el tumor aparece como resultado del aumento de sensibilidad de un foco mamario a los estrógenos.
Crece por lo regular como un nódulo pequeño y centrífugo que suele ser netamente circunscrito y libremente móvil sobre el parénquima mamario adyacente.[1] Aunque un fibroadenoma, así como los papilomas intraductales, son crecimientos anormales, no son cancerosos y no se pueden propagar del seno hacia otros órganos.[2][3]
Signos y síntomas
Los fibroadenomas son tumores benignos de la mama, que se presentan con mayor frecuencia en mujeres de entre 20 y 30 años.[3] Clínicamente, los fibroadenomas suelen ser bultos mamarios sólidos que son:
Las personas que tienen un fibroadenoma simple probablemente no tengan un mayor riesgo de desarrollar cáncer de mama maligno (dañino) en comparación con la población general.[3] Los fibroadenomas complejos pueden aumentar levemente el riesgo de cáncer de mama. En la mama masculina, los tumores fibroepiteliales son muy raros y en su mayoría son tumores filoides. Existen informes de casos excepcionalmente raros de fibroadenomas en la mama masculina; sin embargo, estos casos pueden estar asociados con el tratamiento con antiandrógenos.[4]
Véase también
Referencias
- ↑ Estela Virginia Mur y col. Displasia mamaria, revisión Archivado el 19 de septiembre de 2008 en Wayback Machine. (en español). Revista de Posgrado de la VIa Cátedra de Medicina - N° 133 – Noviembre 2003.
- ↑ American Cancer Society ¿Qué es? Cáncer de seno Archivado el 2 de diciembre de 2008 en Wayback Machine. (en español). Septiembre, 2008.
- ↑ a b c d e f g «Fibroadenomas of the Breast». www.cancer.org (en inglés). Consultado el 7 de febrero de 2025.
- ↑ Shin, Sandra J.; Rosen, Paul Peter (1 de julio de 2007). «Bilateral Presentation of Fibroadenoma With Digital Fibroma–like Inclusions in the Male Breast». Archives of Pathology & Laboratory Medicine 131 (7): 1126-1129. ISSN 0003-9985. doi:10.5858/2007-131-1126-BPOFWD. Consultado el 7 de febrero de 2025.
.jpg)