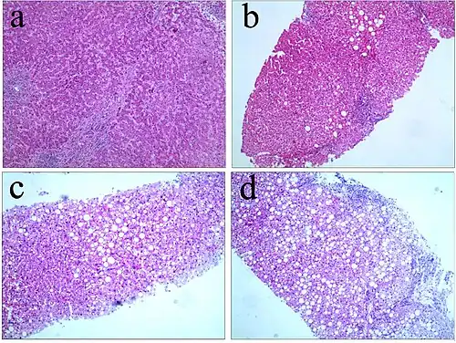
Esteatosis

La esteatosis o cambio graso es el nombre que recibe en anatomía patológica la acumulación anormal de triglicéridos en el citoplasma de células parenquimatosas. Lo más frecuente es que se dé en el hígado (esteatosis hepática), pero también aparece en corazón, riñón, etc.[1] Es una lesión reversible.[2]
Los factores de riesgo asociados a la esteatosis son variados, y pueden incluir la diabetes mellitus, desnutrición proteica, hipertensión arterial,[3] toxinas, obesidad,[4] y la apnea del sueño.[5]
Los lípidos se acumulan en vesículas que, dependiendo de su tamaño, clasifican la esteatosis en microvesicular o macrovesicular. En esta última, la cantidad de grasas es tan grande que ocupan todo el citoplasma y desplazan el núcleo a la periferia.[6]
Véase también
Referencias
- ↑ Kumar, Abbas y Aster, 2013, p. 23.
- ↑ Kumar, Abbas y Aster, 2013, p. 8.
- ↑ Brookes, MJ; Cooper, BT (abril de 2007). «Hypertension and fatty liver: guilty by association?». J Hum Hypertens (en inglés) 21 (4): 264-70. PMID 17273155. doi:10.1038/sj.jhh.1002148.
- ↑ Saadeh, S (febrero de 2007). «Nonalcoholic Fatty liver disease and obesity». Nutr Clin Pract (en inglés) 22 (1): 1-10. PMID 17242448. doi:10.1177/011542650702200101.
- ↑ Ahmed, MH; Byrne, CD (septiembre de 2010). «Obstructive sleep apnea syndrome and fatty liver: association or causal link?». World J. Gastroenterol. (en inglés) 16 (34): 4243-52. PMC 2937104. PMID 20818807. doi:10.3748/wjg.v16.i34.4243.
- ↑ Kumar, Abbas y Aster, 2013, p. 621.
Bibliografía
- Kumar, Vinay; Abbas, Abul K.; Aster, John C. (2013). Robbins. Patología humana (9.ª edición). Barcelona: Elsevier. ISBN 978-84-8086-994-2.