Espongiosis
Espongiosis es un término que se emplea en medicina para describir la existencia de edema intercelular en la capa de células de la piel llamada capa de Malpigio o capa esponjosa. La espongiosis puede observarse en numerosas enfermedades que afectan a la piel.[1][2][3][4]
Histología
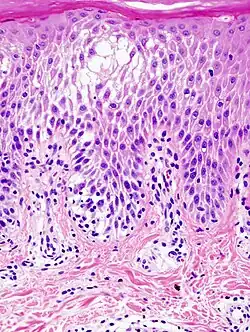
La espongiosis se observa cuando se estudian muestras de una biopsia de piel a través del microscopio, En la capa de Malpigio, las células están más separadas de lo normal y pueden formarse pequeñas vesículas por acumulación de líquido, observándose además la presencia de células inflamatorias como linfocitos.
Enfermedades
La espongiosis está presente en diferentes enfermedades de la piel, por ejemplo el eccema dishidrótico, la dermatitis de contacto, la dermatitis seborreica y el Síndrome de Stevens-Johnson. Un tipo particular es la espongiosis eosinofílica que se presenta en la incontinentia pigmenti y otras enfermedades de la piel poco comunes.
Otros usos

- Espongiosis medular renal. Es una enfermedad congénita del riñón, sin ninguna relación con la definición principal del término espongiosis utilizada en dermatología.
- Espongiosis de la encefalopatía espongiforme transmisible. En neurología se utiliza el término espongiosis para describir las características del tejido nervioso en determinadas enfermedades producidas por priones, como la encefalopatía espongiforme bovina y la enfermedad de Creutzfeldt-Jakob. El tejido cerebral observado al microscopio se caracteriza por la aparición en el citoplasma de las células de pequeñas vacuolas de entre 20 y 200 micras que le dan un aspecto parecido a una esponja.
Referencias
- ↑ Diccionario enciclopédico ilustrado de medicina Dorland. ISBN 84-7605-223-5. Consultado el 26 de junio de 2015
- ↑ Dermatitis espongiforme. Consultado el 26 de junio de 2015
- ↑ Nelson E. Driban: Lecciones semiológicas histológicas. Archivado el 27 de junio de 2015 en Wayback Machine. Consultado el 26 de junio de 2015
- ↑ Patrón de reacción espongiótico