Embolia grasa
| Síndrome de embolismo graso | ||
|---|---|---|
|
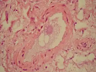
Corte microscópico de los pulmones que muestra un vaso sanguíneo con material fibrinoide y un espacio vacío, indicativo de la presencia de lípidos disueltos durante la tinción. Tinción de hematoxilina y eosina. | ||
| Especialidad | Ortopedia, traumatología, pulmonología, cuidados intensivos | |
| Síntomas | Erupción petequial, disminución del nivel de conciencia, disnea | |
| Complicaciones | Trastorno de personalidad, convulsiones | |
| Causas | Fractura ósea, pancreatitis, trasplante de médula ósea, liposucción | |
| Diagnóstico | Basado en síntomas | |
| Diagnóstico diferencial | Embolia pulmonar y neumonía | |
| Prevención | Temprana estabilización del/los huesos largos | |
| Tratamiento | Tratamiento sintomático | |
| Pronóstico | 10% de riesgo de muerte | |
| Frecuencia | Raro | |
| Sinónimos | ||
| Embolismo graso, embolia grasa, émbolo graso | ||
La embolia grasa o síndrome de embolismo graso es la obstrucción de un vaso arterial por un émbolo graso. Ocurre cuando la grasa entra en el sistema sanguíneo.[1] Los síntomas ocurren normalmente en un solo día.[1] Estos pueden incluir petequia, reducido nivel de conciencia y dificultad para respirar.[1] Otros síntomas pueden ser fiebre y baja salida de orina.[2] El riesgo de muerte es alrededor del 10%.[2]
El embolismo graso es el resultado de fracturas de huesos como los fémures o la pelvis.[1][3] Otras causas pueden ser pancreatitis, una cirugía ortopédica, trasplante de médula ósea y liposucción.[2][3]
El tratamiento suele ser sintomático.[4] Esto puede incluir oxigenoterapia, fluidos por intravenosa, albuminuria y ventilación mecánica.[2] Aunque es común que aparezcan pequeñas cantidades de grasa en la sangre después de una fractura ósea,[3] el síndrome de embolia grasa es poco común.[4] La afección fue diagnosticada por primera vez en 1862 por Zenker.[1]
Causas
- Fractura de la diáfisis de los huesos largos, ya que contienen trioleínas, que son unas grasas muy líquidas que penetran fácilmente en el torrente sanguíneo. Generalmente, se trata de fracturas cerradas, puesto que la presión es mayor.
- En intervenciones quirúrgicas cuando se introducen clavos que aumentan la presión.
- En resecciones de tumores óseos.
- Inyecciones de sustancias oleosas en sangre.
- Anotaciones.
- Amputaciones.
Clínica
Hay un periodo mudo que dura 2 o 3 días tras el factor etiológico. También hay una forma fulminante con parada cardiorrespiratoria (1 %).
Tras el periodo mudo se da:
- Taquicardia, taquipnea, hipoxia e hipocapnia.
- Erupción petequial en la parte anterosuperior (cuello, hombros, tórax, abdomen) por coagulopatía de consumo.
- Fiebre alta.
- Alteración de la conducta: apatía, obnubilación, convulsiones...
- Manifestaciones en otros órganos: manchas algodonosas, lipiduria, hemoptisis y lipoptisis, alteraciones hepáticas y auditivas.
Referencias
- ↑ a b c d e Akhtar, Shamsuddin (1 de septiembre de 2009). «Fat Embolism». Anesthesiology Clinics (en english) 27 (3): 533-550. ISSN 1932-2275. PMID 19825491. doi:10.1016/j.anclin.2009.07.018. Consultado el 26 de junio de 2025.
- ↑ a b c d «Fat embolism syndrome». patient.info (en inglés). Consultado el 26 de junio de 2025.
- ↑ a b c Adeyinka, Adebayo; Pierre, Louisdon (2025). Fat Embolism. StatPearls Publishing. Consultado el 26 de junio de 2025.
- ↑ a b Fukumoto, Lauren E.; Fukumoto, Kathryn D. (2018-09). «Fat Embolism Syndrome». The Nursing Clinics of North America 53 (3): 335-347. ISSN 1558-1357. PMID 30100000. doi:10.1016/j.cnur.2018.04.003. Consultado el 26 de junio de 2025.