Disgerminoma

El disgerminoma es el tipo más común de tumor maligno de células germinales ovárico,[1] homólogo al seminoma de los testículos.[2] Constituye el 2 % de los tumores de ovario, el 33 % de los tumores malignos de células germinales[3] y, de esta clase, el más habitual entre las personas con anomalías cromosómicas o fallos en el desarrollo gonadal —pero, teniendo en cuenta en total, solo el 5-10 % ocurren en estos—.[1] La máxima incidencia se produce en la segunda y tercera década de la vida.[1][4] Es unilateral con una frecuencia del 80-90 %.[2]
Los síntomas son inespecíficos, destaca el dolor abdominal, masa abdominopélvica palpable, pero también disuria, saciedad y micción frecuente.[5] Metastatiza por vía linfática a los ganglios parailíacos y paraaórticos y, más adelante, por vía hematógena a pulmones, hígado y huesos, entre otros órganos.[6]
Anatomía patológica

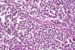
Las células del disgerminoma se agrupan en cordones o sábanas,[2] tienen un citoplasma claro con un núcleo central, liso, con cromatina granular y nucléolos evidentes.[1] El estroma se compone de bandas fibrosas[2] que contienen linfocitos y, en menor cantidad, histiocitos, sincitiotrofoblasto y granulomas.[7] Las células del sincitiotrofoblasto producen gonadotropina coriónica humana (hCG).[6] En cuanto a su inmunohistoquímica, suelen ser positivos para SALL4 y OCT3/4, pero, a diferencia de otros carcinomas de células claras, son negativos para EMA y casi siempre para queratinas.[7]
Macroscópicamente se trata de una masa sólida gris[2] o gris amarillento con una cápsula fina que crece rápidamente. Tiene consistencia suave al corte.[1]
Tratamiento
Cuando se diagnostica en estadio Ia se realiza una salpingooforectomía uniteral para extirparlo, pero cuando está más avanzado se complementa con quimioterapia adyuvante, normalmente con bleomicina, etopósido y cisplatino.[5][8] En el seguimiento se realizan exploraciones pélvicas y medición de los marcadores tumorales (hCG, LDH y alfa-fetoproteína).[5] También es un cáncer radiosensible.[2] El pronóstico es bueno, la supervivencia a cinco años es del 96 % si el tumor solo se encuentra en el ovario[8] y del 63 % si se ha extendido,[5] con una supervivencia general mayor del 80 %.[2][8]
Véase también
Referencias
- ↑ a b c d e Altchek, Deligdisch y Kase, 2003, p. 97.
- ↑ a b c d e f g Kumar, Abbas y Aster, 2013, p. 699.
- ↑ Ajao, Vachon y Snyder, 2013, p. e954.
- ↑ Ajao, Vachon y Snyder, 2013, p. e954-e955.
- ↑ a b c d Michener, Chad M. (23 de enero de 2020). «Ovarian Dysgerminomas». medscape.com (en inglés). Consultado el 12 de junio de 2020.
- ↑ a b Altchek, Deligdisch y Kase, 2003, p. 98.
- ↑ a b Howitt et al., 2018, p. 930.
- ↑ a b c Ajao, Vachon y Snyder, 2013, p. e955.
Bibliografía
- Ajao, Michael; Vachon, Tyler; Snyder, Pete (1 de agosto de 2013). «Ovarian Dysgerminoma: A Case Report and Literature Review». Military Medicine (en inglés) 178 (8): e954-e955. PMID 23929062. doi:10.7205/MILMED-D-13-00091. Consultado el 12 de junio de 2020.
- Altchek, Albert; Deligdisch, Liane; Kase, Nathan G., eds. (2003). Diagnosis and management of ovarian disorders (en inglés). Elsevier. ISBN 0-12-053642-0.
- Howitt, Brooke E.; Lee, Kenneth R.; Muto, Michael G.; Nucci, Marisa R.; Crum, Christopher P. (2018). «The Pathology of Pelvic-Ovarian Epithelial (Epithelial-Stromal) Tumors». Diagnostic gynecologic and obstetric pathology (en inglés). Elsevier. pp. 865-948. ISBN 978-0-323-44732-4. doi:10.1016/B978-0-323-44732-4.00025-X.
- Kumar, Vinay; Abbas, Abul K.; Aster, Jon C., eds. (2013). Robbins. Patología humana (9.ª edición). Elsevier. ISBN 978-84-8086-994-2.