Cuerpo asteroide

Un cuerpo de asteroide es un hallazgo microscópico que se observa dentro de las células gigantes de los granulomas en enfermedades como la sarcoidosis y en las reacciones gigantocelulares a cuerpo extraño.[1]
Existe controversia sobre su composición. Tradicionalmente, se pensaba que se trataba de elementos del citoesqueleto y que consistían principalmente de vimentina.[2] Sin embargo, investigaciones más recientes sugieren que esto era incorrecto y que pueden estar compuestos de lípidos organizados en bicapas.[3]
También se pensó que estaban relacionados con los centriolos, un orgánulo implicado en división celular en eucariotas.[4]
Véase también
Imágenes adicionales
-
Micrografía de cuerpos de asteroides en sarcoidosis pulmonar. Tinción con hematoxilina eosina. -
Micrografía de cuerpos de asteroides en sarcoidosis pulmonar. Tinción con hematoxilina eosina. -
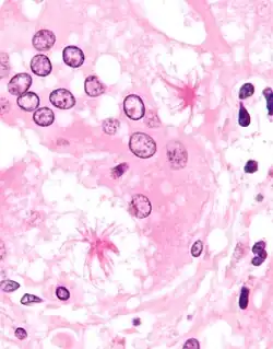
Cuerpo de asteroide en sarcoidosis.
Referencias
- ↑ Cain, H; Kraus, B (Dec 1977). «Asteroid bodies: derivatives of the cytosphere. An electron microscopic contribution to the pathology of the cytocentre.». Virchows Arch B Cell Pathol 26 (2): 119-32. PMID 204105.
- ↑ Cain, H; Kraus, B (1983). «Immunofluorescence microscopic demonstration of vimentin filaments in asteroid bodies of sarcoidosis. A comparison with electron microscopic findings.». Virchows Arch B Cell Pathol Incl Mol Pathol 42 (2): 213-26. PMID 6133393.
- ↑ Papadimitriou, JC; Drachenberg, CB (1992). «Ultrastructural analysis of asteroid bodies: Evidence for membrane lipid bilayer nature of components». Ultrastruct Pathol 16 (4): 413-421. PMID 1323892. doi:10.3109/01913129209057826.
- ↑ Kirkpatrick, CJ; Curry, A; Bisset, DL (1988). «Light- and electron-microscopic studies on multinucleated giant cells in sarcoid granuloma: new aspects of asteroid and Schaumann bodies.». Ultrastruct Pathol 12 (6): 581-97. PMID 2853474. doi:10.3109/01913128809056483.