Cuña (cerebro)
| Cuña | ||
|---|---|---|
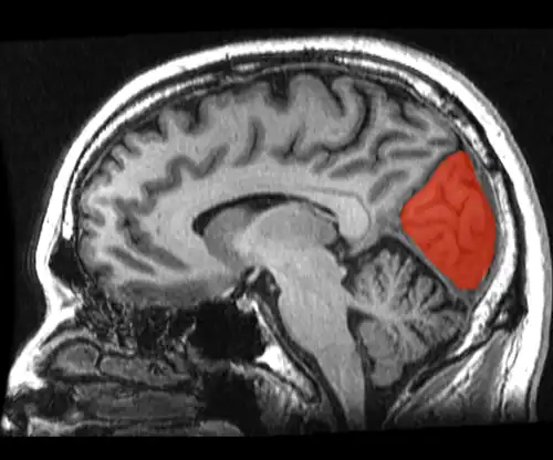
![]() Superficie medial del hemisferio cerebral izquierdo. La cuña es visible a la izquierda en naranja. | ||
![]() Vista medial de un cerebro humano partido por la mitad. | ||
| Latín | [TA]: cuneus | |
| TA | A14.1.09.224 | |
| Es parte de | cerebro | |
| Arterias | arteria cerebral posterior | |
| Sistema | nervioso | |
| Sinónimos | ||
| Enlaces externos | ||
| NeuroNames | cuneus | |

Se denomina cuña o cúneo a la porción cuneiforme del lóbulo occipital del cerebro en su cara interna, comprendida en el ángulo que forman al separarse entre sí los surcos parieto-occipital o cisura perpendicular interna y calcarino o cisura calcarina.[1][2]
Función
La cuña (área de Brodmann 17) recibe información visual de la zona superior de la retina contralateral (del lado contrario) representando el campo visual inferior. Es más conocida por su implicación en el procesamiento visual básico. Las neuronas piramidales de la cuña (corteza estriada) se proyectan hacia las cortezas extraestriadas (áreas de Brodmann 18 y 19). El procesamiento visual de nivel medio que ocurre en los campos de proyección extraestriados de la cuña está modulado por efectos extrarretinales, como la atención, la memoria de trabajo, y la expectativa de recompensa.
Además de su papel tradicional como lugar de procesamiento visual básico, el volumen de sustancia gris en la cuña se asocia con un mejor control inhibitorio en pacientes con depresión bipolar.[3] Los ludópatas tienen una mayor actividad en la corriente dorsal de procesamiento visual, incluyendo la cuña, en relación con el control.[4]

Referencias
- ↑ «Cuneus». Diccionario enciclopédico ilustrado de medicina Dorland 2 (27.ª edición). McGraw Hill Interamericana. 1996. p. 439. ISBN 84-7615-984-6.
- ↑ Ruiz Vargas, José C. (2002). Anatomía Topográfica (5.ª edición). p. 99. ISBN 968-7845-37-6.
- ↑ Haldane M, Cunningham G, Androutsos C, Frangou S (marzo de 2008). «Structural brain correlates of response inhibition in Bipolar Disorder I». Journal of Psychopharmacology 22 (2): 138-143. PMID 18308812. doi:10.1177/0269881107082955.
- ↑ Crockford DN, Goodyear B, Edwards J, Quickfall J, el-Guebaly N (noviembre de 2005). «Cue-induced brain activity in pathological gamblers». Biological Psychiatry 58 (10): 787-795. PMID 15993856. doi:10.1016/j.biopsych.2005.04.037.

