Cromogranina A
La cromogranina A (CGA) o proteína secretora paratiroidea 1 (nombre de gen CHGA) es un miembro de la familia de las graninas, unas proteínas secretoras neuroendocrinas. Como tal, se localizan en las vesículas secretoras de las neuronas y células endocrinas, como las células beta de los islotes de Langerhans del páncreas. En humanos, la proteína cromogranina A está codificada por el gen CHGA.[1]
| Cromogranina A | ||||
|---|---|---|---|---|
| Estructuras disponibles | ||||
| PDB | Buscar ortólogos: PDBe, RCSB | |||
| Identificadores | ||||
| Nomenclatura |
Otros nombres CGA, proteína secretora paratiroidea 1
| |||
| Identificadores externos | ||||
| Locus | Cr. 14 q32.12 | |||
| Organismos |
Organismos modelo Humano, Ratón
| |||
| Información adicional | ||||
| Localización subcelular | Gránulos citoplasmáticos de células neuroendocrinas | |||
| Ortólogos | ||||
| Especies |
| |||
| Entrez |
| |||
| Ensembl |
| |||
| UniProt |
| |||
| PubMed (Búsqueda) |
| |||
Distribución de tejido
Ejemplos de células productoras de cromogranina (CGA) son las células cromafines de la médula adrenal, células paraganglionares, células ECL y células beta del páncreas. En la célula beta del islote pancreático, se encuentra dentro de gránulos secretores.
Función
La cromogranina A es el precursor a varios péptidos funcionales como la vasostatina-1, vasostatina-2, pancreastatina, catestatina y parastatina. Estos péptidos modulan negativamente la función neuroendocrina de la célula de secretora (autocrina) o células cercanas por señalización paracrina.
La cromogranina A induce y promueve la generación de gránulos secretores como los que contienen insulina en las células beta pancreáticas.
Significación clínica

La cromogranina A está elevada en los feocromocitomas.[2] Además, se ha identificado como autoantígeno en la diabetes tipo 1.[3] Un fragmento peptídico de la cromogranina A localizado en la vasostatina-1, conocido como ChgA29-42 se ha identificado como el epítopo antigénico reconocido por las células T diabetogénicas BDC2.5 en ratones NOD propensos a diabetes tipo 1.[4][5]
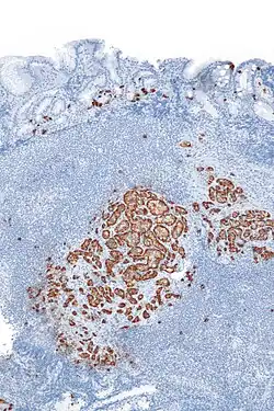
La cromogranina A se usa como indicador del cáncer de páncreas y próstata[6] y en el síndrome carcinoide.[7][8] Es posible que tenga un papel en la progresión neoplásica temprana. La cromogranina A se escinde por una prohormona convertasa endógena produciendo varios fragmentos de peptídicos. En inmunohistoquímica se puede utilizar para identificar ciertos tumores neuroendocrinos y es muy específico para células tanto benignas como malignas de este tipo.[9]
Los datos de espectrometría de masas demuestran que varios péptidos que se originan a partir del gen CHGA: 163-194; 194-214; 272-295, son más bajos de forma significativa en biopsias de pacientes con colitis ulcerosa en contraste con las del grupo de control.
Existen diferencias significativas en la composición de aminoácidos de la cromogranina A entre distintas especies. Las pruebas comerciales para medir la CGA humana generalmente no son útiles para medir la CGA en muestras de otros animales. Existen partes específicas de la molécula con un mayor grado de homología de aminoácidos entre los distintos animales, de esta forma, los métodos en los que los anticuerpos se dirigen contra epítopos específicos pueden usarse para medir muestras de múltiples especies.[6] Las pruebas específicas de la región que miden partes específicas de CGA, CGB y SG2 se pueden utilizar en muestras de perros y gatos.[8][10][11][12][13] En perros, la concentración de catestatina muestra asociación negativa débil con el tamaño de las cavidades atriales aurícula y ventrículo izquierdos y asociación positiva débil con la presión arterial.[14]
Referencias
- ↑ «Molecular cloning and primary structure of human chromogranin A (secretory protein I) cDNA». The Journal of Biological Chemistry 263 (23): 11559-63. August 1988. PMID 3403545. Archivado desde el original el 28 de agosto de 2005. Consultado el 24 de septiembre de 2020.
- ↑ «Elevated serum chromogranin A is detectable in patients with carcinomas at advanced disease stages». Annals of Clinical and Laboratory Science 30 (2): 175-8. April 2000. PMID 10807161.
- ↑ «Current diagnosis and treatment of gastrointestinal carcinoids in a series of 101 patients: the significance of serum chromogranin-A, somatostatin receptor scintigraphy and somatostatin analogues». Hepato-Gastroenterology 52 (63): 731-41. 2005. PMID 15966194.
- ↑ https://www.bjbms.org/ojs/index.php/bjbms/article/view/4632
- ↑ Leong, Anthony S-Y; Cooper, Kumarason; Leong, F Joel W-M (2003). Manual of Diagnostic Cytology (2 edición). Greenwich Medical Media, Ltd. pp. 159–160. ISBN 1-84110-100-1.
- ↑ a b «Characterisation of N-terminal chromogranin A and chromogranin B in mammals by region-specific radioimmunoassays and chromatographic separation methods». The Journal of Endocrinology 165 (3): 703-14. June 2000. PMID 10828855. doi:10.1677/joe.0.1650703.
- ↑ «Degradation of the extracellular matrix is part of the pathology of ulcerative colitis». Molecular Omics 15 (1): 67-76. February 2019. PMID 30702115. doi:10.1039/c8mo00239h.
- ↑ a b «Chromogranins can be measured in samples from cats and dogs». BMC Research Notes 7 (1): 336. June 2014. PMC 4055239. PMID 24899097. doi:10.1186/1756-0500-7-336.
- ↑ Leong AS, Cooper K, Leong FJ (2003). Manual of Diagnostic Cytology (2 ed.). Greenwich Medical Media, Ltd. pp. 159–160. ISBN 1-84110-100-1.
- ↑ «Chromogranin A and cortisol at intraoperative repeated noxious stimuli: Surgical stress in a dog model». SAGE Open Medicine 3: 2050312115576432. 27 de marzo de 2015. PMC 4679230. PMID 26770773. doi:10.1177/2050312115576432.
- ↑ «Catestatin, vasostatin, cortisol, temperature, heart rate, respiratory rate, scores of the short form of the Glasgow composite measure pain scale and visual analog scale for stress and pain behavior in dogs before and after ovariohysterectomy». BMC Research Notes 9 (1): 381. August 2016. PMC 4969733. PMID 27484122. doi:10.1186/s13104-016-2193-1.
- ↑ «Catestatin and vasostatin concentrations in healthy dogs». Acta Veterinaria Scandinavica 59 (1): 1. January 2017. PMC 5210291. PMID 28049540. doi:10.1186/s13028-016-0274-8.
- ↑ «Catestatin, vasostatin, cortisol, and visual analog scale scoring for stress assessment in healthy dogs». Research in Veterinary Science 117: 74-80. April 2018. PMID 29195227. doi:10.1016/j.rvsc.2017.11.015.
- ↑ Höglund, Katja; Häggström, Jens; Höglund, Odd Viking; Stridsberg, Mats; Tidholm, Anna; Ljungvall, Ingrid (December 2020). «The chromogranin A-derived peptides catestatin and vasostatin in dogs with myxomatous mitral valve disease». Acta Veterinaria Scandinavica 62 (1): 43. PMC 7405357. PMID 32758260. doi:10.1186/s13028-020-00541-3.
Enlaces externos
- Esta obra contiene una traducción derivada de «Chronogranin A» de Wikipedia en inglés, publicada por sus editores bajo la Licencia de documentación libre de GNU y la Licencia Creative Commons Atribución-CompartirIgual 4.0 Internacional.