Córtex del cíngulo anterior

Córtex del cíngulo anterior

Superficie medial del hemisferio cerebral izquierdo, con el cíngulo anterior resaltado.

Superficie medial del hemisferio derecho, con las áreas de Brodmann numeradas.
Latín Cortex cingularis anterior
Enlaces externos
NeuroLex ID Anterior cingulate cortex
NeuroNames hier

El córtex del cíngulo anterior (CCA) o circunvolución del cíngulo anterior es la parte frontal de la circunvolución del cíngulo, que parece un "collar" formado alrededor del cuerpo calloso, el mazo fibroso que transmite las señales neuronales entre los hemisferios cerebrales derecho e izquierdo. Consiste de las áreas de Brodmann 24, 32, y 33. Parece que juega un rol en una gama amplia de funciones autónomas, tales como regular la presión sanguínea y el ritmo cardíaco, como también para ciertas funciones cognitivas racionales, tales como la inhibición verbal, la anticipación de premio, la toma de decisiones, la empatía[1]​ y las emociones.[2][3]

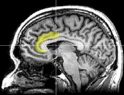
Sagittal MRI slice with highlighting indicating location of the anterior cingulate cortex.
Corte MRI sagital con indicación de la ubicación del córtex del cíngulo anterior.

Véase también

Referencias

  1. https://web.archive.org/web/20100714152432/http://ccare.stanford.edu/node/89
  2. Decety, J., & Jackson, P.L. (2004). The functional architecture of human empathy. Behavioral and Cognitive Neuroscience Reviews, 3, 71-100.
  3. Jackson P.L., Brunet E., Meltzoff A.N., Decety J. (2006). «Empathy examined through the neural mechanisms involved in imagining how I feel versus how you feel pain: An event-related fMRI study». Neuropsychologia 44: 752-61. doi:10.1016/j.neuropsychologia.2005.07.015.