Coriorretinopatía serosa central
| Coriorretinopatía serosa central | ||
|---|---|---|
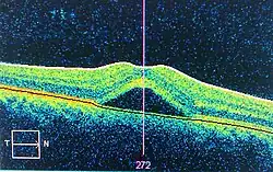
![]() Imagen de retinopatía serosa central obtenida con la técnica denominada tomografía de coherencia óptica en la que puede observarse la separación entre las dos capas de la retina, que corresponde al espacio negro central. | ||
| Especialidad | oftalmología | |
| Sinónimos | ||
|
Retinopatía serosa central Coroidopatía serosa central Coriorretinopatía central serosa | ||
La coriorretinopatia serosa central es una enfermedad del ojo no hereditaria que afecta principalmente a personas jóvenes de entre 20 y 40 años, se produce con más frecuencia en el varón en una proporción 8:1, habitualmente es un trastorno unilateral, manifestándose únicamente en un ojo. Se caracteriza por alterar la región central de la retina, la zona del ojo sensible a luz en la que se encuentran las células fotorreceptoras, es decir los conos y los bastones. Se produce un desprendimiento parcial de la retina neurosensorial, lo que ocasiona disminución de la agudeza visual, pérdidas parciales del campo visual en la zona central del mismo (escotomas paracentrales), los objetos pueden aparecen deformados (metamorfopsia). El pronóstico en general es bueno, pues el 94 % de los pacientes recuperan sin necesidad de tratamiento gran parte de la visión perdida en el plazo de 3 meses.[1][2]
Fisiopatología
Esta enfermedad guarda algunas similitudes con el desprendimiento de retina, ya que en las 2 entidades se produce una separación entre la retina neurosensorial y el epitelio pigmentario, ambas capas están firmemente adheridas en condiciones normales. En la coriorretinopatía serosa central, la separación tiene lugar en la zona central y más importante de la retina, una pequeña porción de la misma que se conoce como mácula. Esta área es muy rica en células fotorreceptoras, las cuales son las encargadas de transformar las señales luminosas en impulsos nerviosos que se dirigen al cerebro a través del nervio óptico. Estas células para realizar su función, necesitan el aporte sanguíneo que proviene de las zonas más profundas, al separarse las capas, las células fotorreceptoras no se nutren de forma adecuada y dejan de funcionar correctamente. Este es el motivo de los trastornos de visión.[1][2]
Diagnóstico
Se sospecha por los síntomas, pero para llegar al diagnóstico exacto es preciso realizar una exploración de fondo de ojo con oftalmoscopio u otro dispositivo, si a pesar de todo existen dudas, se practican estudios especiales, como la angiografía con fluoresceína y la tomografía de coherencia óptica.[1][2]
Tratamiento
La enfermedad cursa habitualmente de forma favorable, resolviéndose por sí misma y mejorando la función visual. Por ello la primera opción terapéutica es la actitud conservadora a la espera de que el proceso evolucione por sí mismo. Sin embargo cuando el curso de la enfermedad es progresivo o no se recupera la visión después de tres meses, está indicada la aplicación de láser a la retina (fotocoagulación retiniana) para lograr la resolución con más rapidez del proceso. Otra posibilidad que se está estudiando es la utilización de terapia fotodinámica administrando verteporfina.[3]
Referencias
- ↑ a b c Luis Porfirio Orozco-Gómez, Iván Ruiz-Morfín: Coriorretinopatía serosa central. Rev Mex Oftalmol; mayo-junio 2004; 78(3): 145-14
- ↑ a b c Coroidopatía serosa central. Ocularis. Consultado el 26 de mayo de 2013
- ↑ Alcubierre, R.; Arias, L.; Lorenzo, D.; Pujol, O.; Rubio, M.: Tratamiento de coriorretinopatía serosa central crónica mediante terapia fotodinámica de baja fluencia. Archivado el 5 de enero de 2013 en Wayback Machine. Arch Soc Esp Oftalmol. 2012; 87: 3-8. - vol.87 núm 01.
