Colesterolosis vesicular
| Colesterolosis vesicular | ||
|---|---|---|
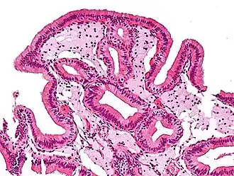
![]() Microfotografía de colesterolosis vesicular. H&E stain. | ||
| Especialidad | gastroenterología | |
En medicina, la colesterolosis vesicular es la acumulación focal de histiocitos espumosos (macrófagos) cargados de colesterol en la lámina propia de la vesícula biliar.[1]
A veces se llama vesícula biliar de fresa por el aspecto punteado de la superficie de la mucosa en un examen general, similar al que presentan las fresas. La colesterolosis está causada por una acumulación anormal de depósitos de ésteres de colesterol en macrófagos dentro de la lámina propia (células espumosas) y en el epitelio de la mucosa. La vesícula biliar puede estar afectada de forma localizada o de forma difusa. La forma difusa se presenta macroscópicamente como una mucosa roja brillante con motas amarillas (debido a los lípidos), de ahí la comparación con la fresa. No está ligada a la colelitiasis (cálculos vesiculares) ni a la colecistitis (inflamación de la vesícula biliar).[2]
Imágenes adicionales
-
Colesterolosis de la vesícula biliar (imagen bruta) -
Micrografía de colesterolosis de la vesícula biliar -
Micrografía de colesterolosis de la vesícula biliar -
Micrografía de colesterolosis de la vesícula biliar
Véase también
- Colecistectomía
- Senos de Rokitansky-Aschoff
Referencias
- ↑ Strawberry gallbladder - cancerweb.ncl.ac.uk.
- ↑ «Cholesterolosis of the Gall Bladder».
