Coccidiasina
| Coccidiasina | ||
|---|---|---|
|
| ||
| Taxonomía | ||
| Dominio: | Eukarya | |
| Reino: | Protista | |
| (sin rango) | Alveolata | |
| Filo: | Miozoa | |
| Infrafilo: | Apicomplexa | |
| Clase: | Conoidasida | |
| Subclase: |
Coccidiasina Leuckart, 1879 | |
| Familias | ||
Rhytidocystidae
Ixorheidae
Eleutheroschizonidae
Suborden Adeleorina | ||
Coccidiasina es una subclase de protistas parásitos del infrafilo Apicomplexa.[1][2] Son parásitos obligados intracelulares, lo que significa que deben vivir y reproducirse dentro de las células. Los gametos maduros se desarrollan intracelularmente y el cigoto es generalmente inmóvil. Por el contrario, en la otra subclase, Gregarinasina, la maduración de los gamontes se desarrolla extracelularmente. Son comúnmente parásitos de las células epiteliales intestinales pero también se encuentran en la sangre, hígado y otros órganos. Parasitan tanto vertebrados como invertebrados superiores.
Coccidiosis
La coccidiosis es la enfermedad intestinal producida por un grupo de estos parásitos (coccidios). La enfermedad se transmite por el contacto con heces o por ingestión de tejidos infectados. La mayoría de los síntomas son benignos. Sin embargo, los jóvenes o inmunodeficientes pueden sufrir síntomas graves que pueden incluso conducir a la muerte. Las mujeres embarazadas han de tener especial cuidado en evitar la infección, pues puede causar serios problemas al feto. La coccidiosis es común en animales domésticos, ganado y aves de cría industrial como el pollo. Aunque los coccidios pueden infectar a una amplia variedad de animales, incluidos seres humanos y ganado, son generalmente parásitos específicos. Una excepción bien conocida es la toxoplasmosis, causada por la especie Toxoplasma gondii. Algunos géneros que ocasionan coccidiosis son los siguientes:
- Isospora (familia Eimeriidae) es la causa más común de coccidiosis en perros y gatos.
- Cryptosporidium (familia Cryptosporidiidae) produce la criptosporidiosis que afecta a los humanos, al ganado y a otros mamíferos que puedan infectarse a través de sus heces.
- Hammondia, Besnoitia y Sarcocystis (familia Sarcocystidae) afecta a perros y gatos, aunque normalmente no ocasionan síntomas.
- Toxoplasma (familia Sarcocystidae) incluye una especie importante, Toxoplasma gondii, que ocasiona la toxoplasmosis. Los gatos son los huéspedes finales, pero todos los mamíferos, aves y algunos peces, reptiles y anfibios pueden ser huéspedes intermedios
- Neospora (familia Sarcocystidae) incluye una especie importante, Neospora caninum, que afecta a los perros de una forma similar a la toxoplasmosis. La neosporosis es difícil de tratar.
- Hepatozoon (familia Hepatozoidae) ocasiona la hepatozoonosis en perros, gatos, roedores, etc. El parásito se reproduce primero en el intestino y después migra a través del torrente sanguíneo o linfático a los ganglios linfáticos, bazo, pulmones, hígado, médula ósea o músculo, donde continúa su desarrollo ocasionando diversas lesiones.
- Sarcocystis lindemanni (familia Sarcocystidae) ocasiona la sarcocistosis, que afecta a varios animales y accidentalmente al hombre a través de carne infestada con el parásito.
Ciclo de vida
Los coccidios son, en general, parásitos de vertebrados. Como las gregarinas, normalmente son parásitos de las células epiteliales del intestino, aunque pueden infectar otros tejidos, y además incluyen algunos parásitos sanguíneos. El ciclo de vida de los coccidios implica merogonia, gametogonia y esporogonia. Aunque el ciclo es similar al de las gregarinas, se diferencia en la formación de cigoto. Algunos trofozoítos aumentan de tamaño y se convierten en macrogametos, mientras que otros se dividen varias veces para formar microgametos (anisogamia). Los microgametos son móviles y buscan al macrogameto para fertilizarlo. El macrogameto fertilizado se convierte en cigoto que a su vez forma un ooquiste, que normalmente abandona el huésped. La meiosis, cuando se produce, implica gametos marcadamente anisógamos. El ciclo de vida es típicamente haploide, con una única etapa diploide que ocurre en el cigoto, que normalmente es de corta duración.
Las principales diferencias entre coccidios y gregarinas se dan en los gamontes. En los coccidios los gamontes son pequeños, intracelulares y carecen epimeritos o mucrones, mientras que en las gregarinas son grandes, extracelulares y presentan epimeritos o mucrones. Además, en los coccidios un gamonte se convierte en un único macrogametocito, mientras que en las gregarinas da lugar a múltiples gametocitos.
Parásitos sanguíneos
El filo Apicomplexa comprende tres grupos de parásitos sanguíneos clasificados de la siguiente forma:
- Órdenes Haemosporida (hemosporidios, incluyendo Plasmodium) y Piroplasmida (piroplasmas), que se clasifican en la otra clase, Aconoidasida. Todos los géneros de este grupo son parásitos sanguíneos.
- Suborden Adeleorina (los parásitos sanguíneos de este suborden se conocen colectivamente como hemogregarinas y a pesar de su nombre no se incluyen en la subclase Gregarinasina, sino en Coccidiasina). De este suborden son parásitos sanguíneos 8 géneros y unas 400 especies. Los géneros Haemogregarina, Cyrilia (familia Haemogregarinidae), Karyolysus (familia Karyolysidae) y Hepatozoon (familia Hepatozoidae) comprenden una gran cantidad de especies, mientras que los géneros restantes, Hemolivia (familia Karyolysidae), Desseria (familia Haemogregarinidae), Dactylosoma y Babesiosoma (familia Dactylosomatidae), son más reducidos. Las especies del género Desseria infectan a peces y carecen de merogonia (reproducción asexual eritrocítica). Las especies de los géneros Dactylosoma y Babesiosoma infectan a peces y reptiles. Las sanguijuelas son los únicos vectores que se conocen para estas especies y sus huéspedes vertebrados son acuáticos.
- Suborden Eimeriorina. Dos géneros de este grupo, Lankesterella y Schellackia (familia Lankesterellidae), son parásitos sanguíneos.
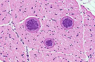
Galería
-

-
Quistes de Sarcocystis hominis (Sarcocystidae) -
Taquizoitos de Toxoplasma gondii (Sarcocystidae) -

-

-
Ciclo de vida de Cryptosporidium parvum (Cryptosporidiidae) -
Ciclo de vida de Cyclospora cayetanensis (Eimeriidae) -
Ciclo de vida de Eimeria (Eimeriidae) -
Ciclo de vida de Cystoisospora belli (Eimeriidae) -
Ciclo de vida de Toxoplasma (Sarcocystidae)
Referencias
- ↑ Perkins FO, Barta JR, Clopton RE, Peirce MA, Upton SJ (2000). «Phylum Apicomplexa». En Lee JJ, Leedale GF, Bradbury P, ed. An Illustrated guide to the Protozoa : organisms traditionally referred to as protozoa, or newly discovered groups 1 (2nd edición). Society of Protozoologists. pp. 190-369. ISBN 1891276220. OCLC 704052757.
- ↑ S.J. Brands (Compiler) (2000). «The Taxonomicon & Systema Naturae» (Website database). Taxon: Genus Cryptosporidium. Universal Taxonomic Services, Amsterdam, The Netherlands. Archivado desde el original el 23 de septiembre de 2018. Consultado el 14 de agosto de 2015.
Enlaces externos
- «Biodiversity explorer: Apicomplexa (apicomplexans, sporozoans)». Iziko Museums of Cape Town. Archivado desde el original el 23 de septiembre de 2006.
- Coccidia in Dogs Archivado el 26 de agosto de 2015 en Wayback Machine.
- Duszynski1, Donald W.; Upton, Steve J.; Couch, Lee (21 de febrero de 2004). «The Coccidia of the World» (Online database). Department of Biology, University of New Mexico, and Division of Biology, Kansas State University. Archivado desde el original el 30 de diciembre de 2010. Consultado el 26 de mayo de 2007.
- Anuncio del retiro de algunos medicamentos con arsénico que se usan contra la coccidiosis en aves: http://www.fda.gov/NewsEvents/Newsroom/PressAnnouncements/ucm258342.htm