Cistoadenocarcinoma
| Cistoadenocarcinoma | ||
|---|---|---|
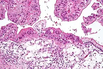
![]() Cistoadenocarcinoma mucinoso de ovario visto bajo el microscopio, tinición HE. | ||
| Especialidad | oncología | |
El cistoadenocarcinoma es un tipo de cáncer o tumor maligno que se desarrolla a partir de tejido glandular y puede originarse en diferentes partes del organismo, principalmente ovario y páncreas, más raramente en apéndice, tiroides y glándulas salivares. El nombre proviene de que se forman pequeñas vesículas o quistes llenas de líquido y tapizadas por células tumorales. Existen dos variedades, el cistadenocarcinoma seroso en el que los quistes están llenos de un líquido seroso claro, y el cistadenocarcinoma mucinoso en el que la sustancia de los quistes es de consistencia gelatinosa. La variedad benigna de este tumor se denomina cistoadenoma. [1][2]
Referencias
- ↑ VV.AA: Técnicos especialistas en Anatomía Patológica. Servicio Vasco de Salud. Editorial Mad. Consultado el 25 de febrero de 2013.
- ↑ Juan Pablo Alarcón C., Luis Sánchez-G., Elisa Rodríguez M., Manuel Díaz T., Ramón López R., Lorena Paris B., Germán Andrio D.: Cistoadenocarcinoma de ovario y apéndice. (enlace roto disponible en Internet Archive; véase el historial, la primera versión y la última). Rev. Chilena de Cirugía. Vol 64 - N° 3, Junio 2012; pág. 289-291
