Cisticercosis
| Cisticercosis | ||
|---|---|---|
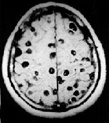
![]() Imagen por resonancia magnética de un paciente con neurocisticercosis que muestra múltiples cisticercos dentro del cerebro. | ||
| Especialidad | infectología | |
Las cisticercosis son enfermedades parasitarias causadas por la presencia en los tejidos de cisticercos, metacestodos o formas larvales, juveniles o intermedias de varias especies de cestodos del género Taenia. Afectan a una amplia gama de animales, incluido el ser humano, con un alto grado de especificidad. El metacestodo de Taenia saginata, conocido tradicionalmente como Cysticercus bovis, aparece en los bovinos; el llamado Cysticercus cellulosae o racemosus, forma intermedia de Taenia solium, se observa en los suinos y humanos; el Cysticercus tenuicollis, forma juvenil de Taenia hydatigena, cuyo adulto se desarrolla en el perro, invade los tejidos de vacunos, ovinos y porcinos, y el cisticerco de Taenia taeniformis, cuya forma adulta se desarrolla en los gatos, prolifera en el hígado de las ratas.
Cisticercosis humana

La cisticercosis humana está producida por la infestación de los tejidos por los cisticercos de la Taenia solium, a los que se llamó, al ser interpretados originalmente como una especie distinta, Cysticercus racemosus o cellulosae.
En el ciclo vital de T. solium, el cisticerco que, como todas las formas larvales de los cestodos aparece por lo general en un hospedador diferente del que aloja al individuo definitivo, es una forma intermedia en el desarrollo del parásito, entre el embrión hexacanto, presente en los huevos liberados por los segmentos maduros del gusano con las heces del hospedador, y el nuevo individuo adulto, que se desarrolla en el intestino de las personas afectadas, a partir de la ingestión de carne porcina contaminada. Cuando accidentalmente el ser humano incorpora los huevos embrionados del parásito, desarrolla las formas larvales, convirtiéndose en hospedador intermediario, pero en este caso, el ciclo se interrumpe.
Puesto que el humano es el único huésped definitivo de la T. solium, la prevalencia del complejo teniasis/cisticercosis depende exclusivamente del vínculo que el hombre establece con los animales y en particular con el cerdo (principal huésped intermediario, junto con el jabalí) y, fundamentalmente, de sus hábitos higiénicos y alimentarios.
Neurocisticercosis
Cuando la cisticercosis afecta al cerebro se llama neurocisticercosis. Se caracteriza por uno o múltiples quistes dentro del parénquima, y presenta un cuadro clínico con hidrocefalia, ictus epilépticos y signos neurológicos focales.
Patogenia
La cisticercosis, caracterizada por la proliferación de estos quistes o vesículas en los tejidos de diversos animales, depende de la ingestión de los huevos de los parásitos liberados al ambiente por los individuos portadores del gusano adulto, conocidos como huéspedes definitivos.
La infestación en el ser humano puede ocurrir de dos maneras:
- Por ingestión de huevos del parásito emitidos con las heces de personas infestadas, por la vía fecal-oral. Para ello, las proglótides liberadas a la luz intestinal, las cuales tienen la facultad de moverse y arrastrarse por sí solas hasta el ano, causan prurito en el área perianal, de tal modo que al rascarse el enfermo recoge los huevos en sus dedos, ropa, sábanas, etc. y los esparce, siendo ingeridos por la misma persona o por otra que tenga contacto directo o indirecto con ella, a través, por ejemplo, de la manipulación de elementos contaminados, incluyendo el agua o alimentos.[1]
- Por autoinfestación a partir de la ruptura de los segmentos o proglótidos grávidos de los adultos alojados en el intestino del mismo hospedador, con lo que se librarían huevos del parásito al lumen intestinal, que llegarían a las porciones anteriores del tracto digestivo por mecanismos antiperistálticos.
En ambos casos, el embrión liberado del huevo penetra la pared del intestino y es transportado por los vasos sanguíneos a cualquier lugar del cuerpo, donde se desarrollan los quistes. La ubicación definitiva suele ser preferentemente el tejido cerebral, ocasionando neurocisticercosis, y también pueden ubicarse en tejido subcutáneo, sobre todo del pecho y la espalda, así como también puede llegar a ubicarse en órganos como el hígado y los riñones e, incluso, el ojo.
Síntomas y tratamiento
La sintomatología depende de los órganos involucrados, siendo particularmente importante su presencia en el SNC (sistema nervioso central), en cuyo caso los síntomas varían desde constantes y fuertes dolores de cabeza, desorientación, y en casos graves convulsiones, parcial pérdida de la memoria y hasta la muerte. El tratamiento médico cuando no requiere cirugía, puede realizarse con medicamentos antiparasitarios específicos.
Véase también
Referencias
- ↑ University of Maryland Medical Center - Teniasis. [1] Archivado el 12 de marzo de 2011 en Wayback Machine.
- Cistimex UNAM Biomédicas [2]
Enlaces externos
Wikisource contiene obras originales de o sobre Cisticercosis.- Cisticercosis
- Neurocisticercosis
