Ciclo nasal

El ciclo nasal es, a menudo, la inadvertida[1][2] congestión parcial y descongestión alternada de las cavidades nasales izquierda y derecha en humanos y otros animales. Es una congestión fisiológica de las conchas nasales, también llamadas cornetes nasales, debido a la activación selectiva de la mitad del sistema nervioso autónomo por el hipotálamo. No debe confundirse con la congestión nasal patológica. El ciclo nasal fue estudiado y discutido en la literatura antigua de yoga del pranayama.[3] En la literatura occidental moderna, fue descrita por primera vez por el médico alemán Richard Kayser en 1895.[4][5]
Descripción
En 1927, Heetderks[6] describió la turgescencia alterna de los cornetes inferiores en el 80% de una población normal.[5]
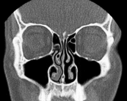
Según Heetderks, el ciclo es el resultado de la congestión y la descongestión alternas de los cornetes nasales, predominantemente los cornetes inferiores, que son, con mucho, los cornetes más grandes de cada fosa nasal. Los cornetes consisten en proyecciones óseas cubiertas por plexos cavernosos, que forman un tejido eréctil, al igual que los tejidos del pene y el clítoris. Los plexos venosos situados dentro de la mucosa que recubre los cornetes en una fosa se llenan de sangre mientras que los cornetes opuestos se descongestionan al ser desviada la sangre.[7]
Este ciclo, que está controlado por el sistema nervioso autónomo como se describe anteriormente, tiene una duración media de dos horas y media. Además observó y documentó que los cornetes en la fosa nasal dependiente se llenan cuando el paciente está en posición de decúbito lateral (acostado de lado). Algunos postulan que esta obstrucción posicional alterna tiene como propósito hacer que una persona gire de un lado al otro mientras duerme para evitar llagas.
Otros señalan que el flujo de aire asimétrico puede tener algún beneficio para la sensibilidad olfativa general.[8]
El ciclo nasal es alterno, con una resistencia total en la nariz que permanece constante.
Por lo general, se necesitan de tres a cuatro horas para completar el ciclo, aunque hay grandes variaciones. Además, la temperatura, los alimentos, el alcohol, los contaminantes en el aire, los fármacos, la actividad física y el grado de humedad pueden modificar el ciclo nasal. También se ha observado un ciclo más activo en los jóvenes.[9]
En pacientes con una desviación septal fija y obstrucción nasal intermitente, la interacción del ciclo nasal se hace evidente; la sensación de obstrucción frecuentemente refleja la fase de congestión.[8]
Es posible que el ciclo nasal pueda exacerbar la congestión nasal causada por el resfriado común, ya que la falta de motilidad de los cilios en la mitad de la nariz puede provocar una sensación incómoda de no poder mover la mucosidad al sonarse la nariz.
Beneficios en la respiración
Se ha demostrado que los cilios del lado congestionado suspenden su motilidad hasta que ese lado descongestiona. De este modo, el ciclo garantiza que un lado de la nariz esté siempre húmedo, para facilitar la humidificación, que es una de las tres funciones de la nariz, los otros dos son la filtración y el calentamiento del aire inspirado antes de que ingrese a los pulmones.[8] Aunque el flujo de aire nasal total permanece constante, el flujo a través de cada una de las vías nasales cambia recíprocamente y varía entre 20 y 80%.[10][11]
Beneficios en el olfato
Algunos químicos de olor se unen fácilmente a los receptores olfativos, incluso en condiciones de alto flujo de aire, y otros olores necesitan más tiempo, en condiciones de bajo flujo de aire, para unirse a los receptores. Con un flujo de aire alto en un lado y un flujo de aire bajo en el otro lado, el centro olfativo detecta una mayor variedad de aromas.[12][13][14]
Distinción
El ciclo nasal no debe confundirse con la congestión nasal patológica: las personas con respiración nasal normal generalmente no se dan cuenta de que su respiración es asimétrica, a menos que haya una obstrucción nasal subyacente.[1] En condiciones patológicas, sin embargo, el ciclo nasal puede influir en los síntomas.[2]
Investigación sobre los efectos
En 1994, la respiración a través de fosas nasales alternadas mostró efectos sobre la simetría del hemisferio cerebral en una topografía electroencefalográfica (EEG).[15] D.S. Shannahoff-Khalsa publicó en 2007 el efecto de este ciclo y la manipulación a través de la respiración forzada de las fosas nasales en un lado de los ritmos ultradianos endógenos del sistema autónomo y del sistema nervioso central.[16]
Investigaciones más recientes han demostrado una correlación estadísticamente significativa entre la fosa nasal dominante espontánea (es decir, no forzada) y el hemisferio cerebral activo.[17]
La respiración por la fosa nasal derecha está relacionada con una actividad simpática relativamente mayor (estados de excitación), mientras que la respiración por la fosa nasal izquierda está asociada con una actividad relativamente más parasimpática (estado de alivio del estrés).[18]
Referencias
- ↑ a b Josephson, J. S. (2006). Sinus Relief Now: The Ground-Breaking 5-Step Program for Sinus, Allergy, And Asthma Sufferers. Penguin Group. pp. 15. ISBN 978-0-39953-298-6.
- ↑ a b Huizing, E. H.; de Groot, J.A.M. (2003). Functional Reconstructive Nasal Surgery. Thieme. pp. 52. ISBN 978-1-58890-081-4.
- ↑ Swami Muktibodhananda (2004). «Prana: Vital Energy». Swara yoga : the tantric science of brain breathing. Munger, Bihar, India: Yoga Publications Trust. p. 12. ISBN 978-81-85787-36-7.
- ↑ Richard Kayser: Die exakte Messung der Luftdurchgängigkeit der Nase. Arch. Laryng. Rhinol. (Berl.) 8, 101 (1895)
- ↑ a b Rosendo Poch Viñals (1981). «Ciclo nasal su posible significado». Rinopatías vasomotoras. Real Academia Nac. Medicina,. p. 16. Consultado el 17 de mayo de 2019.
- ↑ Cummings: Otolaryngology: Head & Neck Surgery, 4th ed
- ↑ «Ciclo nasal». Clínica Universidad de Navarra, Diccionario Médico.
- ↑ a b c Thomas Hummel; Antje Welge-Lüssen (1 de enero de 2006), Taste and Smell: An Update, Karger Medical and Scientific Publishers, pp. 12-, ISBN 978-3-8055-8123-3.
- ↑ Hernando Vargas Vásquez. V Otorrinilaringología Rinología, 2.Fisiología de las Fosas Nasales. Universidad Nacional Mayor de San Marcos.
- ↑ «Fisiología Nasal». Otorrinolaringología (Encolombia) 30 (1).
- ↑ Carlos Suárez Nieto (2015). «Fisiología de las fosas nasales y senos paranasales». Tratado de Otorrinolaringología y Cirugía de Cabeza y Cuello. Médica Panamericana. p. 493.
- ↑ Sobel, Noam; Khan, Rehan M.; Saltman, Amnon; Sullivan, Edith V.; Gabrieli, John D. E. (4 de noviembre de 1999). «Olfaction: The world smells different to each nostril». Nature (Macmillan Magazines Ltd.) 402 (6757): 35. Bibcode:1999Natur.402...35S. ISSN 0028-0836. PMID 10573415. doi:10.1038/46944.
- ↑ O'Toole, Kathleen (10 de noviembre de 1999). «Smelling roses: Your nostrils may part ways». Consultado el 26 de junio de 2015.
- ↑ Kruszelnicki, Karl (1 de noviembre de 2000). «Nostrils smell differently 1». Consultado el 26 de junio de 2015.
- ↑ Stancák A Jr, Kuna M (October 1994). «EEG changes during forced alternate nostril breathing». Int J Psychophysiol 18 (1): 75-9. PMID 7876041. doi:10.1016/0167-8760(84)90017-5.
- ↑ D.S. Shannahoff-Khalsa: Selective Unilateral Autonomic Activation: Implications for Psychiatry. CNS Spectr. 2007, 12(8):625-634
- ↑ Samantaray, S.; Telles, S. (2008). «Nostril dominance at rest associated with performance of a left hemisphere-specific cancellation task». International Journal of Yoga 1 (2): 56-59. PMC 3144611. PMID 21829285. doi:10.4103/0973-6131.43542.
- ↑ Imran Khan Niazi, Muhammad Samran Navid, Jim Bartley, Daniel Shepherd, Mangor Pedersen, Georgina Burns, Denise Taylor ; David E. White (2022). «EEG signatures change during unilateral Yogi nasal breathing». Scientific Reports 12 (520). Consultado el 9 de junio de 2024.