Carcinoma mucoepidermoide
| Carcinoma mucoepidermoide | ||
|---|---|---|
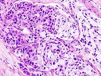
![]() Imagen histopatológica de un carcinoma mucoepidermoide. | ||
| Especialidad | oncología | |
En medicina, el carcinoma mucoepidermoide es un tumor maligno poco frecuente, aunque la forma más común de cáncer de una glándula salival. Presenta un contenido epidermoide, mucoso e intermedio de células anaplásicas PAs + hacia una luz quística, la presencia de mayor tejido epidermoide es de mal pronóstico y lo contrario cuando es mayor el mucoso. Afecta predominantemente a adultos entre la cuarta y sexta década de vida, aunque puede también verse en niños.[1] El tumor puede encontrarse en otros órganos, habiendo sido reportado en la glándula lacrimal,[2] en la glándula tiroides,[3] parotida, glándulas palatinas, cavidad nasal, nasofaringe, cuerdas vocales, laringe, tráquea y bronquios.[1][4]
Diagnóstico diferencial
El diagnóstico correcto debe ser realizado descartando otras entidades, como quistes, tejido linfoide hiperplásico, fibroma, lipomas y linfomas.[1]
Pronóstico
Se ha comprobado una tasa de supervivencia general del 91.9% y 89.5% al cabo de 5 y 10 años respectivamente. La tasa baja hasta cerca del 50% en pacientes con estadios III y IV de la enfermedad.[1]
Referencias
- ↑ a b c d GONZALEZ-GARCIA, R., SASTRE PEREZ, J., ESCORIAL HERNANDEZ, V. et al. Carcinoma mucoepidermoide de base de lengua: Abordaje quirúrgico mediante labiomandibulotomía media. Rev Esp Cirug Oral y Maxilofac. [online]. 2006, vol. 28, no. 2 [citado 2008-02-15], pp. 119-126. Disponible en: [1]. ISSN 1130-0558.
- ↑ Elsevier Article Locator
- ↑ Modern Pathology - Primary Mucoepidermoid Carcinoma and Sclerosing Mucoepidermoid Carcinoma with Eosinophilia of the Thyroid Gland: A Report of Nine Cases
- ↑ Cristóbal Pera: Cirugía. Fundamentos, indicaciones y opciones técnicas. Capitulo 7, tumores broncopulmonares, 1996, Editorial Masson S.A., ISBN 84-458-0274-3. Consultado el 1-9-2010
_HE_stain.jpg)