Célula principal
Las células principales, zimogénicas, peptídicas (Chief cells en inglés),[1] son un tipo de célula que forman parte de las glándulas gástricas del estómago, y están encargadas de la secreción de pepsinógeno, lipasa gástrica y quimosina.
Las células principales liberan pepsinógeno (zimógeno de la pepsina) cuando son estimuladas por diversos factores, como la actividad colinérica del nervio vago y la condición ácida del estómago. La gastrina y la secretina también actúan como secretagogos.[2]
Nomenclatura
El término "célula principal" (Chief cell en inglés), "célula zimogénica", es también usado para hacer referencia a otros tipos de célula, como la célula principal paratiroidea.
Características histológicas
Las células principales chief integran la pared del tubo glandular y se sitúan en la base y cuarto inferior de las glándulas oxínticas.
Microaquitectura

Como típica célula que secreta proteínas de manera regulada, la célula parietal tiende a tener citoplasma apical expansivo, núcleos basales y gránulos secretores grandes.
Las células principales gástricas, muestran un color violeta con la tinción H&E, debido a la gran proporción de retículo endoplasmático rugoso rico en ácido ribonucleico, basófilo por presentar afinidad característica por los colorantes básicos.
Se observa que estas células poseen grandes gránulos prominentes no teñidos con H&E de zimógeno en la región apical, y responsables de la secreción de enzimas proteolíticas en forma de proenzimas.[3]
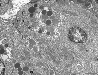
Ultraestructura

Observadas por microscopio electrónico, se trata de células características de síntesis de proteínas, que poseen un extenso retículo endoplásmico rugoso basal.
El aparato de Golgi es prominente propio de una célula secretora. En el citoplasma supranuclear se acumulan numerosos gránulos secretores apicales, que varían en su tamaño y densidad electrónica.
Las enzimas proteolíticas se activan por el bajo pH luminal y se inactivan por el pH superior a 6, que existe a la entrada del duodeno.
Las células principales se sitúan en la base de la glándulas oxínticas. Se encuentran cerca de las células parietales (las cuales liberan el ácido clorhídrico necesario para que el pepsinógeno se transforme en pepsina). Las células principales son responsables de la secreción de las enzimas proteolíticas en forma de proenzimas Pepsinógeno I y II.[3]
Recambio celular de célula principal
En condiciones fisiológicas, las células epiteliales gástricas experimentan una renovación dinámica continua en 3 días. Las células madre epiteliales gástricas son esenciales para la regeneración de las células perdidas o dañadas en la mucosa del estómago.[4]
En la homeostasis los tiempos de recambio del linaje celular van desde 3 días para las células de la foveola (pit) hasta más de 9 meses para las células principales en ratones.[5]
Cuando las células del istmo de la glándula descienden hasta el segmento «alto de la base», se convierten en células pre zimogénicas. En días, estas células producen nuevos gránulos con parches claros cada vez más grandes, al final del proceso las células producen gránulos completamente llenos de material que dará origen al pepsinógeno. Estas últimas son células zimogénicas.[6]
El nivel de expresión de pepsinógeno aumenta hacia la base de la glándula. El pepsinógeno C se encontraba en gránulos citoplasmáticos y distribuidos en las células principales (chief), mientras que la moesina se expresó exclusivamente en la membrana apical. Se observó un gradiente creciente de expresión de moesina desde el área del cuello hasta la parte inferior de las glándulas.[7]
Véase también
Referencias
- ↑ OMS,OPS,BIREME (ed.). «Células principales gástricas». Descriptores en Ciencias de la Salud. Biblioteca Virtual en Salud.
- ↑ Johnson. Gastrointestinal Physiology. Sexta edición. Mosby. 2001
- ↑ a b Ziółkowska N.; Lewczuk B.; Petryński W.; Palkowska K.; Prusik M.; Targońska K.; Giżejewski Z.; Przybylska-Gornowicz B. (2014). «Light and Electron Microscopy of the European Beaver (Castor fiber) Stomach Reveal Unique Morphological Features with Possible General Biological Significance.». PLoS ONE (Public Library of Science) 9 (4): e94590. doi:10.1371/journal.pone.0094590.
- ↑ Xiao, Shiyu; Zhou, Liya (2020). «Gastric Stem Cells: Physiological and Pathological Perspectives». Front Cell Dev Biol. (REVISIÓN) (Frontiers) 8 (571536). doi:10.3389/fcell.2020.571536. Consultado el 11 de julio de 2023.
- ↑ Adkins-Threats M.; Mills J.C. (2022). «Cell plasticity in regeneration in the stomach and beyond». Curr Opin Genet Dev. 75 (101948). PMC 10378711. PMID 35809361. doi:10.1016/j.gde.2022.101948. Consultado el 18 de agosto de 2023.
- ↑ Karam S.M.; Leblond C.P. (1993). «Dynamics of epithelial cells in the corpus of the mouse stomach. III.Inward migration of neck cells followed by progressive transformation into zymogenic cells». The Anatomical Record 236 (2 p.): 297-313. doi:10.1002/ar.1092360204. Consultado el 18 de agosto de 2023. (requiere suscripción).
- ↑ Zhu L.; Hatakeyama J.; Zhang B.; Makdisi J.; Ender C.; Forte J. (2009). «Novel insights of the gastric gland organization revealed by chief cell specific expression of moesin». Mucosal Biology. doi:10.1152/ajpgi.90597.200. Consultado el 18 de agosto de 2023.

