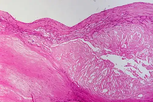
Cápsula fibrosa

Placa de ateroma
Cápsula fibrosa
Lumen del vaso
Cápsula fibrosa
Núcleo lipídico

Estructura de una placa de ateroma

La cápsula fibrosa es una capa de tejido conectivo fibroso que se encuentra en las placas ateroescleróticas, la cual es más gruesa y menos celular que la túnica intima normal. La cápsula fibrosa contiene macrófagos y células de músculo liso.[1]​ La cápsula fibrosa de un ateroma está compuesta de paquetes de células musculares, macrófagos, células espumosas, linfocitos, colágeno y elastina.

La cápsula fibrosa es propenso a romperse y ulcerarse, pudiendo dar lugar a trombosis. En lesiones avanzadas pueden surgir complicaciones adicionales como la calcificación de la cápsula fibrosa.[2]

Referencias

  1. Hansson, Göran K.; Libby, Peter (Julio de 2006). «The immune response in atherosclerosis: a double-edged sword». Nature Reviews Immunology 6 (7): 508-519. PMID 16778830. doi:10.1038/nri1882. 
  2. Swirski, F. K.; Nahrendorf, M. (10 de enero de 2013). «Leukocyte Behavior in Atherosclerosis, Myocardial Infarction, and Heart Failure». Science 339 (6116): 161-166. PMC 3891792. PMID 23307733. doi:10.1126/science.1230719.