Astrocitoma difuso
| Astrocitoma difuso | ||
|---|---|---|
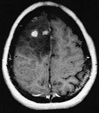
![]() Resonancia magnética de astrocitoma fibrilar difuso con diferentes grados de diferenciación. | ||
| Especialidad | oncología | |
Los astrocitomas difusos son tumores cerebrales de lento crecimiento, los más frecuentes entre los gliomas de bajo grado. Afectan principalmente a niños y adultos jóvenes, de 20 a 40 años. Son clasificados como tumores de grado II por la OMS.[1][2] Histológicamente se han descrito 3 subtipos: astrocitoma fibrilar, protoplásmico y gemistocítico.[3]
Síntomas
Los pacientes presentan síntomas según la localización del tumor. Cuando el astrocitoma se encuentra en el cerebro sus síntomas incluyen crisis epilépticas, cefaleas y vómitos. Por otra parte si se desarrolla en la médula espinal podría causar discapacidad en la zona del cuerpo afectada por el tumor.[4]
Diagnóstico
Para realizar el diagnóstico el médico puede realizar un examen neurológico o utilizar pruebas de EEG que ayudan a revelar el tamaño, localización y velocidad de desarrollo del tumor. Las tomografías computarizadas y resonancias magnéticas del cerebro pueden mostrar la presencia de una masa difusa que no se ilumina cuando se administra un medio de contraste. En algunos casos, es posible que se requiera una biopsia para confirmar la naturaleza del tumor.[5]
Tratamiento
Las opciones de tratamiento incluyen cirugía, radioterapia, radiocirugía y quimioterapia.[4]
Referencias
- ↑ «Astrocitoma». Descriptores en Ciencias de la Salud, Biblioteca virtual de salud. OMS, OPS.
- ↑ «Astrocitomas - Tumores gliales». Neurocirugía Barcelona. Consultado el 31 de mayo de 2021.
- ↑ «Astrocitoma difuso grado II».
- ↑ a b «¿Qué es el astrocitoma? | Síntomas, causas y cómo tratar la enfermedad». www.lavanguardia.com. Consultado el 31 de mayo de 2021.
- ↑ «Astrocitoma - Descripción general - Mayo Clinic». www.mayoclinic.org. Consultado el 31 de mayo de 2021.
